Mesenteric misadventure: An unusual suprapubic catheter complication.

IF 1.3 4区 医学 Q4 UROLOGY & NEPHROLOGY
Current Urology Pub Date : 2025-01-01 Epub Date: 2022-03-03 DOI:10.1097/CU9.0000000000000095
Cecile T Pham, Patrick Lau, Jonathan Hew, Christos Apostolou, Amanda Chung
{"title":"Mesenteric misadventure: An unusual suprapubic catheter complication.","authors":"Cecile T Pham, Patrick Lau, Jonathan Hew, Christos Apostolou, Amanda Chung","doi":"10.1097/CU9.0000000000000095","DOIUrl":null,"url":null,"abstract":"<p><p>Although suprapubic cystotomy for catheter insertion is commonly performed, complications can be associated with serious morbidity. This case describes delayed recognition of a transperitoneal suprapubic catheter (SPC) traversing the small bowel mesentery and causing a closed loop obstruction of the caecum 7 years after SPC insertion. There are very few cases in the literature of SPC causing mesenteric perforation and to the best of our knowledge, this is the first reported case causing subsequent obstruction of the caecum and the longest delay of 7 years between SPC insertion and manifestation of bowel obstruction.</p>","PeriodicalId":39147,"journal":{"name":"Current Urology","volume":" ","pages":"70-72"},"PeriodicalIF":1.3000,"publicationDate":"2025-01-01","publicationTypes":"Journal Article","fieldsOfStudy":null,"isOpenAccess":false,"openAccessPdf":"https://www.ncbi.nlm.nih.gov/pmc/articles/PMC12042181/pdf/","citationCount":"0","resultStr":null,"platform":"Semanticscholar","paperid":null,"PeriodicalName":"Current Urology","FirstCategoryId":"1085","ListUrlMain":"https://doi.org/10.1097/CU9.0000000000000095","RegionNum":4,"RegionCategory":"医学","ArticlePicture":[],"TitleCN":null,"AbstractTextCN":null,"PMCID":null,"EPubDate":"2022/3/3 0:00:00","PubModel":"Epub","JCR":"Q4","JCRName":"UROLOGY & NEPHROLOGY","Score":null,"Total":0}
引用次数: 0

Abstract

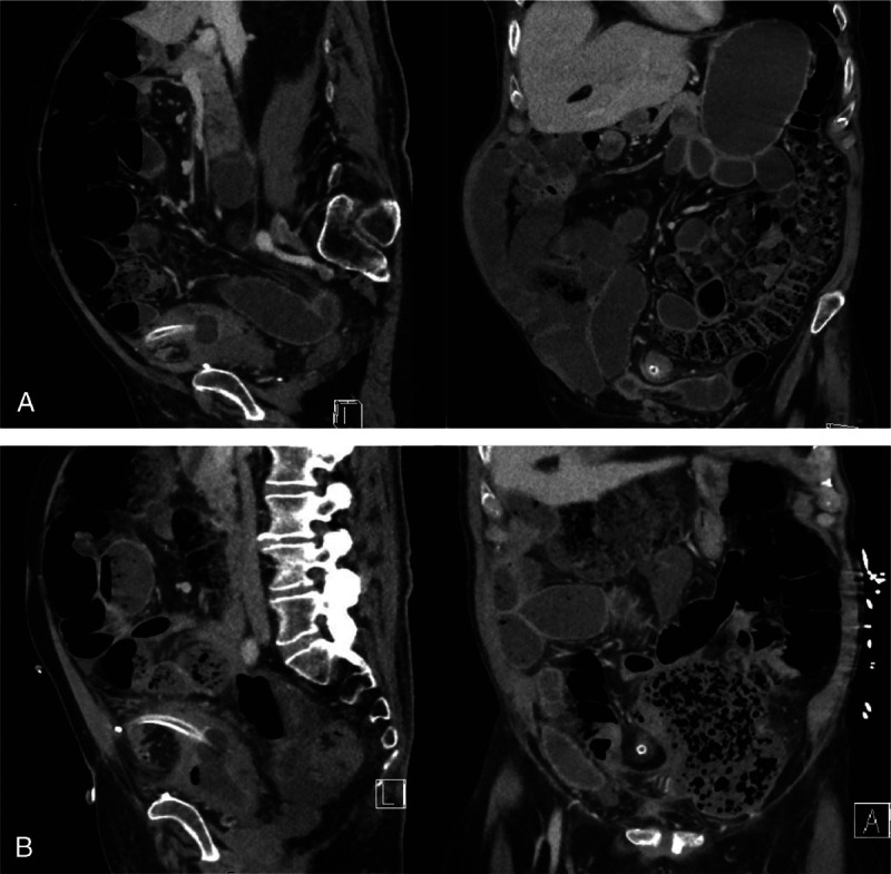
Although suprapubic cystotomy for catheter insertion is commonly performed, complications can be associated with serious morbidity. This case describes delayed recognition of a transperitoneal suprapubic catheter (SPC) traversing the small bowel mesentery and causing a closed loop obstruction of the caecum 7 years after SPC insertion. There are very few cases in the literature of SPC causing mesenteric perforation and to the best of our knowledge, this is the first reported case causing subsequent obstruction of the caecum and the longest delay of 7 years between SPC insertion and manifestation of bowel obstruction.

Abstract Image

Abstract Image

肠系膜意外事故
虽然耻骨上膀胱切开术通常用于置管,但并发症可能导致严重的发病率。本病例描述了对经腹膜耻骨上导管(SPC)穿过小肠肠系膜的延迟识别,并在SPC插入7年后导致盲肠闭环阻塞。文献中很少有SPC引起肠系膜穿孔的病例,据我们所知,这是第一例引起盲肠梗阻的报道,也是SPC插入到肠梗阻表现之间最长的7年延迟。
本文章由计算机程序翻译,如有差异,请以英文原文为准。
求助全文
约1分钟内获得全文 求助全文
来源期刊
Current Urology
Current Urology Medicine-Urology
CiteScore
2.30
自引率
0.00%
发文量
96
×
引用
GB/T 7714-2015
复制
MLA
复制
APA
复制
导出至
BibTeX EndNote RefMan NoteFirst NoteExpress
×
提示
您的信息不完整,为了账户安全,请先补充。
现在去补充
×
提示
您因"违规操作"
具体请查看互助需知
我知道了
×
提示
确定
请完成安全验证×
copy
已复制链接
快去分享给好友吧!
我知道了
右上角分享
点击右上角分享
0
联系我们:info@booksci.cn Book学术提供免费学术资源搜索服务,方便国内外学者检索中英文文献。致力于提供最便捷和优质的服务体验。 Copyright © 2023 布克学术 All rights reserved.
京ICP备2023020795号-1
ghs 京公网安备 11010802042870号
Book学术文献互助
Book学术文献互助群
群 号:604180095
Book学术官方微信