Analysis of traumatic acute diaphragmatic injuries.

IF 1.9
Singapore medical journal Pub Date : 2025-06-01 Epub Date: 2023-09-25 DOI:10.4103/singaporemedj.SMJ-2022-076
İlhan Taş, Ebral Yiğit
{"title":"Analysis of traumatic acute diaphragmatic injuries.","authors":"İlhan Taş, Ebral Yiğit","doi":"10.4103/singaporemedj.SMJ-2022-076","DOIUrl":null,"url":null,"abstract":"<p><strong>Introduction: </strong>Diaphragm rupture (DR) is a rare pathological event usually caused by trauma. We aimed to analyse the characteristics of acute diaphragmatic injuries due to trauma and the treatment of such injuries.</p><p><strong>Methods: </strong>This study included the data of 15 patients who sustained diaphragmatic injuries due to trauma and underwent surgery at the Diyarbakır Gazi Yaşargil Training and Research Hospital General Surgery Service between January 2016 and December 2019.</p><p><strong>Results: </strong>There were 240 patients who presented with abdominal trauma during the study period, and DR was detected in 15 (6.25%) of these patients. The male to female ratio was 14 to 1, and the average age of the patients was 29.66 ± 10.56 (15-46) years. The most common cause of diaphragmatic injury was penetrating abdominal injuries (86.7%). Blunt abdominal trauma accounted for 13.3% of the DR cases. Preoperative shock was present in four (26.7%) patients. Preoperative diagnosis was made in only one (6.7%) of 15 patients with DR. Other patients were diagnosed during operation. Thirteen (86.7%) patients had additional organ injuries, and two patients had isolated diaphragmatic injuries. The most frequently injured organ was the lung ( n = 7, 46.6%). Complications developed in six patients (morbidity rate 40%), and pulmonary complications were most frequently encountered ( n = 5, 33.3%). The mortality rate was 6.7%.</p><p><strong>Conclusion: </strong>As traumatic DRs are uncommon and often associated with additional organ injuries, a careful general assessment of the patient should be made.</p>","PeriodicalId":94289,"journal":{"name":"Singapore medical journal","volume":" ","pages":"333-337"},"PeriodicalIF":1.9000,"publicationDate":"2025-06-01","publicationTypes":"Journal Article","fieldsOfStudy":null,"isOpenAccess":false,"openAccessPdf":"https://www.ncbi.nlm.nih.gov/pmc/articles/PMC12200818/pdf/","citationCount":"0","resultStr":null,"platform":"Semanticscholar","paperid":null,"PeriodicalName":"Singapore medical journal","FirstCategoryId":"1085","ListUrlMain":"https://doi.org/10.4103/singaporemedj.SMJ-2022-076","RegionNum":0,"RegionCategory":null,"ArticlePicture":[],"TitleCN":null,"AbstractTextCN":null,"PMCID":null,"EPubDate":"2023/9/25 0:00:00","PubModel":"Epub","JCR":"","JCRName":"","Score":null,"Total":0}
引用次数: 0

Abstract

Introduction: Diaphragm rupture (DR) is a rare pathological event usually caused by trauma. We aimed to analyse the characteristics of acute diaphragmatic injuries due to trauma and the treatment of such injuries.

Methods: This study included the data of 15 patients who sustained diaphragmatic injuries due to trauma and underwent surgery at the Diyarbakır Gazi Yaşargil Training and Research Hospital General Surgery Service between January 2016 and December 2019.

Results: There were 240 patients who presented with abdominal trauma during the study period, and DR was detected in 15 (6.25%) of these patients. The male to female ratio was 14 to 1, and the average age of the patients was 29.66 ± 10.56 (15-46) years. The most common cause of diaphragmatic injury was penetrating abdominal injuries (86.7%). Blunt abdominal trauma accounted for 13.3% of the DR cases. Preoperative shock was present in four (26.7%) patients. Preoperative diagnosis was made in only one (6.7%) of 15 patients with DR. Other patients were diagnosed during operation. Thirteen (86.7%) patients had additional organ injuries, and two patients had isolated diaphragmatic injuries. The most frequently injured organ was the lung ( n = 7, 46.6%). Complications developed in six patients (morbidity rate 40%), and pulmonary complications were most frequently encountered ( n = 5, 33.3%). The mortality rate was 6.7%.

Conclusion: As traumatic DRs are uncommon and often associated with additional organ injuries, a careful general assessment of the patient should be made.

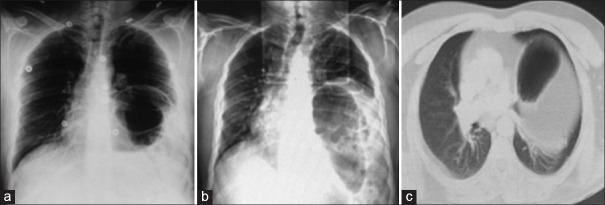
Abstract Image

创伤性急性膈肌损伤分析。
引言:隔膜破裂(DR)是一种罕见的病理事件,通常由创伤引起。我们旨在分析外伤性急性膈肌损伤的特点和治疗方法。方法:本研究纳入了2016年1月至2019年12月期间在Diyarbakır Gazi Yaşargil培训研究医院普通外科服务中心接受手术的15名因创伤而遭受膈肌损伤的患者的数据,其中15例(6.25%)检出DR。男女比例为14比1,患者的平均年龄为29.66±10.56(15-46)岁。膈肌损伤最常见的原因是穿透性腹部损伤(86.7%),钝性腹部损伤占DR病例的13.3%。4例(26.7%)患者出现术前休克。在15例DR患者中,只有1例(6.7%)在术前得到诊断。其他患者在手术中得到诊断。13名(86.7%)患者有额外的器官损伤,2名患者有孤立性膈肌损伤。最常见的损伤器官是肺(n=7,46.6%)。6名患者出现并发症(发病率40%),肺部并发症最常见(n=5,33.3%)。死亡率为6.7%。
本文章由计算机程序翻译,如有差异,请以英文原文为准。
求助全文
约1分钟内获得全文 求助全文
来源期刊
自引率
0.00%
发文量
0
×
引用
GB/T 7714-2015
复制
MLA
复制
APA
复制
导出至
BibTeX EndNote RefMan NoteFirst NoteExpress
×
提示
您的信息不完整,为了账户安全,请先补充。
现在去补充
×
提示
您因"违规操作"
具体请查看互助需知
我知道了
×
提示
确定
请完成安全验证×
copy
已复制链接
快去分享给好友吧!
我知道了
右上角分享
点击右上角分享
0
联系我们:info@booksci.cn Book学术提供免费学术资源搜索服务,方便国内外学者检索中英文文献。致力于提供最便捷和优质的服务体验。 Copyright © 2023 布克学术 All rights reserved.
京ICP备2023020795号-1
ghs 京公网安备 11010802042870号
Book学术文献互助
Book学术文献互助群
群 号:604180095
Book学术官方微信