Lung cancer in the emergency department.

Emergency Cancer Care Pub Date : 2023-01-01 Epub Date: 2023-03-06 DOI:10.1186/s44201-023-00018-9
Jeremy R Walder, Saadia A Faiz, Marcelo Sandoval
{"title":"Lung cancer in the emergency department.","authors":"Jeremy R Walder, Saadia A Faiz, Marcelo Sandoval","doi":"10.1186/s44201-023-00018-9","DOIUrl":null,"url":null,"abstract":"<p><strong>Background: </strong>Though decreasing in incidence and mortality in the USA, lung cancer remains the deadliest of all cancers. For a significant number of patients, the emergency department (ED) provides the first pivotal step in lung cancer prevention, diagnosis, and management. As screening recommendations and treatments advance, ED providers must stay up-to-date with the latest lung cancer recommendations. The purpose of this review is to identify the many ways that emergency providers may intersect with the disease spectrum of lung cancer and provide an updated array of knowledge regarding detection, management, complications, and interdisciplinary care.</p><p><strong>Findings: </strong>Lung cancer, encompassing 10-12% of cancer-related emergency department visits and a 66% admission rate, is the most fatal malignancy in both men and women. Most patients presenting to the ED have not seen a primary care provider or undergone screening. Ultimately, half of those with a new lung cancer diagnosis in the ED die within 1 year. Incidental findings on computed tomography are mostly benign, but emergency staff must be aware of the factors that make them high risk. Radiologic presentations range from asymptomatic nodules to diffuse metastatic lesions with predominately pulmonary symptoms, and some may present with extra-thoracic manifestations including neurologic. The short-term prognosis for ED lung cancer patients is worse than that of other malignancies. Screening offers new hope through earlier diagnosis but is underutilized which may be due to racial and socioeconomic disparities. New treatments provide optimism but lead to new complications, some long-term. Multidisciplinary care is essential, and emergency medicine is responsible for the disposition of patients to the appropriate specialists at inpatient and outpatient centers.</p><p><strong>Conclusion: </strong>ED providers are intimately involved in all aspects of lung cancer care. Risk factor modification and referral for lung cancer screening are opportunities to further enhance patient care. In addition, with the advent of newer cancer therapies, ED providers must stay vigilant and up-to-date with all aspects of lung cancer including disparities, staging, symptoms of disease, prognosis, treatment, and therapy-related complications.</p>","PeriodicalId":91016,"journal":{"name":"Emergency Cancer Care","volume":" ","pages":"3"},"PeriodicalIF":0.0000,"publicationDate":"2023-01-01","publicationTypes":"Journal Article","fieldsOfStudy":null,"isOpenAccess":false,"openAccessPdf":"https://www.ncbi.nlm.nih.gov/pmc/articles/PMC11116267/pdf/","citationCount":"0","resultStr":null,"platform":"Semanticscholar","paperid":null,"PeriodicalName":"Emergency Cancer Care","FirstCategoryId":"1085","ListUrlMain":"https://doi.org/10.1186/s44201-023-00018-9","RegionNum":0,"RegionCategory":null,"ArticlePicture":[],"TitleCN":null,"AbstractTextCN":null,"PMCID":null,"EPubDate":"2023/3/6 0:00:00","PubModel":"Epub","JCR":"","JCRName":"","Score":null,"Total":0}
引用次数: 0

Abstract

Background: Though decreasing in incidence and mortality in the USA, lung cancer remains the deadliest of all cancers. For a significant number of patients, the emergency department (ED) provides the first pivotal step in lung cancer prevention, diagnosis, and management. As screening recommendations and treatments advance, ED providers must stay up-to-date with the latest lung cancer recommendations. The purpose of this review is to identify the many ways that emergency providers may intersect with the disease spectrum of lung cancer and provide an updated array of knowledge regarding detection, management, complications, and interdisciplinary care.

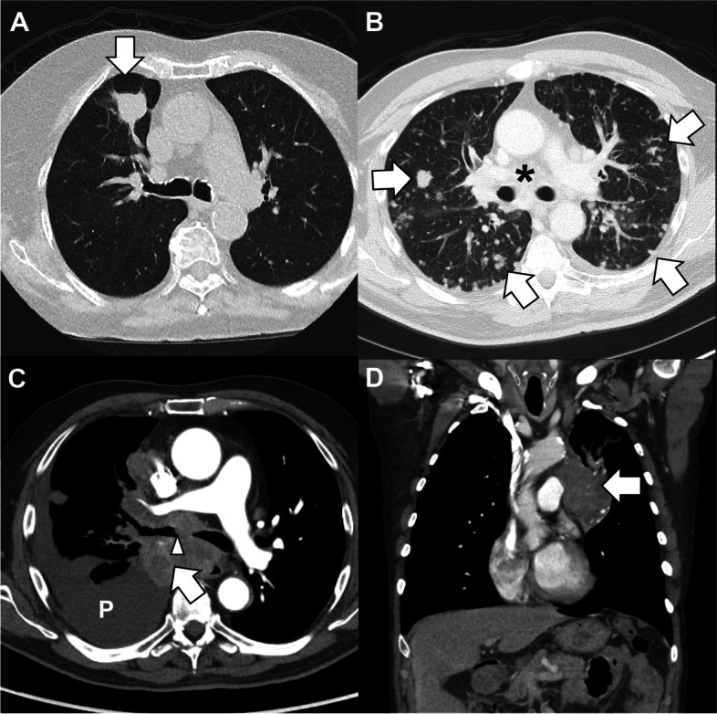
Findings: Lung cancer, encompassing 10-12% of cancer-related emergency department visits and a 66% admission rate, is the most fatal malignancy in both men and women. Most patients presenting to the ED have not seen a primary care provider or undergone screening. Ultimately, half of those with a new lung cancer diagnosis in the ED die within 1 year. Incidental findings on computed tomography are mostly benign, but emergency staff must be aware of the factors that make them high risk. Radiologic presentations range from asymptomatic nodules to diffuse metastatic lesions with predominately pulmonary symptoms, and some may present with extra-thoracic manifestations including neurologic. The short-term prognosis for ED lung cancer patients is worse than that of other malignancies. Screening offers new hope through earlier diagnosis but is underutilized which may be due to racial and socioeconomic disparities. New treatments provide optimism but lead to new complications, some long-term. Multidisciplinary care is essential, and emergency medicine is responsible for the disposition of patients to the appropriate specialists at inpatient and outpatient centers.

Conclusion: ED providers are intimately involved in all aspects of lung cancer care. Risk factor modification and referral for lung cancer screening are opportunities to further enhance patient care. In addition, with the advent of newer cancer therapies, ED providers must stay vigilant and up-to-date with all aspects of lung cancer including disparities, staging, symptoms of disease, prognosis, treatment, and therapy-related complications.

Abstract Image

Abstract Image

Abstract Image

急诊科的肺癌
背景:虽然肺癌在美国的发病率和死亡率都在下降,但它仍然是所有癌症中最致命的一种。对于大量患者来说,急诊科(ED)是肺癌预防、诊断和治疗的第一步。随着筛查建议和治疗方法的发展,急诊科医生必须了解最新的肺癌建议。本综述旨在确定急诊科医生与肺癌疾病谱的多种交叉方式,并提供有关检测、管理、并发症和跨学科护理的最新知识:肺癌占癌症相关急诊就诊人数的 10-12%,入院率为 66%,是男性和女性中最致命的恶性肿瘤。大多数来急诊科就诊的患者都没有看过初级保健医生或接受过筛查。最终,在急诊科确诊的新肺癌患者中有一半会在一年内死亡。计算机断层扫描的意外发现大多是良性的,但急诊人员必须意识到使其成为高风险的因素。放射学表现从无症状结节到以肺部症状为主的弥漫性转移病灶不等,有些患者可能伴有包括神经系统在内的胸腔外表现。与其他恶性肿瘤相比,ED 肺癌患者的短期预后较差。筛查为早期诊断带来了新的希望,但由于种族和社会经济方面的差异,筛查未得到充分利用。新的治疗方法带来了希望,但也导致了新的并发症,有些是长期并发症。多学科治疗至关重要,急诊医学负责将患者转至住院和门诊中心的相应专科:结论:急诊科医护人员密切参与肺癌治疗的方方面面。调整风险因素和转诊肺癌筛查是进一步加强患者护理的机会。此外,随着新型癌症疗法的出现,急诊科医生必须保持警惕,了解肺癌各方面的最新情况,包括差异、分期、疾病症状、预后、治疗和与治疗相关的并发症。
本文章由计算机程序翻译,如有差异,请以英文原文为准。
求助全文
约1分钟内获得全文 求助全文
来源期刊
自引率
0.00%
发文量
0
×
引用
GB/T 7714-2015
复制
MLA
复制
APA
复制
导出至
BibTeX EndNote RefMan NoteFirst NoteExpress
×
提示
您的信息不完整,为了账户安全,请先补充。
现在去补充
×
提示
您因"违规操作"
具体请查看互助需知
我知道了
×
提示
确定
请完成安全验证×
copy
已复制链接
快去分享给好友吧!
我知道了
右上角分享
点击右上角分享
0
联系我们:info@booksci.cn Book学术提供免费学术资源搜索服务,方便国内外学者检索中英文文献。致力于提供最便捷和优质的服务体验。 Copyright © 2023 布克学术 All rights reserved.
京ICP备2023020795号-1
ghs 京公网安备 11010802042870号
Book学术文献互助
Book学术文献互助群
群 号:604180095
Book学术官方微信