Bilateral distal femoral epiphyseal detachment in a young adult: a case report.

IF 0.2
Journal of Trauma and Injury Pub Date : 2023-12-01 Epub Date: 2023-08-25 DOI:10.20408/jti.2023.0011
Armand Yepie, Moctar Traore, Mensah Yaovi, Michel Anoumou
{"title":"Bilateral distal femoral epiphyseal detachment in a young adult: a case report.","authors":"Armand Yepie, Moctar Traore, Mensah Yaovi, Michel Anoumou","doi":"10.20408/jti.2023.0011","DOIUrl":null,"url":null,"abstract":"<p><p>Epiphyseal dislocations and fractures frequently occur in children and adolescents. However, these injuries seldom involve the distal femur, and bilateral cases are even rarer. We present an unusual case of bilateral epiphyseal detachment of the femur in a 21-year-old man who was involved in a traffic accident. Open reduction and fixation surgery were performed 5 days after the incident. The patient experienced favorable progress, with consolidation occurring at 3 months. No lower limb length discrepancies were observed at the 20-month follow-up. In summary, bilateral distal femoral epiphyseal detachment is an uncommon condition that can be effectively treated through surgical intervention.</p>","PeriodicalId":52698,"journal":{"name":"Journal of Trauma and Injury","volume":" ","pages":"458-461"},"PeriodicalIF":0.2000,"publicationDate":"2023-12-01","publicationTypes":"Journal Article","fieldsOfStudy":null,"isOpenAccess":false,"openAccessPdf":"https://www.ncbi.nlm.nih.gov/pmc/articles/PMC11309245/pdf/","citationCount":"0","resultStr":null,"platform":"Semanticscholar","paperid":null,"PeriodicalName":"Journal of Trauma and Injury","FirstCategoryId":"1085","ListUrlMain":"https://doi.org/10.20408/jti.2023.0011","RegionNum":0,"RegionCategory":null,"ArticlePicture":[],"TitleCN":null,"AbstractTextCN":null,"PMCID":null,"EPubDate":"2023/8/25 0:00:00","PubModel":"Epub","JCR":"","JCRName":"","Score":null,"Total":0}
引用次数: 0

Abstract

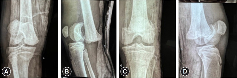
Epiphyseal dislocations and fractures frequently occur in children and adolescents. However, these injuries seldom involve the distal femur, and bilateral cases are even rarer. We present an unusual case of bilateral epiphyseal detachment of the femur in a 21-year-old man who was involved in a traffic accident. Open reduction and fixation surgery were performed 5 days after the incident. The patient experienced favorable progress, with consolidation occurring at 3 months. No lower limb length discrepancies were observed at the 20-month follow-up. In summary, bilateral distal femoral epiphyseal detachment is an uncommon condition that can be effectively treated through surgical intervention.

Abstract Image

Abstract Image

Abstract Image

青年人双侧股骨远端骨骺脱离1例
儿童和青少年经常发生骨骺脱位和骨折。然而,这些损伤很少涉及股骨远端,双侧病例更为罕见。我们报告了一例不寻常的双侧股骨骨骺分离病例,该病例发生在一名21岁的交通事故中。事件发生后5天进行了切开复位和固定手术。患者进展良好,3个月时出现巩固。在20个月的随访中未观察到下肢长度差异。总之,双侧股骨远端骨骺脱离是一种罕见的情况,可以通过手术干预进行有效治疗。
本文章由计算机程序翻译,如有差异,请以英文原文为准。
求助全文
约1分钟内获得全文 求助全文
来源期刊
自引率
0.00%
发文量
58
审稿时长
11 weeks
×
引用
GB/T 7714-2015
复制
MLA
复制
APA
复制
导出至
BibTeX EndNote RefMan NoteFirst NoteExpress
×
提示
您的信息不完整,为了账户安全,请先补充。
现在去补充
×
提示
您因"违规操作"
具体请查看互助需知
我知道了
×
提示
确定
请完成安全验证×
copy
已复制链接
快去分享给好友吧!
我知道了
右上角分享
点击右上角分享
0
联系我们:info@booksci.cn Book学术提供免费学术资源搜索服务,方便国内外学者检索中英文文献。致力于提供最便捷和优质的服务体验。 Copyright © 2023 布克学术 All rights reserved.
京ICP备2023020795号-1
ghs 京公网安备 11010802042870号
Book学术文献互助
Book学术文献互助群
群 号:604180095
Book学术官方微信