Rare and Unusual Occurrence of Splenic Hamartoma on Ultrasonography.

Q3 Medicine
Journal of Microscopy and Ultrastructure Pub Date : 2023-01-19 eCollection Date: 2025-01-01 DOI:10.4103/jmau.jmau_134_20
Ravikanth Reddy
{"title":"Rare and Unusual Occurrence of Splenic Hamartoma on Ultrasonography.","authors":"Ravikanth Reddy","doi":"10.4103/jmau.jmau_134_20","DOIUrl":null,"url":null,"abstract":"<p><p>Vascular tumors constitute the most common primary tumors of the spleen. Splenic hamartoma and littoral cell angioma have been reported only in the spleen. Splenic hamartomas are rare benign vascular tumors which are incidentally detected during imaging and are seldom symptomatic. This case report describes a rare sonological appearance of splenic hamartoma in a 31-year-old female with occasional pain in the left hypochondrium.</p>","PeriodicalId":16340,"journal":{"name":"Journal of Microscopy and Ultrastructure","volume":"1 1","pages":"54-56"},"PeriodicalIF":0.0000,"publicationDate":"2023-01-19","publicationTypes":"Journal Article","fieldsOfStudy":null,"isOpenAccess":false,"openAccessPdf":"https://www.ncbi.nlm.nih.gov/pmc/articles/PMC12063924/pdf/","citationCount":"0","resultStr":null,"platform":"Semanticscholar","paperid":null,"PeriodicalName":"Journal of Microscopy and Ultrastructure","FirstCategoryId":"1085","ListUrlMain":"https://doi.org/10.4103/jmau.jmau_134_20","RegionNum":0,"RegionCategory":null,"ArticlePicture":[],"TitleCN":null,"AbstractTextCN":null,"PMCID":null,"EPubDate":"2025/1/1 0:00:00","PubModel":"eCollection","JCR":"Q3","JCRName":"Medicine","Score":null,"Total":0}
引用次数: 0

Abstract

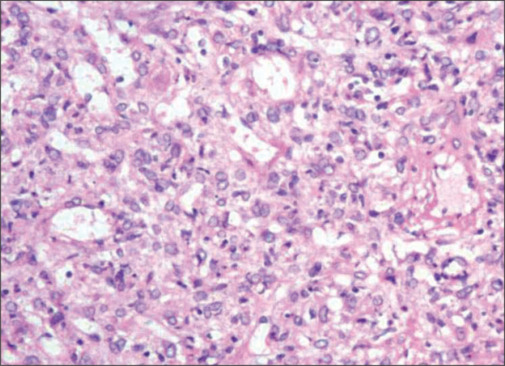
Vascular tumors constitute the most common primary tumors of the spleen. Splenic hamartoma and littoral cell angioma have been reported only in the spleen. Splenic hamartomas are rare benign vascular tumors which are incidentally detected during imaging and are seldom symptomatic. This case report describes a rare sonological appearance of splenic hamartoma in a 31-year-old female with occasional pain in the left hypochondrium.

Abstract Image

Abstract Image

脾错构瘤的罕见与不寻常超声表现。
血管肿瘤是脾脏最常见的原发肿瘤。脾错构瘤和滨海细胞血管瘤仅在脾脏有报道。脾脏错构瘤是一种罕见的良性血管肿瘤,在影像学检查中偶然发现,很少有症状。本病例报告描述了一位31岁女性脾脏错构瘤的罕见声像图表现,并伴有左侧胁肋偶尔疼痛。
本文章由计算机程序翻译,如有差异,请以英文原文为准。
求助全文
约1分钟内获得全文 求助全文
来源期刊
CiteScore
1.90
自引率
0.00%
发文量
46
×
引用
GB/T 7714-2015
复制
MLA
复制
APA
复制
导出至
BibTeX EndNote RefMan NoteFirst NoteExpress
×
提示
您的信息不完整,为了账户安全,请先补充。
现在去补充
×
提示
您因"违规操作"
具体请查看互助需知
我知道了
×
提示
确定
请完成安全验证×
copy
已复制链接
快去分享给好友吧!
我知道了
右上角分享
点击右上角分享
0
联系我们:info@booksci.cn Book学术提供免费学术资源搜索服务,方便国内外学者检索中英文文献。致力于提供最便捷和优质的服务体验。 Copyright © 2023 布克学术 All rights reserved.
京ICP备2023020795号-1
ghs 京公网安备 11010802042870号
Book学术文献互助
Book学术文献互助群
群 号:604180095
Book学术官方微信