Amodiaquine drug pressure selects nonsynonymous mutations in pantothenate kinase 1, diacylglycerol kinase, and phosphatidylinositol-4 kinase in Plasmodium berghei ANKA.

Open research Africa Pub Date : 2023-10-19 eCollection Date: 2022-01-01 DOI:10.12688/openresafrica.13436.1
Jean Chepngetich, Brenda Muriithi, Beatrice Gachie, Kevin Thiong'o, Mercy Jepkorir, Jeremiah Gathirwa, Francis Kimani, Peter Mwitari, Daniel Kiboi
{"title":"Amodiaquine drug pressure selects nonsynonymous mutations in pantothenate kinase 1, diacylglycerol kinase, and phosphatidylinositol-4 kinase in <i>Plasmodium berghei</i> ANKA.","authors":"Jean Chepngetich, Brenda Muriithi, Beatrice Gachie, Kevin Thiong'o, Mercy Jepkorir, Jeremiah Gathirwa, Francis Kimani, Peter Mwitari, Daniel Kiboi","doi":"10.12688/openresafrica.13436.1","DOIUrl":null,"url":null,"abstract":"<p><strong>Background: </strong>Lumefantrine (LM), piperaquine (PQ), and amodiaquine (AQ), the long-acting components of the artemisinin-based combination therapies (ACTs), are a cornerstone of malaria treatment in Africa. Studies have shown that PQ, AQ, and LM resistance may arise independently of predicted modes of action. Protein kinases have emerged as mediators of drug action and efficacy in malaria parasites; however, the link between top druggable <i>Plasmodium</i> kinases with LM, PQ, and AQ resistance remains unclear. Using LM, PQ, or AQ-resistant <i>Plasmodium berghei</i> parasites, we have evaluated the association of choline kinase (CK), pantothenate kinase 1 (PANK1), diacylglycerol kinase (DAGK), and phosphatidylinositol-4 kinase (PI4Kβ), and calcium-dependent protein kinase 1 (CDPK1) with LM, PQ, and AQ resistance in <i>Plasmodium berghei</i> ANKA.</p><p><strong>Methods: </strong>We used <i>in silico</i> bioinformatics tools to identify ligand-binding motifs, active sites, and sequence conservation across the different parasites. We then used PCR and sequencing analysis to probe for single nucleotide polymorphisms (SNPs) within the predicted functional motifs in the CK, PANK1, DAGK, PI4Kβ, and CDPK1. Using qPCR analysis, we measured the mRNA amount of PANK1, DAGK, and PI4Kβ at trophozoites and schizonts stages.</p><p><strong>Results: </strong>We reveal sequence conservation and unique ligand-binding motifs in the CK, PANK1, DAGK, PI4Kβ, and CDPK1 across malaria species. DAGK, PANK1, and PI4Kβ possessed nonsynonymous mutations; surprisingly, the mutations only occurred in the AQr parasites. PANK1 acquired Asn394His, while DAGK contained K270R and K292R mutations. PI4Kβ had Asp366Asn, Ser1367Arg, Tyr1394Asn and Asp1423Asn. We show downregulation of PANK1, DAGK, and PI4Kβ in the trophozoites but upregulation at the schizonts stages in the AQr parasites.</p><p><strong>Conclusions: </strong>The selective acquisition of the mutations and the differential gene expression in AQ-resistant parasites may signify proteins under AQ pressure. The role of the mutations in the resistant parasites and their impact on drug responses require investigations using reverse genetics techniques in malaria parasites.</p>","PeriodicalId":74358,"journal":{"name":"Open research Africa","volume":" ","pages":"28"},"PeriodicalIF":0.0000,"publicationDate":"2023-10-19","publicationTypes":"Journal Article","fieldsOfStudy":null,"isOpenAccess":false,"openAccessPdf":"https://www.ncbi.nlm.nih.gov/pmc/articles/PMC11195610/pdf/","citationCount":"0","resultStr":null,"platform":"Semanticscholar","paperid":null,"PeriodicalName":"Open research Africa","FirstCategoryId":"1085","ListUrlMain":"https://doi.org/10.12688/openresafrica.13436.1","RegionNum":0,"RegionCategory":null,"ArticlePicture":[],"TitleCN":null,"AbstractTextCN":null,"PMCID":null,"EPubDate":"2022/1/1 0:00:00","PubModel":"eCollection","JCR":"","JCRName":"","Score":null,"Total":0}
引用次数: 0

Abstract

Background: Lumefantrine (LM), piperaquine (PQ), and amodiaquine (AQ), the long-acting components of the artemisinin-based combination therapies (ACTs), are a cornerstone of malaria treatment in Africa. Studies have shown that PQ, AQ, and LM resistance may arise independently of predicted modes of action. Protein kinases have emerged as mediators of drug action and efficacy in malaria parasites; however, the link between top druggable Plasmodium kinases with LM, PQ, and AQ resistance remains unclear. Using LM, PQ, or AQ-resistant Plasmodium berghei parasites, we have evaluated the association of choline kinase (CK), pantothenate kinase 1 (PANK1), diacylglycerol kinase (DAGK), and phosphatidylinositol-4 kinase (PI4Kβ), and calcium-dependent protein kinase 1 (CDPK1) with LM, PQ, and AQ resistance in Plasmodium berghei ANKA.

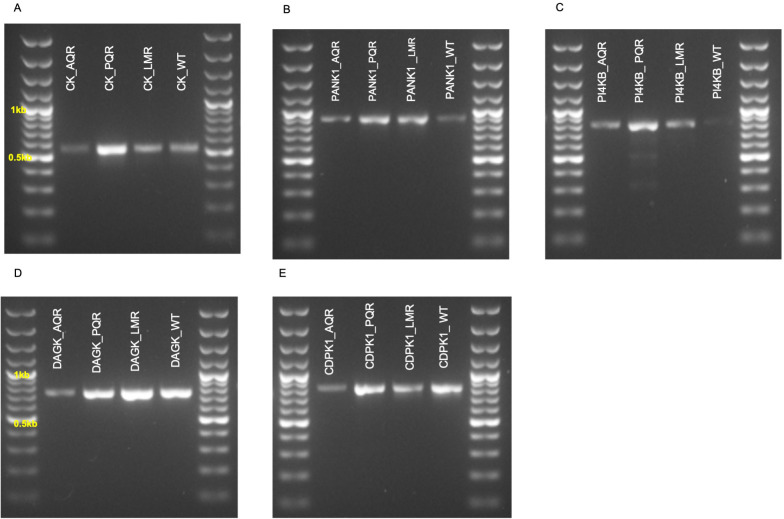
Methods: We used in silico bioinformatics tools to identify ligand-binding motifs, active sites, and sequence conservation across the different parasites. We then used PCR and sequencing analysis to probe for single nucleotide polymorphisms (SNPs) within the predicted functional motifs in the CK, PANK1, DAGK, PI4Kβ, and CDPK1. Using qPCR analysis, we measured the mRNA amount of PANK1, DAGK, and PI4Kβ at trophozoites and schizonts stages.

Results: We reveal sequence conservation and unique ligand-binding motifs in the CK, PANK1, DAGK, PI4Kβ, and CDPK1 across malaria species. DAGK, PANK1, and PI4Kβ possessed nonsynonymous mutations; surprisingly, the mutations only occurred in the AQr parasites. PANK1 acquired Asn394His, while DAGK contained K270R and K292R mutations. PI4Kβ had Asp366Asn, Ser1367Arg, Tyr1394Asn and Asp1423Asn. We show downregulation of PANK1, DAGK, and PI4Kβ in the trophozoites but upregulation at the schizonts stages in the AQr parasites.

Conclusions: The selective acquisition of the mutations and the differential gene expression in AQ-resistant parasites may signify proteins under AQ pressure. The role of the mutations in the resistant parasites and their impact on drug responses require investigations using reverse genetics techniques in malaria parasites.

Abstract Image

Abstract Image

Abstract Image

阿莫地喹药物压力选择伯氏疟原虫ANKA中泛酸激酶1、二酰甘油激酶和磷脂酰肌醇-4激酶的非同义突变
背景:以青蒿素为基础的联合疗法(ACTs)的长效成分鲁美芬特(LM)、哌喹(PQ)和阿莫地喹(AQ)是非洲疟疾治疗的基石。研究表明,PQ、AQ和LM抗性可能独立于预测的作用模式而产生。蛋白激酶已成为疟原虫药物作用和疗效的介质;然而,顶级可药用疟原虫激酶与LM、PQ和AQ耐药性之间的联系尚不清楚。使用LM、PQ或AQ抗性伯氏疟原虫寄生虫,我们评估了伯氏疟原虫ANKA中胆碱激酶(CK)、泛酸激酶1(PANK1)、二酰甘油激酶(DAGK)、磷脂酰肌醇-4激酶(PI4Kβ)和钙依赖性蛋白激酶1(CDPK1)与LM、PQ和AQ抗性的关系。方法:我们使用计算机生物信息学工具来鉴定不同寄生虫的配体结合基序、活性位点和序列保守性。然后,我们使用PCR和测序分析来探测CK、PANK1、DAGK、PI4Kβ和CDPK1中预测功能基序内的单核苷酸多态性(SNPs)。使用qPCR分析,我们最终测量了滋养体和分裂体阶段PANK1、DAGK和PI4Kβ的mRNA量。结果:我们揭示了疟疾物种中CK、PANK1、DAGK、PI4Kβ和CDPK1的序列保守性和独特的配体结合基序。DAGK、PANK1和PI4Kβ具有非同义突变;令人惊讶的是,这些突变只发生在AQr寄生虫中。PANK1获得Asn394His,而DAGK包含K270R和K292R突变。PI4Kβ具有Asp366Asn、Ser1367Arg、Tyr1394Asn和Asp1423Asn。我们发现在滋养体中PANK1、DAGK和PI4Kβ下调,但在AQr寄生虫的分裂体阶段上调。结论:在AQ抗性寄生虫中选择性获得突变和差异基因表达可能意味着AQ压力下的蛋白质。突变在抗药性寄生虫中的作用以及对药物反应的影响需要对疟原虫进行进一步的研究。
本文章由计算机程序翻译,如有差异,请以英文原文为准。
求助全文
约1分钟内获得全文 求助全文
来源期刊
CiteScore
0.70
自引率
0.00%
发文量
0
×
引用
GB/T 7714-2015
复制
MLA
复制
APA
复制
导出至
BibTeX EndNote RefMan NoteFirst NoteExpress
×
提示
您的信息不完整,为了账户安全,请先补充。
现在去补充
×
提示
您因"违规操作"
具体请查看互助需知
我知道了
×
提示
确定
请完成安全验证×
copy
已复制链接
快去分享给好友吧!
我知道了
右上角分享
点击右上角分享
0
联系我们:info@booksci.cn Book学术提供免费学术资源搜索服务,方便国内外学者检索中英文文献。致力于提供最便捷和优质的服务体验。 Copyright © 2023 布克学术 All rights reserved.
京ICP备2023020795号-1
ghs 京公网安备 11010802042870号
Book学术文献互助
Book学术文献互助群
群 号:604180095
Book学术官方微信