Can Cochlear Nerve Size Assessment With Magnetic Resonance Enhance the Understanding of Idiopathic Sudden Sensorineural Hearing Loss?

IF 1.4 Q3 OTORHINOLARYNGOLOGY
Journal of Audiology and Otology Pub Date : 2024-01-01 Epub Date: 2023-10-20 DOI:10.7874/jao.2023.00164
Hande Arslan, Meltem Özdemir, Rasime Pelin Kavak, Kemal Keseroğlu, Murad Mutlu, Mehmet Hakan Korkmaz
{"title":"Can Cochlear Nerve Size Assessment With Magnetic Resonance Enhance the Understanding of Idiopathic Sudden Sensorineural Hearing Loss?","authors":"Hande Arslan, Meltem Özdemir, Rasime Pelin Kavak, Kemal Keseroğlu, Murad Mutlu, Mehmet Hakan Korkmaz","doi":"10.7874/jao.2023.00164","DOIUrl":null,"url":null,"abstract":"<p><strong>Background and objectives: </strong>Idiopathic sudden sensorineural hearing loss (ISSHL) is a rapid loss of hearing, exceeding 30 dB in at least 3 consecutive frequencies within 3 days, without any identifiable cause despite thorough investigations. Currently, the etiology and pathogenesis of ISSHL have not been fully elucidated. This study aimed to assess the size of the cochlear nerve in patients with ISSHL and explore its relationship with pretreatment audiograms and treatment response. Subjects and.</p><p><strong>Methods: </strong>A total of 125 patients (59 [47.2%] women; mean age 47.7±13.8 years [minimum-maximum: 21-76]) and 60 healthy participants (27 [45%] women; mean age 45.7±16.8 years [minimum-maximum: 20-76]) as a control group were included in this study. The size of the cochlear nerve was assessed on the affected side, compared to the control group, as well as on the unaffected side. Pretreatment and posttreatment audiological values were also analyzed.</p><p><strong>Results: </strong>The cross-sectional area (CSA), vertical diameter (VD), and horizontal diameter (HD) of the CN were found to be smaller on the affected side of ISSHL patients compared to the control group (p<0.01; p=0.04; p=0.02, respectively). In the study group (affected side of ISSHL patients), there were no significant differences in VD, HD, and CSA values between pretreatment audiogram types (p=0.23; p=0.53; p=0.39, respectively), and initial hearing levels (p=0.16; p=0.22; p=0.23, respectively). Furthermore, there were no significant differences in VD, HD, and CSA values between the recovery groups according to Furuhashi criteria (p=0.18; p=0.37; p=0.27, respectively).</p><p><strong>Conclusions: </strong>The size of the CN may be a risk factor for ISSHL, but it does not affect the type of audiogram curves and was not prognostic in terms of treatment response.</p>","PeriodicalId":44886,"journal":{"name":"Journal of Audiology and Otology","volume":" ","pages":"29-35"},"PeriodicalIF":1.4000,"publicationDate":"2024-01-01","publicationTypes":"Journal Article","fieldsOfStudy":null,"isOpenAccess":false,"openAccessPdf":"https://www.ncbi.nlm.nih.gov/pmc/articles/PMC10808387/pdf/","citationCount":"0","resultStr":null,"platform":"Semanticscholar","paperid":null,"PeriodicalName":"Journal of Audiology and Otology","FirstCategoryId":"1085","ListUrlMain":"https://doi.org/10.7874/jao.2023.00164","RegionNum":0,"RegionCategory":null,"ArticlePicture":[],"TitleCN":null,"AbstractTextCN":null,"PMCID":null,"EPubDate":"2023/10/20 0:00:00","PubModel":"Epub","JCR":"Q3","JCRName":"OTORHINOLARYNGOLOGY","Score":null,"Total":0}
引用次数: 0

Abstract

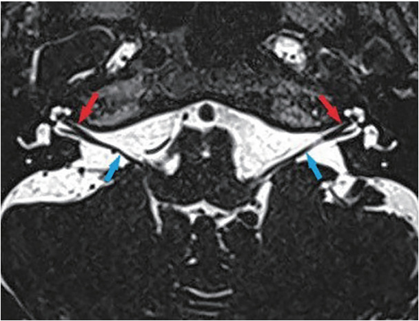
Background and objectives: Idiopathic sudden sensorineural hearing loss (ISSHL) is a rapid loss of hearing, exceeding 30 dB in at least 3 consecutive frequencies within 3 days, without any identifiable cause despite thorough investigations. Currently, the etiology and pathogenesis of ISSHL have not been fully elucidated. This study aimed to assess the size of the cochlear nerve in patients with ISSHL and explore its relationship with pretreatment audiograms and treatment response. Subjects and.

Methods: A total of 125 patients (59 [47.2%] women; mean age 47.7±13.8 years [minimum-maximum: 21-76]) and 60 healthy participants (27 [45%] women; mean age 45.7±16.8 years [minimum-maximum: 20-76]) as a control group were included in this study. The size of the cochlear nerve was assessed on the affected side, compared to the control group, as well as on the unaffected side. Pretreatment and posttreatment audiological values were also analyzed.

Results: The cross-sectional area (CSA), vertical diameter (VD), and horizontal diameter (HD) of the CN were found to be smaller on the affected side of ISSHL patients compared to the control group (p<0.01; p=0.04; p=0.02, respectively). In the study group (affected side of ISSHL patients), there were no significant differences in VD, HD, and CSA values between pretreatment audiogram types (p=0.23; p=0.53; p=0.39, respectively), and initial hearing levels (p=0.16; p=0.22; p=0.23, respectively). Furthermore, there were no significant differences in VD, HD, and CSA values between the recovery groups according to Furuhashi criteria (p=0.18; p=0.37; p=0.27, respectively).

Conclusions: The size of the CN may be a risk factor for ISSHL, but it does not affect the type of audiogram curves and was not prognostic in terms of treatment response.

Abstract Image

Abstract Image

Abstract Image

磁共振耳蜗神经大小评估能提高对特发性突发性感觉神经性听力损失的认识吗?
背景和目的:特发性突发性感音神经性听力损失(ISSHL)是一种快速的听力损失,在3天内至少连续3个频率超过30dB,尽管进行了彻底的调查,但没有任何可确定的原因。目前,ISSHL的病因和发病机制尚未完全阐明。本研究旨在评估ISSHL患者耳蜗神经的大小,并探讨其与预处理听力图和治疗反应的关系。受试者和方法:本研究共纳入125名患者(59名[47.2%]女性;平均年龄47.7±13.8岁[最小-最大值:21-76])和60名健康参与者(27名[45%]女性,平均年龄45.7±16.8岁[最大-最小值:20-76])作为对照组。与对照组和未受影响侧相比,评估了受影响侧的耳蜗神经大小。还分析了治疗前和治疗后的听力学值。结果:与对照组相比,ISSHL患者患侧CN的横截面积(CSA)、垂直直径(VD)和水平直径(HD)较小(P结论:CN的大小可能是ISSHL的一个危险因素,但它不会影响听力图曲线的类型,也不是治疗反应的预后因素。
本文章由计算机程序翻译,如有差异,请以英文原文为准。
求助全文
约1分钟内获得全文 求助全文
来源期刊
Journal of Audiology and Otology
Journal of Audiology and Otology OTORHINOLARYNGOLOGY-
CiteScore
1.90
自引率
9.10%
发文量
20
期刊介绍: Journal of Audiology and Otology (JAO) (formerly known as Korean Journal of Audiology) aims to publish the most advanced findings for all aspects of the auditory and vestibular system and diseases of the ear using state-of-the-art techniques and analyses. The journal covers recent trends related to the topics of audiology, otology, and neurotology conducted by professionals, with the goal of providing better possible treatment to people of all ages, from infants to the elderly, who suffer from auditory and/or vestibular disorders and thus, improving their quality of life. This journal encourages the submission of review papers about current professional issues, research papers presenting a scientific base and clinical application, and case papers with unique reports or clinical trials. We also invite letters to the editor and papers related to the manufacture and distribution of medical devices. This journal provides integrated views from otologists, audiologists, and other healthcare practitioners, offering readers high quality scientific and clinical information. This peer-reviewed and open access journal has been the official journal of the Korean Audiological Society since 1997 and of both the Korean Audiological Society and the Korean Otological Society since 2017. It is published in English four times a year in January, April, July, and October.
×
引用
GB/T 7714-2015
复制
MLA
复制
APA
复制
导出至
BibTeX EndNote RefMan NoteFirst NoteExpress
×
提示
您的信息不完整,为了账户安全,请先补充。
现在去补充
×
提示
您因"违规操作"
具体请查看互助需知
我知道了
×
提示
确定
请完成安全验证×
copy
已复制链接
快去分享给好友吧!
我知道了
右上角分享
点击右上角分享
0
联系我们:info@booksci.cn Book学术提供免费学术资源搜索服务,方便国内外学者检索中英文文献。致力于提供最便捷和优质的服务体验。 Copyright © 2023 布克学术 All rights reserved.
京ICP备2023020795号-1
ghs 京公网安备 11010802042870号
Book学术文献互助
Book学术文献互助群
群 号:604180095
Book学术官方微信