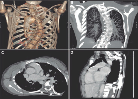
[Implantation of a pulmonary bioprosthetic valve in a single pulmonary artery].

IF 1.1 Q3 CARDIAC & CARDIOVASCULAR SYSTEMS
REC Interventional Cardiology Pub Date : 2023-09-04 eCollection Date: 2024-01-01 DOI:10.24875/RECIC.M23000409
Luis Fernández González, Roberto Blanco Mata, Koldobika García San Román, Juan Carlos Astorga Burgo, Aída Acín Labarta, Josune Arriola Meabe
{"title":"[Implantation of a pulmonary bioprosthetic valve in a single pulmonary artery].","authors":"Luis Fernández González, Roberto Blanco Mata, Koldobika García San Román, Juan Carlos Astorga Burgo, Aída Acín Labarta, Josune Arriola Meabe","doi":"10.24875/RECIC.M23000409","DOIUrl":null,"url":null,"abstract":"","PeriodicalId":34295,"journal":{"name":"REC Interventional Cardiology","volume":" ","pages":"57-58"},"PeriodicalIF":1.1000,"publicationDate":"2023-09-04","publicationTypes":"Journal Article","fieldsOfStudy":null,"isOpenAccess":false,"openAccessPdf":"https://www.ncbi.nlm.nih.gov/pmc/articles/PMC12097303/pdf/","citationCount":"0","resultStr":null,"platform":"Semanticscholar","paperid":null,"PeriodicalName":"REC Interventional Cardiology","FirstCategoryId":"1085","ListUrlMain":"https://doi.org/10.24875/RECIC.M23000409","RegionNum":0,"RegionCategory":null,"ArticlePicture":[],"TitleCN":null,"AbstractTextCN":null,"PMCID":null,"EPubDate":"2024/1/1 0:00:00","PubModel":"eCollection","JCR":"Q3","JCRName":"CARDIAC & CARDIOVASCULAR SYSTEMS","Score":null,"Total":0}
引用次数: 0

Abstract Image

Abstract Image

Abstract Image

求助全文
约1分钟内获得全文 求助全文
来源期刊
REC Interventional Cardiology
REC Interventional Cardiology Medicine-Cardiology and Cardiovascular Medicine
CiteScore
3.10
自引率
28.60%
发文量
87
审稿时长
15 weeks
×
引用
GB/T 7714-2015
复制
MLA
复制
APA
复制
导出至
BibTeX EndNote RefMan NoteFirst NoteExpress
×
提示
您的信息不完整,为了账户安全,请先补充。
现在去补充
×
提示
您因"违规操作"
具体请查看互助需知
我知道了
×
提示
确定
请完成安全验证×
copy
已复制链接
快去分享给好友吧!
我知道了
右上角分享
点击右上角分享
0
联系我们:info@booksci.cn Book学术提供免费学术资源搜索服务,方便国内外学者检索中英文文献。致力于提供最便捷和优质的服务体验。 Copyright © 2023 布克学术 All rights reserved.
京ICP备2023020795号-1
ghs 京公网安备 11010802042870号
Book学术文献互助
Book学术文献互助群
群 号:604180095
Book学术官方微信