Molecular and biotechnological characteristics of proteolytic activity from Streptococcus thermophilus as a proteolytic lactic acid bacteria to enhance protein-derived bioactive peptides.

IF 4.1 Q3 MICROBIOLOGY
AIMS Microbiology Pub Date : 2023-08-07 eCollection Date: 2023-01-01 DOI:10.3934/microbiol.2023031
Srisan Phupaboon, Farah J Hashim, Parichat Phumkhachorn, Pongsak Rattanachaikunsopon
{"title":"Molecular and biotechnological characteristics of proteolytic activity from <i>Streptococcus thermophilus</i> as a proteolytic lactic acid bacteria to enhance protein-derived bioactive peptides.","authors":"Srisan Phupaboon, Farah J Hashim, Parichat Phumkhachorn, Pongsak Rattanachaikunsopon","doi":"10.3934/microbiol.2023031","DOIUrl":null,"url":null,"abstract":"<p><p>The demand for healthy food items with a high nutrient value of bioavailability and bioaccessibility has created a need for continuous development of technology and food ingredients like bioactive peptides. This study aimed to investigate seven proteolytic lactic acid bacteria (PLABs) isolated from the <i>plaa-som</i> (fermented fish) sample originated from silver BARB species for production of proteolytic enzymes. Proteolytic enzymes produced by (PLABs) were used further to create potent bioactive peptides by hydrolyzing proteins throughout PLAB-probiotics enhancer. Protein derived-bioactive peptides was tested the proteolytic activity on different protein sources and examined bioactivities including antioxidative and antimicrobial effect for further use in functional foods. Results of screened-PLAB strains showed high proteolytic activity namely <i>Streptococcus thermophilus</i> strains (KKUPA22 and KKUPK13). These strains have proteolytic system consisting of extracellular and cell-bound enzymes that used for degrading protein in fish flesh protein (FFP) and skim milk (SKM) broth media. Proteolytic activity of tested bacterial enzymes was estimated after incubation at 45, 37, and 50 °C. Furthermore, FFP hydrolysates were formed with various peptides and has small molecular weights (checked by SDS-PAGE) in the range of10.5 to 22 kDa), exhibiting strong activity. Data revealed that <i>S. thermophilus</i> strains (KKUPA22 and KKUPK13) had high antioxidant activity in term of 2,2-diphenyl-1-picrylhydrazyl (DPPH), 2,2-azinobis-(3-ethylbenzothiazoline-6-sulfonate) (ABTS) radical-scavenging inhibition, and ferric reducing antioxidant power (FRAP) reducing power capacity. Both strains (KKUPA22 and KKUPK13) of <i>S. thermophilus</i> have higher antimicrobial activity against Gram-negative bacteria than against Gram-positive bacteria. We have confirmed presence of proteolytic (<i>prt</i>) gene regions in <i>S. thermophilus</i> strains using specific primers via PCR amplification. Results showed highest homology (100%) with the <i>prt</i>S gene of <i>S. thermophillus</i> located on the cell envelope proteolytic enzymes (CEPEs) such as serine proteinase. Therefore, it concluded that the proteolytic system of tested PLAB strains able to generate bioactive peptides-derived proteins having active biological property, good mechanism of degradability, and bioaccessibility for further use in catalyzing protein of functional foods.</p>","PeriodicalId":46108,"journal":{"name":"AIMS Microbiology","volume":"1 1","pages":"591-611"},"PeriodicalIF":4.1000,"publicationDate":"2023-08-07","publicationTypes":"Journal Article","fieldsOfStudy":null,"isOpenAccess":false,"openAccessPdf":"https://www.ncbi.nlm.nih.gov/pmc/articles/PMC10758578/pdf/","citationCount":"0","resultStr":null,"platform":"Semanticscholar","paperid":null,"PeriodicalName":"AIMS Microbiology","FirstCategoryId":"1085","ListUrlMain":"https://doi.org/10.3934/microbiol.2023031","RegionNum":0,"RegionCategory":null,"ArticlePicture":[],"TitleCN":null,"AbstractTextCN":null,"PMCID":null,"EPubDate":"2023/1/1 0:00:00","PubModel":"eCollection","JCR":"Q3","JCRName":"MICROBIOLOGY","Score":null,"Total":0}
引用次数: 0

Abstract

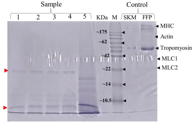
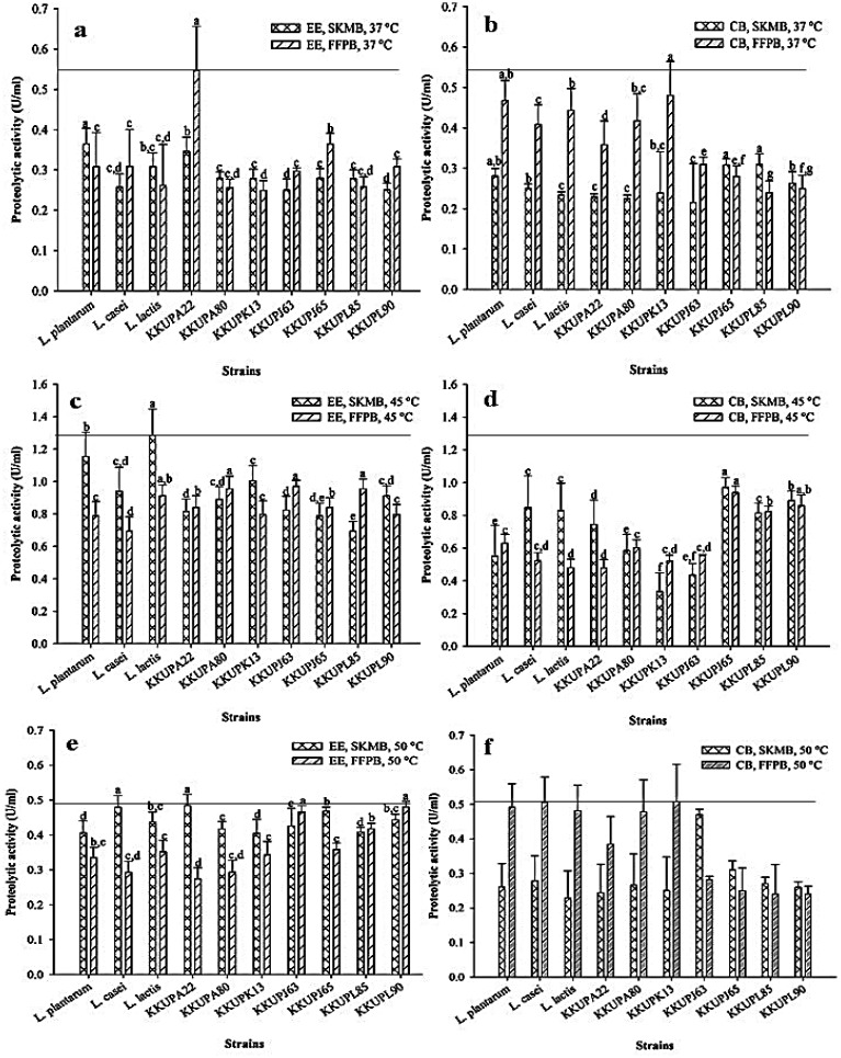
The demand for healthy food items with a high nutrient value of bioavailability and bioaccessibility has created a need for continuous development of technology and food ingredients like bioactive peptides. This study aimed to investigate seven proteolytic lactic acid bacteria (PLABs) isolated from the plaa-som (fermented fish) sample originated from silver BARB species for production of proteolytic enzymes. Proteolytic enzymes produced by (PLABs) were used further to create potent bioactive peptides by hydrolyzing proteins throughout PLAB-probiotics enhancer. Protein derived-bioactive peptides was tested the proteolytic activity on different protein sources and examined bioactivities including antioxidative and antimicrobial effect for further use in functional foods. Results of screened-PLAB strains showed high proteolytic activity namely Streptococcus thermophilus strains (KKUPA22 and KKUPK13). These strains have proteolytic system consisting of extracellular and cell-bound enzymes that used for degrading protein in fish flesh protein (FFP) and skim milk (SKM) broth media. Proteolytic activity of tested bacterial enzymes was estimated after incubation at 45, 37, and 50 °C. Furthermore, FFP hydrolysates were formed with various peptides and has small molecular weights (checked by SDS-PAGE) in the range of10.5 to 22 kDa), exhibiting strong activity. Data revealed that S. thermophilus strains (KKUPA22 and KKUPK13) had high antioxidant activity in term of 2,2-diphenyl-1-picrylhydrazyl (DPPH), 2,2-azinobis-(3-ethylbenzothiazoline-6-sulfonate) (ABTS) radical-scavenging inhibition, and ferric reducing antioxidant power (FRAP) reducing power capacity. Both strains (KKUPA22 and KKUPK13) of S. thermophilus have higher antimicrobial activity against Gram-negative bacteria than against Gram-positive bacteria. We have confirmed presence of proteolytic (prt) gene regions in S. thermophilus strains using specific primers via PCR amplification. Results showed highest homology (100%) with the prtS gene of S. thermophillus located on the cell envelope proteolytic enzymes (CEPEs) such as serine proteinase. Therefore, it concluded that the proteolytic system of tested PLAB strains able to generate bioactive peptides-derived proteins having active biological property, good mechanism of degradability, and bioaccessibility for further use in catalyzing protein of functional foods.

Abstract Image

Abstract Image

Abstract Image

嗜热链球菌作为蛋白水解乳酸菌的蛋白水解活性的分子和生物技术特征,以增强蛋白质衍生生物活性肽。
人们对营养价值高、生物利用率和生物可及性高的健康食品的需求,促使人们不断开发生物活性肽等技术和食品配料。本研究旨在调查从银鲣鱼(plaa-som)(发酵鱼)样品中分离出的七种蛋白水解乳酸菌(PLABs)生产蛋白水解酶的情况。由(PLABs)产生的蛋白水解酶通过水解整个 PLAB-益生菌增强剂中的蛋白质,进一步用于制造强效生物活性肽。测试了蛋白质衍生生物活性肽对不同蛋白质来源的蛋白水解活性,并检验了其生物活性,包括抗氧化和抗菌效果,以便进一步用于功能性食品。PLAB菌株筛选结果表明,嗜热链球菌菌株(KKUPA22和KKUPK13)具有较高的蛋白水解活性。这些菌株的蛋白水解系统由细胞外酶和细胞结合酶组成,用于降解鱼肉蛋白(FFP)和脱脂牛奶(SKM)肉汤培养基中的蛋白质。在 45、37 和 50 °C 下培养后,对测试的细菌酶的蛋白质分解活性进行了评估。此外,FFP水解物中含有各种肽,分子量较小(经SDS-PAGE检测),在10.5至22 kDa之间,表现出很强的活性。数据显示,嗜热菌菌株(KKUPA22 和 KKUPK13)在 2,2-二苯基-1-苦基肼(DPPH)、2,2-偶氮双(3-乙基苯并噻唑啉-6-磺酸盐)(ABTS)自由基清除抑制和铁还原抗氧化能力(FRAP)还原能力方面具有较高的抗氧化活性。嗜热菌的两株菌株(KKUPA22 和 KKUPK13)对革兰氏阴性菌的抗菌活性均高于对革兰氏阳性菌的抗菌活性。我们使用特定引物,通过聚合酶链式反应(PCR)扩增,证实了嗜热菌菌株中存在蛋白水解(prt)基因区。结果显示,与嗜热菌的prtS基因同源性最高(100%),该基因位于丝氨酸蛋白酶等细胞包膜蛋白水解酶(CEPEs)上。因此,可以得出结论,受测 PLAB 菌株的蛋白水解系统能够产生生物活性肽衍生蛋白,具有活性生物特性、良好的降解机制和生物可接受性,可进一步用于催化功能性食品的蛋白质。
本文章由计算机程序翻译,如有差异,请以英文原文为准。
求助全文
约1分钟内获得全文 求助全文
来源期刊
AIMS Microbiology
AIMS Microbiology MICROBIOLOGY-
CiteScore
7.00
自引率
2.10%
发文量
22
审稿时长
8 weeks
×
引用
GB/T 7714-2015
复制
MLA
复制
APA
复制
导出至
BibTeX EndNote RefMan NoteFirst NoteExpress
×
提示
您的信息不完整,为了账户安全,请先补充。
现在去补充
×
提示
您因"违规操作"
具体请查看互助需知
我知道了
×
提示
确定
请完成安全验证×
copy
已复制链接
快去分享给好友吧!
我知道了
右上角分享
点击右上角分享
0
联系我们:info@booksci.cn Book学术提供免费学术资源搜索服务,方便国内外学者检索中英文文献。致力于提供最便捷和优质的服务体验。 Copyright © 2023 布克学术 All rights reserved.
京ICP备2023020795号-1
ghs 京公网安备 11010802042870号
Book学术文献互助
Book学术文献互助群
群 号:604180095
Book学术官方微信