Cutaneous paraneoplastic presentation of colon cancer in a patient with history of ureterosigmoidostomy.

IF 1.3 4区 医学 Q4 UROLOGY & NEPHROLOGY
Current Urology Pub Date : 2024-12-01 Epub Date: 2024-12-20 DOI:10.1097/CU9.0000000000000045
Mike Swindle, Austin Fernstrum, Timmie Sharma, Kirtishri Mishra, Laura Bukavina, Megan Prunty, Donald Bodner
{"title":"Cutaneous paraneoplastic presentation of colon cancer in a patient with history of ureterosigmoidostomy.","authors":"Mike Swindle, Austin Fernstrum, Timmie Sharma, Kirtishri Mishra, Laura Bukavina, Megan Prunty, Donald Bodner","doi":"10.1097/CU9.0000000000000045","DOIUrl":null,"url":null,"abstract":"<p><p>Ureterosigmoidostomy was commonly utilized as a procedure for continent urinary diversion. However, ureterosigmoidostomy is associated with complications such as infection, electrolyte disturbances, and neoplasia development. A 40-year-old Caucasian male presented with acute left flank pain. Past medical history was significant for bladder exstrophy for which ureterosigmoidostomy urinary diversion was performed during childhood. On physical exam, multiple circular erythematous patches were scattered across the forearms that had been presented for 2 years. Cross-sectional imaging demonnttated an ill-defined mass at the site of ureteral implantation with associated severe left hydroureteronephrosis. Endoscopy revealed a mass at the site of ureteral implantation and biopsy demonstrated invasive, poorly differentiated adenocarcinoma. The dermatosis was diagnosed as interstitial granulomatous dermatitis, a rare inflammatory skin condition associated with underlying autoimmune disease or malignancy. Patient elected operative management with left nephrectomy, sigmoidectomy, and ileal conduit diversion. Ihis case demonnttates a rare presentation of cutaneous paraneoplastic syndrome after development of colon cancer after ureterosigmoidostomy. Ureterooolonic urinary diversion has a demonnttaaie risk of neoplasia development at the anastomotic site, requiring routine endoscopic surveillance.</p>","PeriodicalId":39147,"journal":{"name":"Current Urology","volume":" ","pages":"347-349"},"PeriodicalIF":1.3000,"publicationDate":"2024-12-01","publicationTypes":"Journal Article","fieldsOfStudy":null,"isOpenAccess":false,"openAccessPdf":"https://www.ncbi.nlm.nih.gov/pmc/articles/PMC12004953/pdf/","citationCount":"0","resultStr":null,"platform":"Semanticscholar","paperid":null,"PeriodicalName":"Current Urology","FirstCategoryId":"1085","ListUrlMain":"https://doi.org/10.1097/CU9.0000000000000045","RegionNum":4,"RegionCategory":"医学","ArticlePicture":[],"TitleCN":null,"AbstractTextCN":null,"PMCID":null,"EPubDate":"2024/12/20 0:00:00","PubModel":"Epub","JCR":"Q4","JCRName":"UROLOGY & NEPHROLOGY","Score":null,"Total":0}
引用次数: 0

Abstract

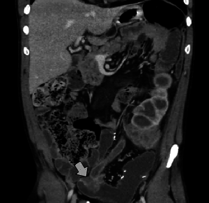
Ureterosigmoidostomy was commonly utilized as a procedure for continent urinary diversion. However, ureterosigmoidostomy is associated with complications such as infection, electrolyte disturbances, and neoplasia development. A 40-year-old Caucasian male presented with acute left flank pain. Past medical history was significant for bladder exstrophy for which ureterosigmoidostomy urinary diversion was performed during childhood. On physical exam, multiple circular erythematous patches were scattered across the forearms that had been presented for 2 years. Cross-sectional imaging demonnttated an ill-defined mass at the site of ureteral implantation with associated severe left hydroureteronephrosis. Endoscopy revealed a mass at the site of ureteral implantation and biopsy demonstrated invasive, poorly differentiated adenocarcinoma. The dermatosis was diagnosed as interstitial granulomatous dermatitis, a rare inflammatory skin condition associated with underlying autoimmune disease or malignancy. Patient elected operative management with left nephrectomy, sigmoidectomy, and ileal conduit diversion. Ihis case demonnttates a rare presentation of cutaneous paraneoplastic syndrome after development of colon cancer after ureterosigmoidostomy. Ureterooolonic urinary diversion has a demonnttaaie risk of neoplasia development at the anastomotic site, requiring routine endoscopic surveillance.

Abstract Image

Abstract Image

有输尿管乙状结肠造瘘史患者的皮肤副肿瘤表现
乙状结肠输尿管吻合术是一种常用的手术方法。然而,乙状结肠输尿管造口术与感染、电解质紊乱和肿瘤发展等并发症有关。一名40岁白人男性表现为急性左侧疼痛。既往病史对儿童时期乙状结肠输尿管成形术膀胱外翻有重要意义。体检时,多发圆形红斑斑散布于前臂,已出现2年。横断影像显示输尿管着床处有一个不清楚的肿块,并伴有严重的左侧输尿管积水。内镜检查显示输尿管着床处有肿块,活检显示浸润性低分化腺癌。该皮肤病被诊断为间质性肉芽肿性皮炎,这是一种罕见的炎症性皮肤病,与潜在的自身免疫性疾病或恶性肿瘤有关。患者选择左肾切除术、乙状结肠切除术和回肠导管转移术。本病例是一例罕见的乙状结肠输尿管成形术后结肠癌并发皮肤副肿瘤综合征的病例。输尿管-输卵管尿转移有明显的肿瘤发展风险,需要常规内镜监测。
本文章由计算机程序翻译,如有差异,请以英文原文为准。
求助全文
约1分钟内获得全文 求助全文
来源期刊
Current Urology
Current Urology Medicine-Urology
CiteScore
2.30
自引率
0.00%
发文量
96
×
引用
GB/T 7714-2015
复制
MLA
复制
APA
复制
导出至
BibTeX EndNote RefMan NoteFirst NoteExpress
×
提示
您的信息不完整,为了账户安全,请先补充。
现在去补充
×
提示
您因"违规操作"
具体请查看互助需知
我知道了
×
提示
确定
请完成安全验证×
copy
已复制链接
快去分享给好友吧!
我知道了
右上角分享
点击右上角分享
0
联系我们:info@booksci.cn Book学术提供免费学术资源搜索服务,方便国内外学者检索中英文文献。致力于提供最便捷和优质的服务体验。 Copyright © 2023 布克学术 All rights reserved.
京ICP备2023020795号-1
ghs 京公网安备 11010802042870号
Book学术文献互助
Book学术文献互助群
群 号:604180095
Book学术官方微信