Viral Inactivation and Biocompatibility Study of Electrically Activated Water Mist.

Microbiology insights Pub Date : 2022-05-13 eCollection Date: 2022-01-01 DOI:10.1177/11786361221096651
Devendra Nath Tewari, Sanjoy Biswas, Alok Kumar Chakrabarti, Shanta Dutta
{"title":"Viral Inactivation and Biocompatibility Study of Electrically Activated Water Mist.","authors":"Devendra Nath Tewari, Sanjoy Biswas, Alok Kumar Chakrabarti, Shanta Dutta","doi":"10.1177/11786361221096651","DOIUrl":null,"url":null,"abstract":"<p><p>In addition to the ongoing global problem of healthcare-acquired infections, the COVID-19 pandemic continues to pose a serious threat to the health of the global population. This unprecedented pandemic situation has reinforced the need for the development of technologies that can curb the transmission of viruses among human beings and help to control the infection. Existing disinfection techniques using either ultraviolet light or harsh chemicals pose safety risks and are not suitable for use in the presence of humans. Thus, the need for a safe and effective disinfection technique that can be used in the presence of humans to control viral transmission is evident. A technique that can continuously disinfect air and surfaces in indoor environments, where the chances of viral transmission are high, can be an indispensable tool to fight such a pandemic. The Airlens Minus Corona (AMC) device provided by Persapien Innovations has been developed to achieve this goal. In this study, the antiviral functionality and biocompatibility of AMC were evaluated. Activated water mist (AWM) generated from this device was tested in vitro and in vivo for its toxicity to cell lines and in animal model. The AWM was found to be non-cytotoxic to L-929 cell lines and had no sign of clinical toxicity in an animal model (rabbit). This device was further used to inactivate animal viruses and bacteriophages. The AWM was found to be effective in the complete inactivation of influenza A H1N1 virus within 5 minutes of direct treatment. This device was also found to be effective in inactivating >90% of bacteriophage particles.</p>","PeriodicalId":74187,"journal":{"name":"Microbiology insights","volume":" ","pages":"11786361221096651"},"PeriodicalIF":0.0000,"publicationDate":"2022-05-13","publicationTypes":"Journal Article","fieldsOfStudy":null,"isOpenAccess":false,"openAccessPdf":"https://www.ncbi.nlm.nih.gov/pmc/articles/PMC9112322/pdf/","citationCount":"0","resultStr":null,"platform":"Semanticscholar","paperid":null,"PeriodicalName":"Microbiology insights","FirstCategoryId":"1085","ListUrlMain":"https://doi.org/10.1177/11786361221096651","RegionNum":0,"RegionCategory":null,"ArticlePicture":[],"TitleCN":null,"AbstractTextCN":null,"PMCID":null,"EPubDate":"2022/1/1 0:00:00","PubModel":"eCollection","JCR":"","JCRName":"","Score":null,"Total":0}
引用次数: 0

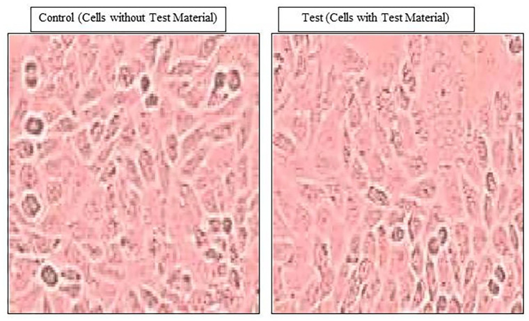
Abstract

In addition to the ongoing global problem of healthcare-acquired infections, the COVID-19 pandemic continues to pose a serious threat to the health of the global population. This unprecedented pandemic situation has reinforced the need for the development of technologies that can curb the transmission of viruses among human beings and help to control the infection. Existing disinfection techniques using either ultraviolet light or harsh chemicals pose safety risks and are not suitable for use in the presence of humans. Thus, the need for a safe and effective disinfection technique that can be used in the presence of humans to control viral transmission is evident. A technique that can continuously disinfect air and surfaces in indoor environments, where the chances of viral transmission are high, can be an indispensable tool to fight such a pandemic. The Airlens Minus Corona (AMC) device provided by Persapien Innovations has been developed to achieve this goal. In this study, the antiviral functionality and biocompatibility of AMC were evaluated. Activated water mist (AWM) generated from this device was tested in vitro and in vivo for its toxicity to cell lines and in animal model. The AWM was found to be non-cytotoxic to L-929 cell lines and had no sign of clinical toxicity in an animal model (rabbit). This device was further used to inactivate animal viruses and bacteriophages. The AWM was found to be effective in the complete inactivation of influenza A H1N1 virus within 5 minutes of direct treatment. This device was also found to be effective in inactivating >90% of bacteriophage particles.

Abstract Image

Abstract Image

Abstract Image

电活化水雾的病毒灭活及生物相容性研究
除了持续存在的全球卫生保健获得性感染问题外,2019冠状病毒病大流行继续对全球人口的健康构成严重威胁。这一前所未有的大流行病局势加强了开发能够遏制病毒在人类之间传播并有助于控制感染的技术的必要性。现有的使用紫外线或刺激性化学品的消毒技术存在安全风险,不适合在人类在场的情况下使用。因此,显然需要一种安全有效的消毒技术,可以在人类在场的情况下使用,以控制病毒传播。一种可以持续消毒室内环境空气和表面的技术,在室内环境中病毒传播的可能性很高,可以成为对抗这种大流行的不可或缺的工具。Persapien Innovations提供的Airlens Minus Corona (AMC)设备就是为了实现这一目标而开发的。本研究对AMC的抗病毒功能和生物相容性进行了评价。利用该装置制备的活性水雾(AWM)在体外、体内和动物模型上进行了对细胞系的毒性试验。在动物模型(兔)中发现AWM对L-929细胞系无细胞毒性,且无临床毒性迹象。该装置还被进一步用于灭活动物病毒和噬菌体。发现AWM在直接治疗的5分钟内完全灭活甲型H1N1流感病毒是有效的。该装置还被发现能有效地灭活90%的噬菌体颗粒。
本文章由计算机程序翻译,如有差异,请以英文原文为准。
求助全文
约1分钟内获得全文 求助全文
来源期刊
自引率
0.00%
发文量
0
审稿时长
8 weeks
×
引用
GB/T 7714-2015
复制
MLA
复制
APA
复制
导出至
BibTeX EndNote RefMan NoteFirst NoteExpress
×
提示
您的信息不完整,为了账户安全,请先补充。
现在去补充
×
提示
您因"违规操作"
具体请查看互助需知
我知道了
×
提示
确定
请完成安全验证×
copy
已复制链接
快去分享给好友吧!
我知道了
右上角分享
点击右上角分享
0
联系我们:info@booksci.cn Book学术提供免费学术资源搜索服务,方便国内外学者检索中英文文献。致力于提供最便捷和优质的服务体验。 Copyright © 2023 布克学术 All rights reserved.
京ICP备2023020795号-1
ghs 京公网安备 11010802042870号
Book学术文献互助
Book学术文献互助群
群 号:604180095
Book学术官方微信