Clinical impact of 99mTc-HDP SPECT/CT imaging as standard workup for foot and ankle osteoarthritis.

IF 2.1
BJR open Pub Date : 2023-08-29 eCollection Date: 2023-01-01 DOI:10.1259/bjro.20230017
A J van Hasselt, J Pustjens, A D de Zwart, M Dal, A J de Vries, T M van Raaij
{"title":"Clinical impact of 99mTc-HDP SPECT/CT imaging as standard workup for foot and ankle osteoarthritis.","authors":"A J van Hasselt, J Pustjens, A D de Zwart, M Dal, A J de Vries, T M van Raaij","doi":"10.1259/bjro.20230017","DOIUrl":null,"url":null,"abstract":"<p><strong>Objective: </strong>The primary aim of this study was to assess to what extent 99mTc-HDP Single photon emission computed tomography/computed tomography (SPECT/CT) will lead to change of diagnosis and treatment, in patients with suspected foot and ankle osteoarthritis (OA). Secondary aim was to assess the intraobserver variability.</p><p><strong>Methods: </strong>Retrospectively 107 patients, with suspected foot and/or ankle OA of which a SPECT/CT was made, were included for analysis. All the clinical and radiological data were randomized and blinded before being scored by one experienced orthopaedic surgeon. Firstly, based on the clinical data and conventional radiographs, a diagnosis and treatment plan was scored. Secondly, the observer accessed the SPECT/CT and could change the diagnosis and treatment plan. Additionally, the intraobserver reliability was determined by data of 18 patients that were added in twofold to the dataset, without awareness of the observer and by calculating the κ values.</p><p><strong>Results: </strong>The diagnosis changed in 53% (57/107) and treatment plans changed in 26% (28/107) of the patients. Intraobserver reliability for the conventional workup was <i>k</i> = 0.54 (moderate strength of agreement), compared to <i>k</i> = 0.66 (substantial strength of agreement) when SPECT/CT data were added.</p><p><strong>Conclusions: </strong>This study describes the influence of SPECT/CT on diagnosis and treatment plans in patients with suspected symptomatic OA. Also, it shows SPECT/CT leads to a higher intraobserver variability. We believe SPECT/CT has a promising role in the workup for foot and ankle OA.</p><p><strong>Advances in knowledge: </strong>In addition to what was found in complex foot and ankle cases, this study shows that in patients with non-complex foot and ankle problems, SPECT/CT has a substantial influence on the diagnosis (and subsequent treatment plan).</p>","PeriodicalId":72419,"journal":{"name":"BJR open","volume":" ","pages":"20230017"},"PeriodicalIF":2.1000,"publicationDate":"2023-08-29","publicationTypes":"Journal Article","fieldsOfStudy":null,"isOpenAccess":false,"openAccessPdf":"https://www.ncbi.nlm.nih.gov/pmc/articles/PMC10636335/pdf/","citationCount":"0","resultStr":null,"platform":"Semanticscholar","paperid":null,"PeriodicalName":"BJR open","FirstCategoryId":"1085","ListUrlMain":"https://doi.org/10.1259/bjro.20230017","RegionNum":0,"RegionCategory":null,"ArticlePicture":[],"TitleCN":null,"AbstractTextCN":null,"PMCID":null,"EPubDate":"2023/1/1 0:00:00","PubModel":"eCollection","JCR":"","JCRName":"","Score":null,"Total":0}
引用次数: 0

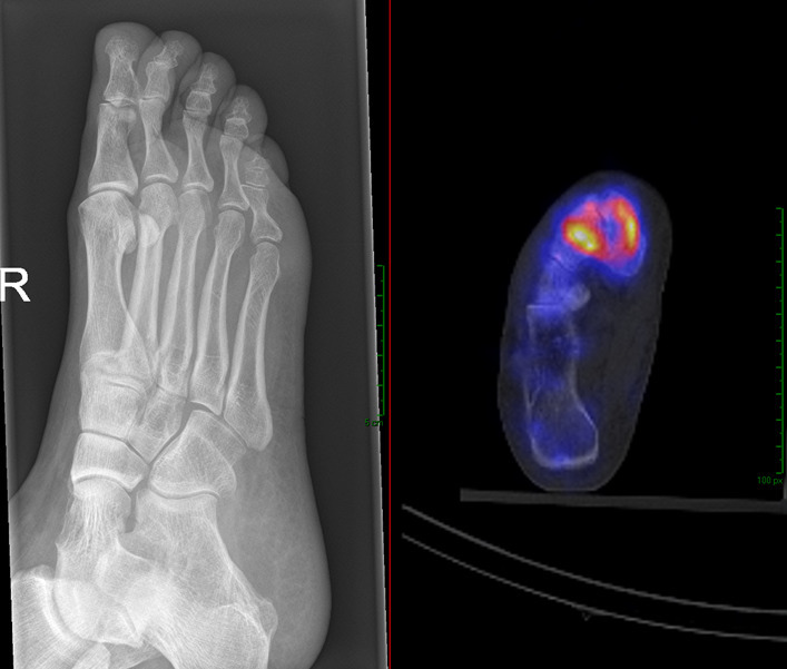
Abstract

Objective: The primary aim of this study was to assess to what extent 99mTc-HDP Single photon emission computed tomography/computed tomography (SPECT/CT) will lead to change of diagnosis and treatment, in patients with suspected foot and ankle osteoarthritis (OA). Secondary aim was to assess the intraobserver variability.

Methods: Retrospectively 107 patients, with suspected foot and/or ankle OA of which a SPECT/CT was made, were included for analysis. All the clinical and radiological data were randomized and blinded before being scored by one experienced orthopaedic surgeon. Firstly, based on the clinical data and conventional radiographs, a diagnosis and treatment plan was scored. Secondly, the observer accessed the SPECT/CT and could change the diagnosis and treatment plan. Additionally, the intraobserver reliability was determined by data of 18 patients that were added in twofold to the dataset, without awareness of the observer and by calculating the κ values.

Results: The diagnosis changed in 53% (57/107) and treatment plans changed in 26% (28/107) of the patients. Intraobserver reliability for the conventional workup was k = 0.54 (moderate strength of agreement), compared to k = 0.66 (substantial strength of agreement) when SPECT/CT data were added.

Conclusions: This study describes the influence of SPECT/CT on diagnosis and treatment plans in patients with suspected symptomatic OA. Also, it shows SPECT/CT leads to a higher intraobserver variability. We believe SPECT/CT has a promising role in the workup for foot and ankle OA.

Advances in knowledge: In addition to what was found in complex foot and ankle cases, this study shows that in patients with non-complex foot and ankle problems, SPECT/CT has a substantial influence on the diagnosis (and subsequent treatment plan).

Abstract Image

Abstract Image

Abstract Image

99mTc-HDP SPECT/CT成像作为足、踝骨关节炎标准检查的临床影响
本研究的主要目的是评估99mTc-HDP单光子发射计算机断层扫描/计算机断层扫描(SPECT/CT)在多大程度上会导致疑似足踝骨关节炎(OA)患者的诊断和治疗变化。次要目的是评估观察者内部的变异性。对107名疑似足部和/或踝关节骨性关节炎患者进行了SPECT/CT回顾性分析。在由一位经验丰富的整形外科医生进行评分之前,所有临床和放射学数据都是随机和盲法的。首先,根据临床数据和常规X线片,对诊断和治疗方案进行评分。其次,观察者进入SPECT/CT,可以改变诊断和治疗计划。此外,观察者内部的可靠性是由18名患者的数据确定的,这些数据以两倍的形式添加到数据集中,而观察者没有意识到这一点,并通过计算κ值来确定。53%(57/107)的患者诊断发生变化,26%(28/107)的患者治疗计划发生变化。常规检查的观察者内部可靠性为k=0.54(中等一致性强度),而添加SPECT/CT数据时为k=0.66(实质一致性强度强度)。本研究描述了SPECT/CT对疑似症状性OA患者诊断和治疗计划的影响。此外,它还显示SPECT/CT会导致更高的观察者内变异性。我们相信SPECT/CT在足部和踝关节骨性关节炎的检查中具有很好的作用。除了在复杂的足部和脚踝病例中发现的情况外,这项研究表明,在非复杂足部和脚踝问题的患者中,SPECT/CT对诊断(以及随后的治疗计划)有很大影响。
本文章由计算机程序翻译,如有差异,请以英文原文为准。
求助全文
约1分钟内获得全文 求助全文
来源期刊
自引率
0.00%
发文量
0
审稿时长
18 weeks
×
引用
GB/T 7714-2015
复制
MLA
复制
APA
复制
导出至
BibTeX EndNote RefMan NoteFirst NoteExpress
×
提示
您的信息不完整,为了账户安全,请先补充。
现在去补充
×
提示
您因"违规操作"
具体请查看互助需知
我知道了
×
提示
确定
请完成安全验证×
copy
已复制链接
快去分享给好友吧!
我知道了
右上角分享
点击右上角分享
0
联系我们:info@booksci.cn Book学术提供免费学术资源搜索服务,方便国内外学者检索中英文文献。致力于提供最便捷和优质的服务体验。 Copyright © 2023 布克学术 All rights reserved.
京ICP备2023020795号-1
ghs 京公网安备 11010802042870号
Book学术文献互助
Book学术文献互助群
群 号:604180095
Book学术官方微信