A case of delayed postoperative bleeding after excision of endometrial polyp using resectoscope in an infertile woman with von Willebrand disease:a case report and literature review.

IF 0.9 Q3 MEDICINE, GENERAL & INTERNAL
Fukushima Journal of Medical Science Pub Date : 2023-11-15 Epub Date: 2023-10-17 DOI:10.5387/fms.2023-04
Chihiro Okoshi, Toshifumi Takahashi, Masahiko Fukatsu, Ryota Suganuma, Takayuki Ikezoe, Keiya Fujimori
{"title":"A case of delayed postoperative bleeding after excision of endometrial polyp using resectoscope in an infertile woman with von Willebrand disease:a case report and literature review.","authors":"Chihiro Okoshi, Toshifumi Takahashi, Masahiko Fukatsu, Ryota Suganuma, Takayuki Ikezoe, Keiya Fujimori","doi":"10.5387/fms.2023-04","DOIUrl":null,"url":null,"abstract":"<p><p>Von Willebrand disease (VWD) is a bleeding disorder caused by a congenital quantitative reduction, deficiency, or qualitative abnormality of the von Willebrand factor (VWF). Here, we report a case of delayed postoperative bleeding in an infertile woman with endometrial polyps complicated by VWD. The patient was a 39-year-old infertile woman with type 2A VWD. At 38 years of age, she was referred to our hospital for infertility and heavy menstrual bleeding. Hysteroscopy revealed a 15-mm polyp lesion in the uterus. The patient was scheduled for transcervical resection (TCR) of the endometrial polyp. Gonadotropin-releasing hormone agonists were preoperatively administered to prevent menstruation. The VWF-containing concentrate was administered for 3 days according to guidelines. The patient was discharged on postoperative day 3 after confirming the absence of uterine bleeding. Uterine bleeding began on postoperative day 6. The patient was readmitted on postoperative day 7 and treated with VWF-containing concentrate for 5 days, after which hemostasis was confirmed. TCR surgery for endometrial lesions is classified as a minor surgery, and guidelines recommend short-term VWF-containing concentrate replacement. However, it should be kept in mind that only short-term VWF-containing concentrate replacement may cause rebleeding postoperatively.</p>","PeriodicalId":44831,"journal":{"name":"Fukushima Journal of Medical Science","volume":" ","pages":"197-204"},"PeriodicalIF":0.9000,"publicationDate":"2023-11-15","publicationTypes":"Journal Article","fieldsOfStudy":null,"isOpenAccess":false,"openAccessPdf":"https://www.ncbi.nlm.nih.gov/pmc/articles/PMC10694516/pdf/","citationCount":"0","resultStr":null,"platform":"Semanticscholar","paperid":null,"PeriodicalName":"Fukushima Journal of Medical Science","FirstCategoryId":"1085","ListUrlMain":"https://doi.org/10.5387/fms.2023-04","RegionNum":0,"RegionCategory":null,"ArticlePicture":[],"TitleCN":null,"AbstractTextCN":null,"PMCID":null,"EPubDate":"2023/10/17 0:00:00","PubModel":"Epub","JCR":"Q3","JCRName":"MEDICINE, GENERAL & INTERNAL","Score":null,"Total":0}
引用次数: 0

Abstract

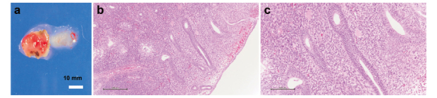
Von Willebrand disease (VWD) is a bleeding disorder caused by a congenital quantitative reduction, deficiency, or qualitative abnormality of the von Willebrand factor (VWF). Here, we report a case of delayed postoperative bleeding in an infertile woman with endometrial polyps complicated by VWD. The patient was a 39-year-old infertile woman with type 2A VWD. At 38 years of age, she was referred to our hospital for infertility and heavy menstrual bleeding. Hysteroscopy revealed a 15-mm polyp lesion in the uterus. The patient was scheduled for transcervical resection (TCR) of the endometrial polyp. Gonadotropin-releasing hormone agonists were preoperatively administered to prevent menstruation. The VWF-containing concentrate was administered for 3 days according to guidelines. The patient was discharged on postoperative day 3 after confirming the absence of uterine bleeding. Uterine bleeding began on postoperative day 6. The patient was readmitted on postoperative day 7 and treated with VWF-containing concentrate for 5 days, after which hemostasis was confirmed. TCR surgery for endometrial lesions is classified as a minor surgery, and guidelines recommend short-term VWF-containing concentrate replacement. However, it should be kept in mind that only short-term VWF-containing concentrate replacement may cause rebleeding postoperatively.

Abstract Image

Abstract Image

Abstract Image

一例患有von Willebrand病的不孕妇女在子宫内膜息肉切除术后延迟出血的病例报告和文献复习。
血管性血友病(VWD)是一种由先天性血管性血友病因子(VWF)的数量减少、缺乏或定性异常引起的出血性疾病。在这里,我们报告了一例子宫内膜息肉合并VWD的不孕妇女术后延迟出血的病例。患者是一名39岁的不孕妇女,患有2A型VWD。38岁时,她因不孕不育和月经大出血被转诊到我们医院。宫腔镜检查显示子宫内有一处15毫米的息肉病变。患者被安排进行子宫内膜息肉的经宫颈切除术(TCR)。促性腺激素释放激素激动剂在术前用于预防月经。根据指导方针,将含有VWF的浓缩物给药3天。患者在确认无子宫出血后于术后第3天出院。子宫出血开始于术后第6天。患者在术后第7天再次入院,并用含有VWF的浓缩物治疗5天,之后确认止血。子宫内膜病变的TCR手术被归类为小手术,指南建议短期含VWF的浓缩物替代。然而,应该记住的是,只有短期的含VWF的浓缩物置换可能会导致术后再出血。
本文章由计算机程序翻译,如有差异,请以英文原文为准。
求助全文
约1分钟内获得全文 求助全文
来源期刊
Fukushima Journal of Medical Science
Fukushima Journal of Medical Science MEDICINE, GENERAL & INTERNAL-
CiteScore
1.70
自引率
12.50%
发文量
24
×
引用
GB/T 7714-2015
复制
MLA
复制
APA
复制
导出至
BibTeX EndNote RefMan NoteFirst NoteExpress
×
提示
您的信息不完整,为了账户安全,请先补充。
现在去补充
×
提示
您因"违规操作"
具体请查看互助需知
我知道了
×
提示
确定
请完成安全验证×
copy
已复制链接
快去分享给好友吧!
我知道了
右上角分享
点击右上角分享
0
联系我们:info@booksci.cn Book学术提供免费学术资源搜索服务,方便国内外学者检索中英文文献。致力于提供最便捷和优质的服务体验。 Copyright © 2023 布克学术 All rights reserved.
京ICP备2023020795号-1
ghs 京公网安备 11010802042870号
Book学术文献互助
Book学术文献互助群
群 号:604180095
Book学术官方微信