Identifying Coronary Artery Calcification Using Chest X-ray Radiographs and Machine Learning: The Role of the Radiomics Score.

IF 1.9 4区 医学 Q3 RADIOLOGY, NUCLEAR MEDICINE & MEDICAL IMAGING
Journal of Thoracic Imaging Pub Date : 2024-03-01 Epub Date: 2023-10-19 DOI:10.1097/RTI.0000000000000757
Hyunseok Jeong, Hyung-Bok Park, Jongsoo Hong, Jina Lee, Seongmin Ha, Ran Heo, Juyeong Jung, Youngtaek Hong, Hyuk-Jae Chang
{"title":"Identifying Coronary Artery Calcification Using Chest X-ray Radiographs and Machine Learning: The Role of the Radiomics Score.","authors":"Hyunseok Jeong, Hyung-Bok Park, Jongsoo Hong, Jina Lee, Seongmin Ha, Ran Heo, Juyeong Jung, Youngtaek Hong, Hyuk-Jae Chang","doi":"10.1097/RTI.0000000000000757","DOIUrl":null,"url":null,"abstract":"<p><strong>Purpose: </strong>To evaluate the ability of radiomics score (RS)-based machine learning to identify moderate to severe coronary artery calcium (CAC) on chest x-ray radiographs (CXR).</p><p><strong>Materials and methods: </strong>We included 559 patients who underwent a CAC scan with CXR obtained within 6 months and divided them into training (n = 391) and validation (n = 168) cohorts. We extracted radiomic features from annotated cardiac contours in the CXR images and developed an RS through feature selection with the least absolute shrinkage and selection operator regression in the training cohort. We evaluated the incremental value of the RS in predicting CAC scores when combined with basic clinical factor in the validation cohort. To predict a CAC score ≥100, we built an RS-based machine learning model using random forest; the input variables were age, sex, body mass index, and RS.</p><p><strong>Results: </strong>The RS was the most prominent factor for the CAC score ≥100 predictions (odds ratio = 2.33; 95% confidence interval: 1.62-3.44; P < 0.001) compared with basic clinical factor. The machine learning model was tested in the validation cohort and showed an area under the receiver operating characteristic curve of 0.808 (95% confidence interval: 0.75-0.87) for a CAC score ≥100 predictions.</p><p><strong>Conclusions: </strong>The use of an RS-based machine learning model may have the potential as an imaging marker to screen patients with moderate to severe CAC scores before diagnostic imaging tests, and it may improve the pretest probability of detecting coronary artery disease in clinical practice.</p>","PeriodicalId":49974,"journal":{"name":"Journal of Thoracic Imaging","volume":" ","pages":"119-126"},"PeriodicalIF":1.9000,"publicationDate":"2024-03-01","publicationTypes":"Journal Article","fieldsOfStudy":null,"isOpenAccess":false,"openAccessPdf":"https://www.ncbi.nlm.nih.gov/pmc/articles/PMC10878443/pdf/","citationCount":"0","resultStr":null,"platform":"Semanticscholar","paperid":null,"PeriodicalName":"Journal of Thoracic Imaging","FirstCategoryId":"3","ListUrlMain":"https://doi.org/10.1097/RTI.0000000000000757","RegionNum":4,"RegionCategory":"医学","ArticlePicture":[],"TitleCN":null,"AbstractTextCN":null,"PMCID":null,"EPubDate":"2023/10/19 0:00:00","PubModel":"Epub","JCR":"Q3","JCRName":"RADIOLOGY, NUCLEAR MEDICINE & MEDICAL IMAGING","Score":null,"Total":0}
引用次数: 0

Abstract

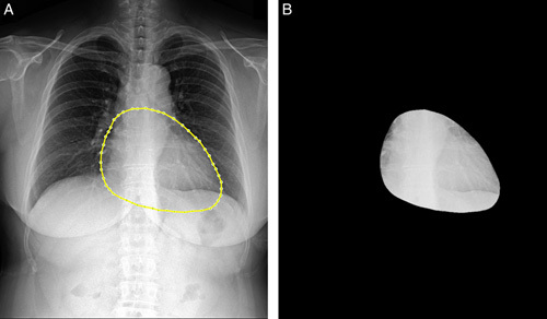
Purpose: To evaluate the ability of radiomics score (RS)-based machine learning to identify moderate to severe coronary artery calcium (CAC) on chest x-ray radiographs (CXR).

Materials and methods: We included 559 patients who underwent a CAC scan with CXR obtained within 6 months and divided them into training (n = 391) and validation (n = 168) cohorts. We extracted radiomic features from annotated cardiac contours in the CXR images and developed an RS through feature selection with the least absolute shrinkage and selection operator regression in the training cohort. We evaluated the incremental value of the RS in predicting CAC scores when combined with basic clinical factor in the validation cohort. To predict a CAC score ≥100, we built an RS-based machine learning model using random forest; the input variables were age, sex, body mass index, and RS.

Results: The RS was the most prominent factor for the CAC score ≥100 predictions (odds ratio = 2.33; 95% confidence interval: 1.62-3.44; P < 0.001) compared with basic clinical factor. The machine learning model was tested in the validation cohort and showed an area under the receiver operating characteristic curve of 0.808 (95% confidence interval: 0.75-0.87) for a CAC score ≥100 predictions.

Conclusions: The use of an RS-based machine learning model may have the potential as an imaging marker to screen patients with moderate to severe CAC scores before diagnostic imaging tests, and it may improve the pretest probability of detecting coronary artery disease in clinical practice.

Abstract Image

Abstract Image

Abstract Image

使用胸部X射线照片和机器学习识别冠状动脉钙化:放射组学评分的作用。
目的:评估基于放射组学评分(RS)的机器学习在胸部x射线照片(CXR)上识别中度至重度冠状动脉钙(CAC)的能力。材料和方法:我们纳入了559名接受CAC扫描的患者,这些患者在6个月内获得了CXR,并将他们分为训练组(n=391)和验证组(n=168)。我们从CXR图像中注释的心脏轮廓中提取了放射组学特征,并通过训练队列中绝对收缩最小的特征选择和选择算子回归开发了RS。在验证队列中,我们评估了RS在预测CAC评分时与基本临床因素相结合的增量值。为了预测CAC得分≥100,我们使用随机森林建立了一个基于RS的机器学习模型;输入变量为年龄、性别、体重指数和RS。结果:与基本临床因素相比,RS是CAC评分≥100预测的最显著因素(比值比=2.33;95%置信区间:1.62-3.44;P<0.001)。机器学习模型在验证队列中进行了测试,显示CAC评分≥100预测的受试者工作特征曲线下面积为0.808(95%置信区间:0.75-0.87)。结论:使用基于RS的机器学习模型可能有潜力作为诊断成像测试前筛选中重度CAC评分患者的成像标记,并可能提高临床实践中检测到冠状动脉疾病的预测试概率。
本文章由计算机程序翻译,如有差异,请以英文原文为准。
求助全文
约1分钟内获得全文 求助全文
来源期刊
Journal of Thoracic Imaging
Journal of Thoracic Imaging 医学-核医学
CiteScore
7.10
自引率
9.10%
发文量
87
审稿时长
6-12 weeks
期刊介绍: Journal of Thoracic Imaging (JTI) provides authoritative information on all aspects of the use of imaging techniques in the diagnosis of cardiac and pulmonary diseases. Original articles and analytical reviews published in this timely journal provide the very latest thinking of leading experts concerning the use of chest radiography, computed tomography, magnetic resonance imaging, positron emission tomography, ultrasound, and all other promising imaging techniques in cardiopulmonary radiology. Official Journal of the Society of Thoracic Radiology: Japanese Society of Thoracic Radiology Korean Society of Thoracic Radiology European Society of Thoracic Imaging.
×
引用
GB/T 7714-2015
复制
MLA
复制
APA
复制
导出至
BibTeX EndNote RefMan NoteFirst NoteExpress
×
提示
您的信息不完整,为了账户安全,请先补充。
现在去补充
×
提示
您因"违规操作"
具体请查看互助需知
我知道了
×
提示
确定
请完成安全验证×
copy
已复制链接
快去分享给好友吧!
我知道了
右上角分享
点击右上角分享
0
联系我们:info@booksci.cn Book学术提供免费学术资源搜索服务,方便国内外学者检索中英文文献。致力于提供最便捷和优质的服务体验。 Copyright © 2023 布克学术 All rights reserved.
京ICP备2023020795号-1
ghs 京公网安备 11010802042870号
Book学术文献互助
Book学术文献互助群
群 号:604180095
Book学术官方微信