Analysis of Hemodynamic Changes After Medial Patellofemoral Ligament Reconstruction.

Sports medicine international open Pub Date : 2022-04-04 eCollection Date: 2022-01-01 DOI:10.1055/a-1807-8549
Hiroaki Inoue, Yuji Arai, Shuji Nakagawa, Yuta Fujii, Kenta Kaihara, Kenji Takahashi
{"title":"Analysis of Hemodynamic Changes After Medial Patellofemoral Ligament Reconstruction.","authors":"Hiroaki Inoue, Yuji Arai, Shuji Nakagawa, Yuta Fujii, Kenta Kaihara, Kenji Takahashi","doi":"10.1055/a-1807-8549","DOIUrl":null,"url":null,"abstract":"<p><p>The resumption of blood flow is an important factor in the remodeling process of the graft. The purpose of this study is to evaluate hemodynamic changes after medial patellofemoral ligament (MPFL) reconstruction using magnetic resonance angiography (MRA) as the evaluation of graft remodeling. Eleven knees that underwent anatomical MPFL reconstruction with the semitendinosus tendon were studied. We evaluated the blood flow around the bone tunnel wall in the arterial phase using MRA approximate 3 months and 1 year after surgery. Clinical and radiological evaluations were also analyzed. MRA showed an inflow vessel into the bone tunnel wall from the medial superior genicular artery on the femoral side, and from the articular branch of the descending genicular artery and the medial superior genicular artery on the patellar side. This contrast effect was decreased at 12 months after surgery in all cases. The clinical scores improved from baseline one year postoperatively. We revealed the blood flow to the bone tunnel wall after anatomical MPFL reconstruction is detected by MRA. The blood flow started within 2 or 3 months postoperatively and was sustained for 12 months. This study supported remodeling of the graft continues 3 months after surgery when the conformity of the patellofemoral joint stabilizes.</p>","PeriodicalId":74857,"journal":{"name":"Sports medicine international open","volume":"6 1","pages":"E25-E31"},"PeriodicalIF":0.0000,"publicationDate":"2022-04-04","publicationTypes":"Journal Article","fieldsOfStudy":null,"isOpenAccess":false,"openAccessPdf":"https://www.ncbi.nlm.nih.gov/pmc/articles/PMC9054922/pdf/","citationCount":"0","resultStr":null,"platform":"Semanticscholar","paperid":null,"PeriodicalName":"Sports medicine international open","FirstCategoryId":"1085","ListUrlMain":"https://doi.org/10.1055/a-1807-8549","RegionNum":0,"RegionCategory":null,"ArticlePicture":[],"TitleCN":null,"AbstractTextCN":null,"PMCID":null,"EPubDate":"2022/1/1 0:00:00","PubModel":"eCollection","JCR":"","JCRName":"","Score":null,"Total":0}
引用次数: 0

Abstract

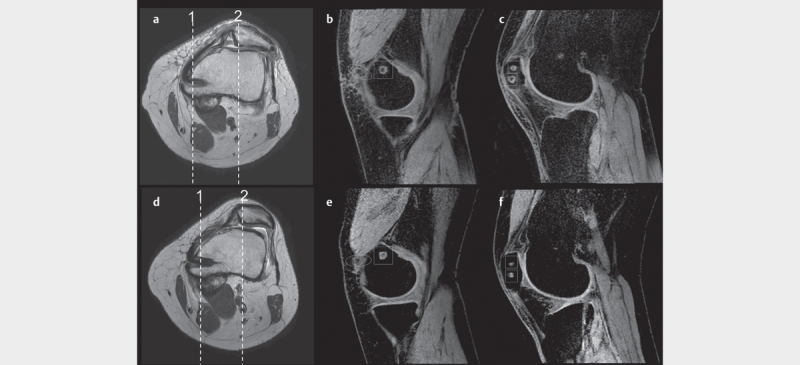
The resumption of blood flow is an important factor in the remodeling process of the graft. The purpose of this study is to evaluate hemodynamic changes after medial patellofemoral ligament (MPFL) reconstruction using magnetic resonance angiography (MRA) as the evaluation of graft remodeling. Eleven knees that underwent anatomical MPFL reconstruction with the semitendinosus tendon were studied. We evaluated the blood flow around the bone tunnel wall in the arterial phase using MRA approximate 3 months and 1 year after surgery. Clinical and radiological evaluations were also analyzed. MRA showed an inflow vessel into the bone tunnel wall from the medial superior genicular artery on the femoral side, and from the articular branch of the descending genicular artery and the medial superior genicular artery on the patellar side. This contrast effect was decreased at 12 months after surgery in all cases. The clinical scores improved from baseline one year postoperatively. We revealed the blood flow to the bone tunnel wall after anatomical MPFL reconstruction is detected by MRA. The blood flow started within 2 or 3 months postoperatively and was sustained for 12 months. This study supported remodeling of the graft continues 3 months after surgery when the conformity of the patellofemoral joint stabilizes.

Abstract Image

Abstract Image

Abstract Image

髌股内侧韧带重建术后血液动力学变化分析
血液流动的恢复是移植物重建过程中的一个重要因素。本研究的目的是使用磁共振血管造影术(MRA)评估髌股内侧韧带(MPFL)重建后的血液动力学变化,以评估移植物重建。对11个应用半腱肌腱进行解剖MPFL重建的膝关节进行了研究。我们在手术后约3个月和1年使用MRA评估了动脉期骨隧道壁周围的血流。还分析了临床和放射学评估。MRA显示有一条流入血管从股骨侧的膝上内侧动脉进入骨隧道壁,从髌骨侧的膝下动脉和膝上内侧血管的关节支进入骨隧道。在所有病例中,这种对比效果在手术后12个月时都有所下降。术后一年临床评分较基线有所改善。通过MRA检测解剖MPFL重建后骨隧道壁的血流。血流在术后2或3个月内开始,并持续了12个月。本研究支持在手术后3个月,当髌股关节的顺应性稳定时,移植物的重建继续进行。
本文章由计算机程序翻译,如有差异,请以英文原文为准。
求助全文
约1分钟内获得全文 求助全文
来源期刊
自引率
0.00%
发文量
0
审稿时长
12 weeks
×
引用
GB/T 7714-2015
复制
MLA
复制
APA
复制
导出至
BibTeX EndNote RefMan NoteFirst NoteExpress
×
提示
您的信息不完整,为了账户安全,请先补充。
现在去补充
×
提示
您因"违规操作"
具体请查看互助需知
我知道了
×
提示
确定
请完成安全验证×
copy
已复制链接
快去分享给好友吧!
我知道了
右上角分享
点击右上角分享
0
联系我们:info@booksci.cn Book学术提供免费学术资源搜索服务,方便国内外学者检索中英文文献。致力于提供最便捷和优质的服务体验。 Copyright © 2023 布克学术 All rights reserved.
京ICP备2023020795号-1
ghs 京公网安备 11010802042870号
Book学术文献互助
Book学术文献互助群
群 号:604180095
Book学术官方微信