[Dysphagia Secondary to Vocal Cord Paralysis: A Case Report].

Oong Hee Shin, Joon Sung Kim, Byung-Wook Kim
{"title":"[Dysphagia Secondary to Vocal Cord Paralysis: A Case Report].","authors":"Oong Hee Shin, Joon Sung Kim, Byung-Wook Kim","doi":"10.7704/kjhugr.2023.0031","DOIUrl":null,"url":null,"abstract":"<p><p>A 51-year-old man with a 10-day history of acute-onset dysphagia presented with inability to swallow anything orally. The patient was unable to swallow any radiopaque contrast medium; therefore, a videofluoroscopic swallow study could not be performed. Brain imaging, neurological findings, and initial endoscopy findings were normal. Neck computed tomography suggested left vocal cord paralysis. The patient was diagnosed with diabetes one year prior to presentation but did not receive any treatment. Insulin therapy during hospitalization controlled the patient's blood glucose levels, and his symptoms improved without any sequelae. We present a rare case of vocal cord paralysis secondary to controlled diabetes. The initial endoscopic examination did not include thorough evaluation of the vocal cords; therefore, accurate diagnosis was challenging in this case.</p>","PeriodicalId":22895,"journal":{"name":"The Korean Journal of Helicobacter and Upper Gastrointestinal Research","volume":" ","pages":"214-217"},"PeriodicalIF":0.0000,"publicationDate":"2023-09-01","publicationTypes":"Journal Article","fieldsOfStudy":null,"isOpenAccess":false,"openAccessPdf":"https://www.ncbi.nlm.nih.gov/pmc/articles/PMC11967496/pdf/","citationCount":"0","resultStr":null,"platform":"Semanticscholar","paperid":null,"PeriodicalName":"The Korean Journal of Helicobacter and Upper Gastrointestinal Research","FirstCategoryId":"1085","ListUrlMain":"https://doi.org/10.7704/kjhugr.2023.0031","RegionNum":0,"RegionCategory":null,"ArticlePicture":[],"TitleCN":null,"AbstractTextCN":null,"PMCID":null,"EPubDate":"2023/9/8 0:00:00","PubModel":"Epub","JCR":"","JCRName":"","Score":null,"Total":0}
引用次数: 0

Abstract

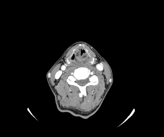
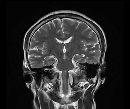
A 51-year-old man with a 10-day history of acute-onset dysphagia presented with inability to swallow anything orally. The patient was unable to swallow any radiopaque contrast medium; therefore, a videofluoroscopic swallow study could not be performed. Brain imaging, neurological findings, and initial endoscopy findings were normal. Neck computed tomography suggested left vocal cord paralysis. The patient was diagnosed with diabetes one year prior to presentation but did not receive any treatment. Insulin therapy during hospitalization controlled the patient's blood glucose levels, and his symptoms improved without any sequelae. We present a rare case of vocal cord paralysis secondary to controlled diabetes. The initial endoscopic examination did not include thorough evaluation of the vocal cords; therefore, accurate diagnosis was challenging in this case.

Abstract Image

Abstract Image

Abstract Image

声带麻痹继发吞咽困难1例报告
一名51岁男性,有10天急性发作吞咽困难病史,表现为无法口服任何东西。患者无法吞咽任何不透射线的造影剂;因此,无法进行视频透视吞咽研究。脑成像、神经系统检查结果和初步内窥镜检查结果均正常。颈部计算机断层扫描显示左声带麻痹。患者在就诊前一年被诊断为糖尿病,但未接受任何治疗。住院期间的胰岛素治疗控制了患者的血糖水平,症状得到改善,没有任何后遗症。我们报告了一例罕见的继发于控制性糖尿病的声带麻痹病例。最初的内窥镜检查不包括对声带的彻底评估;因此,在这种情况下,准确的诊断具有挑战性。
本文章由计算机程序翻译,如有差异,请以英文原文为准。
求助全文
约1分钟内获得全文 求助全文
来源期刊
自引率
0.00%
发文量
41
审稿时长
18 weeks
×
引用
GB/T 7714-2015
复制
MLA
复制
APA
复制
导出至
BibTeX EndNote RefMan NoteFirst NoteExpress
×
提示
您的信息不完整,为了账户安全,请先补充。
现在去补充
×
提示
您因"违规操作"
具体请查看互助需知
我知道了
×
提示
确定
请完成安全验证×
copy
已复制链接
快去分享给好友吧!
我知道了
右上角分享
点击右上角分享
0
联系我们:info@booksci.cn Book学术提供免费学术资源搜索服务,方便国内外学者检索中英文文献。致力于提供最便捷和优质的服务体验。 Copyright © 2023 布克学术 All rights reserved.
京ICP备2023020795号-1
ghs 京公网安备 11010802042870号
Book学术文献互助
Book学术文献互助群
群 号:604180095
Book学术官方微信