Preoperative H. pylori Eradication Therapy Facilitates Precise Delineation in Early Gastric Cancer with Current H. pylori Infection.

IF 2.1 4区 医学 Q3 GASTROENTEROLOGY & HEPATOLOGY
Digestive Diseases Pub Date : 2024-01-01 Epub Date: 2023-10-13 DOI:10.1159/000534332
Zhiyu Yan, Long Zou, Qiang Wang, Shengyu Zhang, Yuhao Jiao, Dingkun Xiong, Qingwei Jiang, Tao Guo, Yunlu Feng, Dongsheng Wu, Yamin Lai, Xuemin Yan, Tao Xu, Weigang Fang, Xi Wu, Weixun Zhou, Aiming Yang
{"title":"Preoperative H. pylori Eradication Therapy Facilitates Precise Delineation in Early Gastric Cancer with Current H. pylori Infection.","authors":"Zhiyu Yan, Long Zou, Qiang Wang, Shengyu Zhang, Yuhao Jiao, Dingkun Xiong, Qingwei Jiang, Tao Guo, Yunlu Feng, Dongsheng Wu, Yamin Lai, Xuemin Yan, Tao Xu, Weigang Fang, Xi Wu, Weixun Zhou, Aiming Yang","doi":"10.1159/000534332","DOIUrl":null,"url":null,"abstract":"<p><strong>Introduction: </strong>Early gastric cancer with current Helicobacter pylori infection (HpC-EGC) is common, but it is still unclear whether H. pylori eradication therapy (Hp-ET) or endoscopic submucosal dissection (ESD) should be performed first. We evaluated Hp-ETs short-term effects on horizontal boundary delineations of HpC-EGC in ESD.</p><p><strong>Methods: </strong>Prospectively enrolled HpC-EGC patients were randomly assigned to eradication or control groups. Operation scopes of HpC-EGC lesions were delineated with marking dots at 5 mm out of the endoscopic demarcation line by an independent endoscopist, unaware of eradication status, before formal circumferential incision. As representatives, precise delineation rate, the shortest distance of all marking dots to the pathological demarcation line in all slices of one intact resected specimen (Dmin), and negative marking dot specimen rate were examined.</p><p><strong>Results: </strong>Twenty-three HpC-EGC patients (25 lesions) were allocated to eradication group and 26 patients (27 lesions) were allocated to the control group with similar eradication success rates and all were differentiated type. With improving background mucosa inflammation after Hp-ET and similar gastritis-like epithelium rates, 10 lesions (40.0%) in the eradication group were of precise delineation compared to control group with 2 lesions (7.4%) (relative risk = 5.40, 95% CI 1.31-22.28). Dmin of eradication and control groups were 4.17 ± 2.52 mm and 2.67 ± 2.30 mm (p = 0.029), accompanied by 4 (14.8%) and none (0.0%) specimens that exhibited positive marking dots (p = 0.11), respectively.</p><p><strong>Conclusion: </strong>For HpC-EGC patients, administrating eradication medication before ESD is beneficial for the precise delineation of lesions and reducing the risk of positive horizontal resection margins.</p>","PeriodicalId":11294,"journal":{"name":"Digestive Diseases","volume":" ","pages":"1-11"},"PeriodicalIF":2.1000,"publicationDate":"2024-01-01","publicationTypes":"Journal Article","fieldsOfStudy":null,"isOpenAccess":false,"openAccessPdf":"https://www.ncbi.nlm.nih.gov/pmc/articles/PMC10836745/pdf/","citationCount":"0","resultStr":null,"platform":"Semanticscholar","paperid":null,"PeriodicalName":"Digestive Diseases","FirstCategoryId":"3","ListUrlMain":"https://doi.org/10.1159/000534332","RegionNum":4,"RegionCategory":"医学","ArticlePicture":[],"TitleCN":null,"AbstractTextCN":null,"PMCID":null,"EPubDate":"2023/10/13 0:00:00","PubModel":"Epub","JCR":"Q3","JCRName":"GASTROENTEROLOGY & HEPATOLOGY","Score":null,"Total":0}
引用次数: 0

Abstract

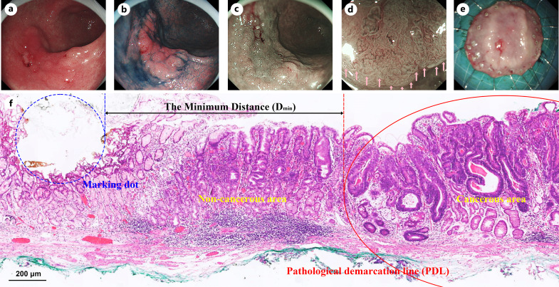
Introduction: Early gastric cancer with current Helicobacter pylori infection (HpC-EGC) is common, but it is still unclear whether H. pylori eradication therapy (Hp-ET) or endoscopic submucosal dissection (ESD) should be performed first. We evaluated Hp-ETs short-term effects on horizontal boundary delineations of HpC-EGC in ESD.

Methods: Prospectively enrolled HpC-EGC patients were randomly assigned to eradication or control groups. Operation scopes of HpC-EGC lesions were delineated with marking dots at 5 mm out of the endoscopic demarcation line by an independent endoscopist, unaware of eradication status, before formal circumferential incision. As representatives, precise delineation rate, the shortest distance of all marking dots to the pathological demarcation line in all slices of one intact resected specimen (Dmin), and negative marking dot specimen rate were examined.

Results: Twenty-three HpC-EGC patients (25 lesions) were allocated to eradication group and 26 patients (27 lesions) were allocated to the control group with similar eradication success rates and all were differentiated type. With improving background mucosa inflammation after Hp-ET and similar gastritis-like epithelium rates, 10 lesions (40.0%) in the eradication group were of precise delineation compared to control group with 2 lesions (7.4%) (relative risk = 5.40, 95% CI 1.31-22.28). Dmin of eradication and control groups were 4.17 ± 2.52 mm and 2.67 ± 2.30 mm (p = 0.029), accompanied by 4 (14.8%) and none (0.0%) specimens that exhibited positive marking dots (p = 0.11), respectively.

Conclusion: For HpC-EGC patients, administrating eradication medication before ESD is beneficial for the precise delineation of lesions and reducing the risk of positive horizontal resection margins.

Abstract Image

Abstract Image

Abstract Image

术前幽门螺杆菌根除治疗有助于精确描绘早期癌症与当前幽门螺杆菌感染的关系。
【简介】早期癌症合并幽门螺杆菌感染(HpC-EGC)是常见的,但尚不清楚是否应首先进行幽门螺杆菌根除治疗(Hp-ET)或内镜黏膜下剥离(ESD)。我们评估了Hp-ET对ESD中Hp-C-EGC水平边界划定的短期影响。[方法]前瞻性入选的HpC-EGC患者随机分为根除组或对照组。HpC-EGC病变的手术范围由一名不知道根除状态的独立内镜医生在内镜分界线外5 mm处用标记点划定,然后再进行正式的圆周切口。作为代表,检测了一个完整切除标本的所有切片中精确描绘率、所有标记点到病理分界线的最短距离(Dmin)和阴性标记点标本率。[结果]23例HpC-EGC患者(25个病灶)分为根除组,26例(27个病灶)为对照组,根除成功率相近,均为分化型。根除组10个病变(40.0%)与对照组2个病变(7.4%)(RR=5.40,95%CI 1.31-22.28)相比,Hp ET后背景粘膜炎症和类似胃炎样上皮发生率得到改善。根除组和对照组的Dmin分别为4.17±2.52mm和2.67±2.30mm(p=0.029),同时分别有4个(14.8%)和无一个(0.0%)标本表现出阳性标记点(p=0.11)。【结论】对于HpC-EGC患者,在ESD前给予根除药物有利于精确描绘病变,降低水平切缘阳性的风险。
本文章由计算机程序翻译,如有差异,请以英文原文为准。
求助全文
约1分钟内获得全文 求助全文
来源期刊
Digestive Diseases
Digestive Diseases 医学-胃肠肝病学
CiteScore
4.80
自引率
0.00%
发文量
58
审稿时长
2 months
期刊介绍: Each issue of this journal is dedicated to a special topic of current interest, covering both clinical and basic science topics in gastrointestinal function and disorders. The contents of each issue are comprehensive and reflect the state of the art, featuring editorials, reviews, mini reviews and original papers. These individual contributions encompass a variety of disciplines including all fields of gastroenterology. ''Digestive Diseases'' bridges the communication gap between advances made in the academic setting and their application in patient care. The journal is a valuable service for clinicians, specialists and physicians-in-training.
×
引用
GB/T 7714-2015
复制
MLA
复制
APA
复制
导出至
BibTeX EndNote RefMan NoteFirst NoteExpress
×
提示
您的信息不完整,为了账户安全,请先补充。
现在去补充
×
提示
您因"违规操作"
具体请查看互助需知
我知道了
×
提示
确定
请完成安全验证×
copy
已复制链接
快去分享给好友吧!
我知道了
右上角分享
点击右上角分享
0
联系我们:info@booksci.cn Book学术提供免费学术资源搜索服务,方便国内外学者检索中英文文献。致力于提供最便捷和优质的服务体验。 Copyright © 2023 布克学术 All rights reserved.
京ICP备2023020795号-1
ghs 京公网安备 11010802042870号
Book学术文献互助
Book学术文献互助群
群 号:604180095
Book学术官方微信