Role of Adrenal Progenitor Cells in the Structural Response of Adrenal Gland to Various forms of Acute Stress and Subsequent Recovery in Adult Male Albino Rats.

Q3 Medicine
Journal of Microscopy and Ultrastructure Pub Date : 2023-02-07 eCollection Date: 2025-01-01 DOI:10.4103/jmau.jmau_106_22
Doaa Ramadan Sadek, Seham Kamel Abunasef, Sahar Khalil
{"title":"Role of Adrenal Progenitor Cells in the Structural Response of Adrenal Gland to Various forms of Acute Stress and Subsequent Recovery in Adult Male Albino Rats.","authors":"Doaa Ramadan Sadek, Seham Kamel Abunasef, Sahar Khalil","doi":"10.4103/jmau.jmau_106_22","DOIUrl":null,"url":null,"abstract":"<p><strong>Background: </strong>Stress is a response to stressogenic stimuli that interferes with an organism's homeostasis. The adrenal gland is crucial in the body's reaction to stress.</p><p><strong>Objective: </strong>This study compared the effects of immobility and cold as acute stressors and the subsequent recovery on the histological changes of the adrenal gland and the suspected role of the adrenal progenitor cells.</p><p><strong>Materials and methods: </strong>Thirty-five adult male albino rats were divided equally into five groups. Group I: Control group, Group II: Rats subjected to the acute cold stress procedure, Group III: Rats subjected to the acute immobilization stress procedure, Group IV: The combined stress group, and Group V: Similar to the combined stress group and recovered for 6 days then sacrificed 1 day later. Serum cortisol level was determined, and the adrenal glands were processed for histological and immunohistochemical studies.</p><p><strong>Results: </strong>Serum cortisol concentration was higher in the acute-stress groups and decreased in the recovery group. The adrenal cortex had enlarged, vacuolated cells with pyknotic nuclei, sinusoidal dilatation, and congestion. Chromaffin cells were crowded, enlarged, and vacuolated. There was strong immunohistochemical reactivity for heat shock protein-70 and caspase-3. In addition, the combined group showed a significant increase in the optical density of chromogranin-A in the medullary cells as well as CD44+ve cells. These findings were decreased in the recovery group.</p><p><strong>Conclusions: </strong>The combined stress has more deleterious adrenal cortical changes than immobilization and cold stress alone. The progenitor and chromaffin cells apparently had an important regenerative role in recovery from both types of stress.</p>","PeriodicalId":16340,"journal":{"name":"Journal of Microscopy and Ultrastructure","volume":"1 1","pages":"16-24"},"PeriodicalIF":0.0000,"publicationDate":"2023-02-07","publicationTypes":"Journal Article","fieldsOfStudy":null,"isOpenAccess":false,"openAccessPdf":"https://www.ncbi.nlm.nih.gov/pmc/articles/PMC12063925/pdf/","citationCount":"0","resultStr":null,"platform":"Semanticscholar","paperid":null,"PeriodicalName":"Journal of Microscopy and Ultrastructure","FirstCategoryId":"1085","ListUrlMain":"https://doi.org/10.4103/jmau.jmau_106_22","RegionNum":0,"RegionCategory":null,"ArticlePicture":[],"TitleCN":null,"AbstractTextCN":null,"PMCID":null,"EPubDate":"2025/1/1 0:00:00","PubModel":"eCollection","JCR":"Q3","JCRName":"Medicine","Score":null,"Total":0}
引用次数: 0

Abstract

Background: Stress is a response to stressogenic stimuli that interferes with an organism's homeostasis. The adrenal gland is crucial in the body's reaction to stress.

Objective: This study compared the effects of immobility and cold as acute stressors and the subsequent recovery on the histological changes of the adrenal gland and the suspected role of the adrenal progenitor cells.

Materials and methods: Thirty-five adult male albino rats were divided equally into five groups. Group I: Control group, Group II: Rats subjected to the acute cold stress procedure, Group III: Rats subjected to the acute immobilization stress procedure, Group IV: The combined stress group, and Group V: Similar to the combined stress group and recovered for 6 days then sacrificed 1 day later. Serum cortisol level was determined, and the adrenal glands were processed for histological and immunohistochemical studies.

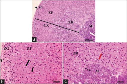
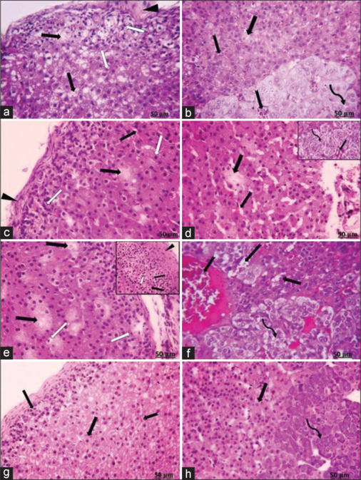
Results: Serum cortisol concentration was higher in the acute-stress groups and decreased in the recovery group. The adrenal cortex had enlarged, vacuolated cells with pyknotic nuclei, sinusoidal dilatation, and congestion. Chromaffin cells were crowded, enlarged, and vacuolated. There was strong immunohistochemical reactivity for heat shock protein-70 and caspase-3. In addition, the combined group showed a significant increase in the optical density of chromogranin-A in the medullary cells as well as CD44+ve cells. These findings were decreased in the recovery group.

Conclusions: The combined stress has more deleterious adrenal cortical changes than immobilization and cold stress alone. The progenitor and chromaffin cells apparently had an important regenerative role in recovery from both types of stress.

Abstract Image

Abstract Image

Abstract Image

肾上腺祖细胞在成年雄性白化大鼠肾上腺对各种形式急性应激和随后恢复的结构反应中的作用。
背景:压力是对压力源性刺激的一种反应,它干扰了生物体的体内平衡。肾上腺在人体对压力的反应中起着至关重要的作用。目的:比较静止不动和寒冷作为急性应激源及其后恢复对大鼠肾上腺组织学变化的影响及肾上腺祖细胞的可能作用。材料与方法:将35只成年雄性白化大鼠平均分为5组。第1组:对照组,第2组:急性冷应激大鼠,第3组:急性固定应激大鼠,第4组:联合应激组,第5组:与联合应激组相似,恢复6 d, 1 d处死。测定血清皮质醇水平,并对肾上腺进行组织学和免疫组织化学研究。结果:急性应激组患者血清皮质醇浓度升高,恢复组患者血清皮质醇浓度降低。肾上腺皮质细胞增大,空泡化,细胞核收缩,窦状窦扩张,充血。染色质细胞拥挤、增大,呈空泡状。热休克蛋白70和caspase-3免疫组化反应性强。此外,联合用药组髓质细胞和CD44+ve细胞中嗜铬粒蛋白a的光密度显著增加。这些发现在康复组有所减少。结论:联合应激比单独固定和冷应激对肾上腺皮质的损害更大。祖细胞和嗜铬细胞显然在两种应激类型的恢复中具有重要的再生作用。
本文章由计算机程序翻译,如有差异,请以英文原文为准。
求助全文
约1分钟内获得全文 求助全文
来源期刊
CiteScore
1.90
自引率
0.00%
发文量
46
×
引用
GB/T 7714-2015
复制
MLA
复制
APA
复制
导出至
BibTeX EndNote RefMan NoteFirst NoteExpress
×
提示
您的信息不完整,为了账户安全,请先补充。
现在去补充
×
提示
您因"违规操作"
具体请查看互助需知
我知道了
×
提示
确定
请完成安全验证×
copy
已复制链接
快去分享给好友吧!
我知道了
右上角分享
点击右上角分享
0
联系我们:info@booksci.cn Book学术提供免费学术资源搜索服务,方便国内外学者检索中英文文献。致力于提供最便捷和优质的服务体验。 Copyright © 2023 布克学术 All rights reserved.
京ICP备2023020795号-1
ghs 京公网安备 11010802042870号
Book学术文献互助
Book学术文献互助群
群 号:604180095
Book学术官方微信