Inhibitory effect of stinging nettle (Urtica dioica L.) extract on body weight gain in rats on a high-fat diet.

IF 2.5 Q3 GASTROENTEROLOGY & HEPATOLOGY
Przegla̜d Gastroenterologiczny Pub Date : 2024-01-01 Epub Date: 2023-07-31 DOI:10.5114/pg.2023.130142
Kenan Kaçak, Turan Yaman, Ahmet Uyar, Ahmet Ufuk Kömüroğlu
{"title":"Inhibitory effect of stinging nettle (<i>Urtica dioica</i> L.) extract on body weight gain in rats on a high-fat diet.","authors":"Kenan Kaçak, Turan Yaman, Ahmet Uyar, Ahmet Ufuk Kömüroğlu","doi":"10.5114/pg.2023.130142","DOIUrl":null,"url":null,"abstract":"<p><strong>Introduction: </strong>The leaves and seeds of <i>Urtica dioica</i> (UD) are used in folk treatments for many diseases. Anticarcinogenic, anti-inflammatory, antioxidant, and antiallergenic properties of UD have been reported.</p><p><strong>Aim: </strong>To uncover the effects of nettle seed (<i>Urtica dioica</i>; UD) extract on body weight gain in rats on a high-fat diet (HFD).</p><p><strong>Material and methods: </strong>Male Wistar albino rats (<i>n</i> = 32) were divided into 4 groups, comprising a control group, a group that received a HFD (HFD group), a group that received UD extracts (UD group), and a group that received a HFD as well as UD extracts (HFD + UD group). UD extracts were given a daily dose of 300 mg/kg of body weight orally for 75 days.</p><p><strong>Results: </strong>The HFD led to weight gain that was partially moderated by the UD extract. Histopathological findings in the HFD + UD group were uniformly significantly lower than those in the HFD group. Serum alanine transaminase, alanine aminotransferase, triglyceride, and low-density lipoprotein levels were significantly higher in the HFD group than in the HFD + UD group, and the HDL levels were lower in the HFD group than in the control group and the HFD + UD group.</p><p><strong>Conclusions: </strong>The cholesterol levels were discovered to be highest in the HFD + UD group. Therefore, it was concluded that the UD extract did not completely protect the rats against body weight gain.</p>","PeriodicalId":20719,"journal":{"name":"Przegla̜d Gastroenterologiczny","volume":"1 1","pages":"23-32"},"PeriodicalIF":2.5000,"publicationDate":"2024-01-01","publicationTypes":"Journal Article","fieldsOfStudy":null,"isOpenAccess":false,"openAccessPdf":"https://www.ncbi.nlm.nih.gov/pmc/articles/PMC10985764/pdf/","citationCount":"0","resultStr":null,"platform":"Semanticscholar","paperid":null,"PeriodicalName":"Przegla̜d Gastroenterologiczny","FirstCategoryId":"1085","ListUrlMain":"https://doi.org/10.5114/pg.2023.130142","RegionNum":0,"RegionCategory":null,"ArticlePicture":[],"TitleCN":null,"AbstractTextCN":null,"PMCID":null,"EPubDate":"2023/7/31 0:00:00","PubModel":"Epub","JCR":"Q3","JCRName":"GASTROENTEROLOGY & HEPATOLOGY","Score":null,"Total":0}
引用次数: 0

Abstract

Introduction: The leaves and seeds of Urtica dioica (UD) are used in folk treatments for many diseases. Anticarcinogenic, anti-inflammatory, antioxidant, and antiallergenic properties of UD have been reported.

Aim: To uncover the effects of nettle seed (Urtica dioica; UD) extract on body weight gain in rats on a high-fat diet (HFD).

Material and methods: Male Wistar albino rats (n = 32) were divided into 4 groups, comprising a control group, a group that received a HFD (HFD group), a group that received UD extracts (UD group), and a group that received a HFD as well as UD extracts (HFD + UD group). UD extracts were given a daily dose of 300 mg/kg of body weight orally for 75 days.

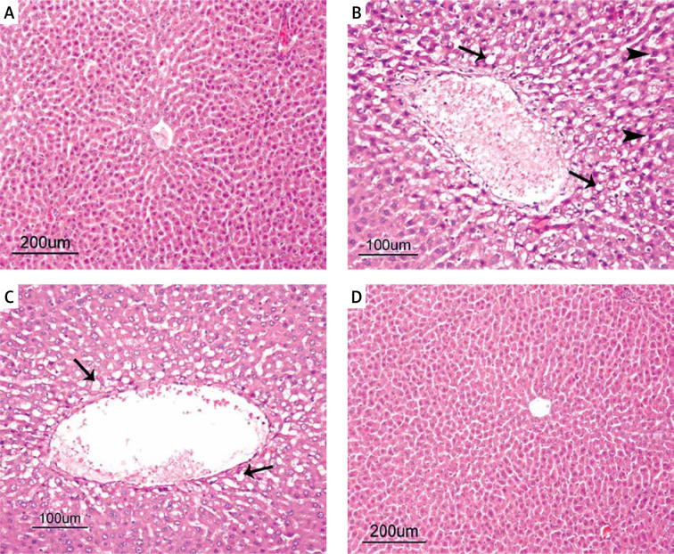
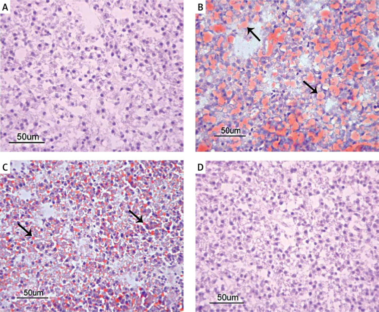
Results: The HFD led to weight gain that was partially moderated by the UD extract. Histopathological findings in the HFD + UD group were uniformly significantly lower than those in the HFD group. Serum alanine transaminase, alanine aminotransferase, triglyceride, and low-density lipoprotein levels were significantly higher in the HFD group than in the HFD + UD group, and the HDL levels were lower in the HFD group than in the control group and the HFD + UD group.

Conclusions: The cholesterol levels were discovered to be highest in the HFD + UD group. Therefore, it was concluded that the UD extract did not completely protect the rats against body weight gain.

Abstract Image

Abstract Image

Abstract Image

荨麻提取物对高脂饮食大鼠体重增加的抑制作用
简介:荨麻(Urtica dioica,UD)的叶子和种子在民间被用于治疗多种疾病。目的:揭示荨麻籽(Urtica dioica; UD)提取物对高脂饮食(HFD)大鼠体重增加的影响:雄性 Wistar 白化大鼠(n = 32)分为 4 组,包括对照组、摄入高脂饮食组(HFD 组)、摄入 UD 提取物组(UD 组)以及摄入高脂饮食和 UD 提取物组(HFD + UD 组)。UD提取物的每日口服剂量为300毫克/千克体重,连续75天:结果:高脂饮食导致体重增加,而 UD 提取物在一定程度上减缓了体重增加。HFD+UD组的组织病理学结果均明显低于HFD组。HFD组的血清丙氨酸转氨酶、丙氨酸氨基转移酶、甘油三酯和低密度脂蛋白水平明显高于HFD + UD组,HFD组的高密度脂蛋白水平低于对照组和HFD + UD组:结论:发现高脂低糖+超低脂饮食组的胆固醇水平最高。因此,结论是 UD 提取物并不能完全防止大鼠体重增加。
本文章由计算机程序翻译,如有差异,请以英文原文为准。
求助全文
约1分钟内获得全文 求助全文
来源期刊
Przegla̜d Gastroenterologiczny
Przegla̜d Gastroenterologiczny GASTROENTEROLOGY & HEPATOLOGY-
CiteScore
2.20
自引率
7.70%
发文量
50
审稿时长
6-12 weeks
期刊介绍: Gastroenterology Review is a journal published each 2 months, aimed at gastroenterologists and general practitioners. Published under the patronage of Consultant in Gastroenterology and Polish Pancreatic Club.
×
引用
GB/T 7714-2015
复制
MLA
复制
APA
复制
导出至
BibTeX EndNote RefMan NoteFirst NoteExpress
×
提示
您的信息不完整,为了账户安全,请先补充。
现在去补充
×
提示
您因"违规操作"
具体请查看互助需知
我知道了
×
提示
确定
请完成安全验证×
copy
已复制链接
快去分享给好友吧!
我知道了
右上角分享
点击右上角分享
0
联系我们:info@booksci.cn Book学术提供免费学术资源搜索服务,方便国内外学者检索中英文文献。致力于提供最便捷和优质的服务体验。 Copyright © 2023 布克学术 All rights reserved.
京ICP备2023020795号-1
ghs 京公网安备 11010802042870号
Book学术文献互助
Book学术文献互助群
群 号:604180095
Book学术官方微信