Age-Dependent Effects of Transgenic 2D2 Mice Used to Induce Passive Experimental Autoimmune Encephalomyelitis in C57BL/6 Mice.

IF 2.4 4区 医学 Q3 ENDOCRINOLOGY & METABOLISM
Neuroimmunomodulation Pub Date : 2023-01-01 Epub Date: 2023-10-12 DOI:10.1159/000534351
James M Nichols, Barbara L F Kaplan
{"title":"Age-Dependent Effects of Transgenic 2D2 Mice Used to Induce Passive Experimental Autoimmune Encephalomyelitis in C57BL/6 Mice.","authors":"James M Nichols, Barbara L F Kaplan","doi":"10.1159/000534351","DOIUrl":null,"url":null,"abstract":"<p><strong>Introduction: </strong>Multiple sclerosis (MS) is a neurodegenerative autoimmune disease that worsens with age. Here, we examined the influence of age on passive experimental autoimmune encephalomyelitis (P-EAE), a model to study MS, using young and mature adult 2D2 transgenic donor mice to induce pathology in WT C57BL6/J mice.</p><p><strong>Methods: </strong>Lymphocytes from young adult (i.e., 10-week-old) or mature adult (i.e., 6-month-old) transgenic donor mice were characterized by flow cytometry prior to injection of cultured leukocytes into adult female WT recipient mice, with a special focus on transgenic T cell phenotypes.</p><p><strong>Results: </strong>Our findings show age-dependent changes in memory T cell phenotypes correlated with more severe clinical and histological disease when donor cells originated from young as compared to mature adult mice.</p><p><strong>Conclusion: </strong>Not only do these results demonstrate that the age of the 2D2 transgenic donor mice is critical in establishing P-EAE, but the differential effects might also identify age-dependent factors that contribute to EAE and perhaps MS.</p>","PeriodicalId":19133,"journal":{"name":"Neuroimmunomodulation","volume":" ","pages":"291-301"},"PeriodicalIF":2.4000,"publicationDate":"2023-01-01","publicationTypes":"Journal Article","fieldsOfStudy":null,"isOpenAccess":false,"openAccessPdf":"https://www.ncbi.nlm.nih.gov/pmc/articles/PMC10634278/pdf/","citationCount":"0","resultStr":null,"platform":"Semanticscholar","paperid":null,"PeriodicalName":"Neuroimmunomodulation","FirstCategoryId":"3","ListUrlMain":"https://doi.org/10.1159/000534351","RegionNum":4,"RegionCategory":"医学","ArticlePicture":[],"TitleCN":null,"AbstractTextCN":null,"PMCID":null,"EPubDate":"2023/10/12 0:00:00","PubModel":"Epub","JCR":"Q3","JCRName":"ENDOCRINOLOGY & METABOLISM","Score":null,"Total":0}
引用次数: 0

Abstract

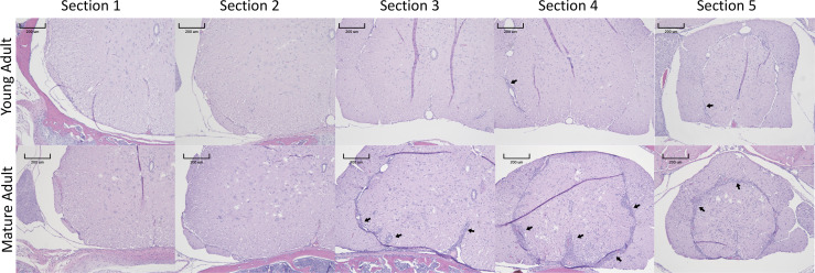
Introduction: Multiple sclerosis (MS) is a neurodegenerative autoimmune disease that worsens with age. Here, we examined the influence of age on passive experimental autoimmune encephalomyelitis (P-EAE), a model to study MS, using young and mature adult 2D2 transgenic donor mice to induce pathology in WT C57BL6/J mice.

Methods: Lymphocytes from young adult (i.e., 10-week-old) or mature adult (i.e., 6-month-old) transgenic donor mice were characterized by flow cytometry prior to injection of cultured leukocytes into adult female WT recipient mice, with a special focus on transgenic T cell phenotypes.

Results: Our findings show age-dependent changes in memory T cell phenotypes correlated with more severe clinical and histological disease when donor cells originated from young as compared to mature adult mice.

Conclusion: Not only do these results demonstrate that the age of the 2D2 transgenic donor mice is critical in establishing P-EAE, but the differential effects might also identify age-dependent factors that contribute to EAE and perhaps MS.

Abstract Image

Abstract Image

Abstract Image

用于在C57BL/6小鼠中诱导被动EAE的转基因2D2小鼠的年龄依赖性效应。
引言:多发性硬化症是一种神经退行性自身免疫性疾病,随着年龄的增长而恶化。在这里,我们使用年轻和成熟的成年2D2转基因供体小鼠在WT C57BL6/J小鼠中诱导病理,研究了年龄对被动实验性自身免疫性脑脊髓炎(P-EAE)的影响,P-EAE是一种研究MS的模型。方法:在将培养的白细胞注射到成年雌性WT受体小鼠中之前,通过流式细胞术对来自年轻成年(即10周大)或成熟成年(即6个月大)转基因供体小鼠的淋巴细胞进行表征,特别关注转基因T细胞表型。结果:我们的研究结果表明,与成熟成年小鼠相比,当供体细胞来源于年轻小鼠时,记忆T细胞表型的年龄依赖性变化与更严重的临床和组织学疾病相关。结论:这些结果不仅表明2D2转基因供体小鼠的年龄对建立P-EAE至关重要,而且差异效应还可能确定导致EAE和MS的年龄依赖性因素。
本文章由计算机程序翻译,如有差异,请以英文原文为准。
求助全文
约1分钟内获得全文 求助全文
来源期刊
Neuroimmunomodulation
Neuroimmunomodulation 医学-免疫学
CiteScore
3.60
自引率
4.20%
发文量
35
审稿时长
>12 weeks
期刊介绍: The rapidly expanding area of research known as neuroimmunomodulation explores the way in which the nervous system interacts with the immune system via neural, hormonal, and paracrine actions. Encompassing both basic and clinical research, ''Neuroimmunomodulation'' reports on all aspects of these interactions. Basic investigations consider all neural and humoral networks from molecular genetics through cell regulation to integrative systems of the body. The journal also aims to clarify the basic mechanisms involved in the pathogenesis of the CNS pathology in AIDS patients and in various neurodegenerative diseases. Although primarily devoted to research articles, timely reviews are published on a regular basis.
×
引用
GB/T 7714-2015
复制
MLA
复制
APA
复制
导出至
BibTeX EndNote RefMan NoteFirst NoteExpress
×
提示
您的信息不完整,为了账户安全,请先补充。
现在去补充
×
提示
您因"违规操作"
具体请查看互助需知
我知道了
×
提示
确定
请完成安全验证×
copy
已复制链接
快去分享给好友吧!
我知道了
右上角分享
点击右上角分享
0
联系我们:info@booksci.cn Book学术提供免费学术资源搜索服务,方便国内外学者检索中英文文献。致力于提供最便捷和优质的服务体验。 Copyright © 2023 布克学术 All rights reserved.
京ICP备2023020795号-1
ghs 京公网安备 11010802042870号
Book学术文献互助
Book学术文献互助群
群 号:604180095
Book学术官方微信