Reproductive Pathological Changes Associated with Experimental Subchronic Corynebacterium pseudotuberculosis Infection in Nonpregnant Boer Does.

IF 1.1 Q4 MICROBIOLOGY
Journal of Pathogens Pub Date : 2016-01-01 Epub Date: 2016-02-23 DOI:10.1155/2016/4624509
A M Othman, Y Abba, F F A Jesse, Y M Ilyasu, A A Saharee, A W Haron, M Zamri-Saad, M A M Lila
{"title":"Reproductive Pathological Changes Associated with Experimental Subchronic Corynebacterium pseudotuberculosis Infection in Nonpregnant Boer Does.","authors":"A M Othman, Y Abba, F F A Jesse, Y M Ilyasu, A A Saharee, A W Haron, M Zamri-Saad, M A M Lila","doi":"10.1155/2016/4624509","DOIUrl":null,"url":null,"abstract":"<p><p>Corynebacterium pseudotuberculosis causes caseous lymphadenitis (CLA), which is a contagious and chronic disease in sheep and goats. In order to assess the histopathological changes observed in the reproductive organs of nonpregnant does infected with the bacteria, 20 apparently healthy adult Boer does were divided into four inoculation groups, intradermal, intranasal, oral, and control, consisting of five goats each. Excluding the control group, which was unexposed, other does were inoculated with 10(7) CFU/1 mL of live C. pseudotuberculosis through the various routes stated above. Thirty days after infection, the ovaries, uterus, and iliac lymph nodes were collected for bacterial recovery and molecular detection, as well as histopathological examination. The mean changes in necrosis, congestion, inflammatory cell infiltration, and oedema varied in severity among the ovaries, uterus, and iliac lymph nodes following different inoculation routes. Overall, the intranasal route of inoculation showed more severe (p < 0.05) lesions in all the organs examined. The findings of this study have shown that C. pseudotuberculosis could predispose to infertility resulting from pathological lesions in the uterus and ovaries of does. </p>","PeriodicalId":16788,"journal":{"name":"Journal of Pathogens","volume":"2016 1","pages":"4624509"},"PeriodicalIF":1.1000,"publicationDate":"2016-01-01","publicationTypes":"Journal Article","fieldsOfStudy":null,"isOpenAccess":false,"openAccessPdf":"https://www.ncbi.nlm.nih.gov/pmc/articles/PMC4781953/pdf/","citationCount":"0","resultStr":null,"platform":"Semanticscholar","paperid":null,"PeriodicalName":"Journal of Pathogens","FirstCategoryId":"1085","ListUrlMain":"https://doi.org/10.1155/2016/4624509","RegionNum":0,"RegionCategory":null,"ArticlePicture":[],"TitleCN":null,"AbstractTextCN":null,"PMCID":null,"EPubDate":"2016/2/23 0:00:00","PubModel":"Epub","JCR":"Q4","JCRName":"MICROBIOLOGY","Score":null,"Total":0}
引用次数: 0

Abstract

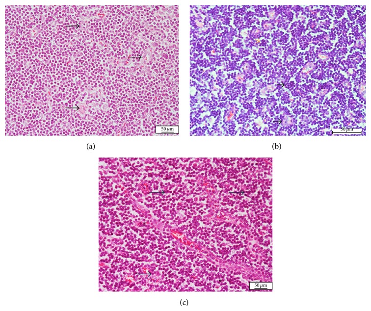
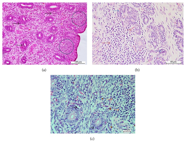
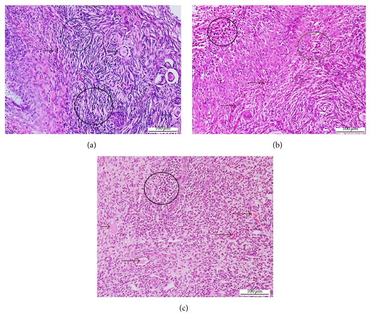
Corynebacterium pseudotuberculosis causes caseous lymphadenitis (CLA), which is a contagious and chronic disease in sheep and goats. In order to assess the histopathological changes observed in the reproductive organs of nonpregnant does infected with the bacteria, 20 apparently healthy adult Boer does were divided into four inoculation groups, intradermal, intranasal, oral, and control, consisting of five goats each. Excluding the control group, which was unexposed, other does were inoculated with 10(7) CFU/1 mL of live C. pseudotuberculosis through the various routes stated above. Thirty days after infection, the ovaries, uterus, and iliac lymph nodes were collected for bacterial recovery and molecular detection, as well as histopathological examination. The mean changes in necrosis, congestion, inflammatory cell infiltration, and oedema varied in severity among the ovaries, uterus, and iliac lymph nodes following different inoculation routes. Overall, the intranasal route of inoculation showed more severe (p < 0.05) lesions in all the organs examined. The findings of this study have shown that C. pseudotuberculosis could predispose to infertility resulting from pathological lesions in the uterus and ovaries of does.

Abstract Image

Abstract Image

Abstract Image

未孕波尔母鹿亚慢性假结核棒状杆菌实验感染引起的生殖病理变化
假结核棒状杆菌(Corynebacterium pseudotuberculosis)会引起绵羊和山羊的病例性淋巴结炎(CLA),这是一种传染性慢性疾病。为了评估未怀孕母山羊感染该细菌后生殖器官的组织病理学变化,20 头表面健康的成年波尔母山羊被分为四个接种组,分别为皮内、鼻内、口服和对照组,每组 5 头山羊。除未暴露的对照组外,其他母山羊均通过上述不同途径接种了 10(7) CFU/1 mL 的活伪结核杆菌。感染 30 天后,收集卵巢、子宫和髂淋巴结,进行细菌回收、分子检测和组织病理学检查。不同接种途径的卵巢、子宫和髂淋巴结在坏死、充血、炎性细胞浸润和水肿方面的平均变化程度不同。总体而言,鼻内接种途径在所有受检器官中都显示出更严重的病变(p < 0.05)。本研究结果表明,假结核杆菌可能会导致母猪子宫和卵巢发生病变,从而导致不孕。
本文章由计算机程序翻译,如有差异,请以英文原文为准。
求助全文
约1分钟内获得全文 求助全文
来源期刊
Journal of Pathogens
Journal of Pathogens MICROBIOLOGY-
自引率
0.00%
发文量
4
审稿时长
15 weeks
×
引用
GB/T 7714-2015
复制
MLA
复制
APA
复制
导出至
BibTeX EndNote RefMan NoteFirst NoteExpress
×
提示
您的信息不完整,为了账户安全,请先补充。
现在去补充
×
提示
您因"违规操作"
具体请查看互助需知
我知道了
×
提示
确定
请完成安全验证×
copy
已复制链接
快去分享给好友吧!
我知道了
右上角分享
点击右上角分享
0
联系我们:info@booksci.cn Book学术提供免费学术资源搜索服务,方便国内外学者检索中英文文献。致力于提供最便捷和优质的服务体验。 Copyright © 2023 布克学术 All rights reserved.
京ICP备2023020795号-1
ghs 京公网安备 11010802042870号
Book学术文献互助
Book学术文献互助群
群 号:604180095
Book学术官方微信