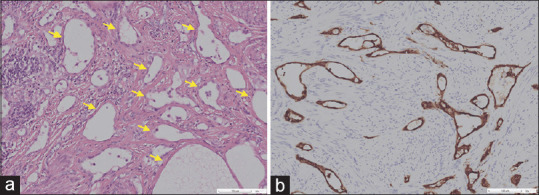
Uterine Adenomatoid Tumor: A Great Imitator of Leiomyoma under Laparoscopy.

IF 1.7 Q3 OBSTETRICS & GYNECOLOGY
Gynecology and Minimally Invasive Therapy-GMIT Pub Date : 2023-09-07 eCollection Date: 2023-10-01 DOI:10.4103/gmit.gmit_70_23
Shin-Yi Chen, Chi-Ju Yeh, Angel Hsin-Yu Pai, Kit-Sum Mak, Hsin-Hong Kuo, Chih-Feng Yen
{"title":"Uterine Adenomatoid Tumor: A Great Imitator of Leiomyoma under Laparoscopy.","authors":"Shin-Yi Chen, Chi-Ju Yeh, Angel Hsin-Yu Pai, Kit-Sum Mak, Hsin-Hong Kuo, Chih-Feng Yen","doi":"10.4103/gmit.gmit_70_23","DOIUrl":null,"url":null,"abstract":"","PeriodicalId":45272,"journal":{"name":"Gynecology and Minimally Invasive Therapy-GMIT","volume":"12 1","pages":"255-256"},"PeriodicalIF":1.7000,"publicationDate":"2023-09-07","publicationTypes":"Journal Article","fieldsOfStudy":null,"isOpenAccess":false,"openAccessPdf":"https://www.ncbi.nlm.nih.gov/pmc/articles/PMC10683961/pdf/","citationCount":"0","resultStr":null,"platform":"Semanticscholar","paperid":null,"PeriodicalName":"Gynecology and Minimally Invasive Therapy-GMIT","FirstCategoryId":"1085","ListUrlMain":"https://doi.org/10.4103/gmit.gmit_70_23","RegionNum":0,"RegionCategory":null,"ArticlePicture":[],"TitleCN":null,"AbstractTextCN":null,"PMCID":null,"EPubDate":"2023/10/1 0:00:00","PubModel":"eCollection","JCR":"Q3","JCRName":"OBSTETRICS & GYNECOLOGY","Score":null,"Total":0}
引用次数: 0

Abstract Image

Abstract Image

Abstract Image

子宫腺瘤样肿瘤:腹腔镜下平滑肌瘤的巨大模仿者
本文章由计算机程序翻译,如有差异,请以英文原文为准。
求助全文
约1分钟内获得全文 求助全文
来源期刊
CiteScore
2.00
自引率
16.70%
发文量
98
审稿时长
52 weeks
×
引用
GB/T 7714-2015
复制
MLA
复制
APA
复制
导出至
BibTeX EndNote RefMan NoteFirst NoteExpress
×
提示
您的信息不完整,为了账户安全,请先补充。
现在去补充
×
提示
您因"违规操作"
具体请查看互助需知
我知道了
×
提示
确定
请完成安全验证×
copy
已复制链接
快去分享给好友吧!
我知道了
右上角分享
点击右上角分享
0
联系我们:info@booksci.cn Book学术提供免费学术资源搜索服务,方便国内外学者检索中英文文献。致力于提供最便捷和优质的服务体验。 Copyright © 2023 布克学术 All rights reserved.
京ICP备2023020795号-1
ghs 京公网安备 11010802042870号
Book学术文献互助
Book学术文献互助群
群 号:604180095
Book学术官方微信