Discovering Pathologies in the Anatomy Lab: The Case of Brachial Plexopathy Mimicking Neurological Thoracic Outlet Syndrome.

Spartan medical research journal Pub Date : 2020-10-30
Ryley Mancine, Paul Kowalski, William McMillan, Nicole Geske, Loro Kujjo
{"title":"Discovering Pathologies in the Anatomy Lab: The Case of Brachial Plexopathy Mimicking Neurological Thoracic Outlet Syndrome.","authors":"Ryley Mancine, Paul Kowalski, William McMillan, Nicole Geske, Loro Kujjo","doi":"","DOIUrl":null,"url":null,"abstract":"<p><strong>Context: </strong>Well-established human anatomy labs with access to expert faculty are exceedingly valuable tools to medical student education. In this manuscript, we detail an infero-lateral subclavicular lipoma which was discovered as a result of the utilization of both those labs and expert faculty. This lipoma may have caused brachial plexopathy or may serve as an unusual cause of neurologic thoracic outlet syndrome (NTOS) due to the location of the mass.</p><p><strong>Educational case presentation: </strong>During prosection of a donor in the human anatomy lab, a mass was discovered by a medical student. This medical student utilized the human anatomy lab faculty members and resources to identify the mass as a lipoma. The lipoma compressed the lateral cord of the brachial plexus and the suprascapular nerve, but no diagnosis of NTOS or brachial plexopathy was made during the life of the donor, nor was any surgical intervention indicated. Removal of the lipoma immediately relieved stress upon the nerves. Histochemical analysis confirmed the diagnosis of a lipoma and demonstrated almost only mature adipocytes.</p><p><strong>Conclusion: </strong>The authors concluded that the lipoma of this patient was not identifiable with computerized tomography imaging modalities, despite ultrasound demonstrating a hyperechoic outline of the mass in the cadaver of the patient. It is very likely that this lipoma had not been diagnosed previously due to the atypical location of the tumor. Equally, typical surgical methods associated with brachial plexopathy or NTOS treatment would be difficult or more complicated, due to the lateral and inferior location of the lipoma. Physicians treating thoracic outlet syndrome-type symptoms without resolution should consider potential non-malignant obstruction located outside the thoracic outlet, toward the extremity. Deep palpatory methods and physical therapy should be considered until diagnosis is certain, as ultrasound would be difficult and typical transaxillary surgical methods would be nonhelpful. Medical students and early-career residents and physicians should be aware of the resources provided to them via campus human anatomy laboratories which they may utilize to further their understanding and knowledge of specific pathologies.</p>","PeriodicalId":74853,"journal":{"name":"Spartan medical research journal","volume":"5 2","pages":"14179"},"PeriodicalIF":0.0000,"publicationDate":"2020-10-30","publicationTypes":"Journal Article","fieldsOfStudy":null,"isOpenAccess":false,"openAccessPdf":"https://www.ncbi.nlm.nih.gov/pmc/articles/PMC7746061/pdf/","citationCount":"0","resultStr":null,"platform":"Semanticscholar","paperid":null,"PeriodicalName":"Spartan medical research journal","FirstCategoryId":"1085","ListUrlMain":"","RegionNum":0,"RegionCategory":null,"ArticlePicture":[],"TitleCN":null,"AbstractTextCN":null,"PMCID":null,"EPubDate":"","PubModel":"","JCR":"","JCRName":"","Score":null,"Total":0}
引用次数: 0

Abstract

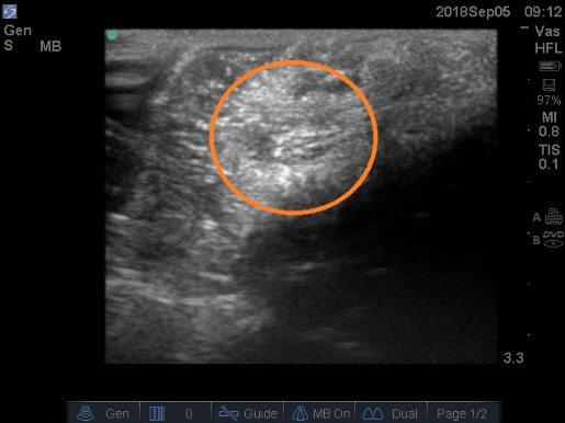
Context: Well-established human anatomy labs with access to expert faculty are exceedingly valuable tools to medical student education. In this manuscript, we detail an infero-lateral subclavicular lipoma which was discovered as a result of the utilization of both those labs and expert faculty. This lipoma may have caused brachial plexopathy or may serve as an unusual cause of neurologic thoracic outlet syndrome (NTOS) due to the location of the mass.

Educational case presentation: During prosection of a donor in the human anatomy lab, a mass was discovered by a medical student. This medical student utilized the human anatomy lab faculty members and resources to identify the mass as a lipoma. The lipoma compressed the lateral cord of the brachial plexus and the suprascapular nerve, but no diagnosis of NTOS or brachial plexopathy was made during the life of the donor, nor was any surgical intervention indicated. Removal of the lipoma immediately relieved stress upon the nerves. Histochemical analysis confirmed the diagnosis of a lipoma and demonstrated almost only mature adipocytes.

Conclusion: The authors concluded that the lipoma of this patient was not identifiable with computerized tomography imaging modalities, despite ultrasound demonstrating a hyperechoic outline of the mass in the cadaver of the patient. It is very likely that this lipoma had not been diagnosed previously due to the atypical location of the tumor. Equally, typical surgical methods associated with brachial plexopathy or NTOS treatment would be difficult or more complicated, due to the lateral and inferior location of the lipoma. Physicians treating thoracic outlet syndrome-type symptoms without resolution should consider potential non-malignant obstruction located outside the thoracic outlet, toward the extremity. Deep palpatory methods and physical therapy should be considered until diagnosis is certain, as ultrasound would be difficult and typical transaxillary surgical methods would be nonhelpful. Medical students and early-career residents and physicians should be aware of the resources provided to them via campus human anatomy laboratories which they may utilize to further their understanding and knowledge of specific pathologies.

Abstract Image

Abstract Image

Abstract Image

在解剖学实验室发现病理学:模拟神经胸廓出口综合征的臂丛病病例。
背景:拥有专业师资的成熟人体解剖实验室是医学生教育的宝贵工具。在这篇手稿中,我们详细介绍了一种锁骨下外侧脂肪瘤,它是通过利用这些实验室和专家团队发现的。这种脂肪瘤可能导致了臂丛神经病变,或者由于肿块的位置,可能是神经-胸廓出口综合征(NTOS)的一个不寻常原因。教育案例介绍:在人体解剖实验室检查捐赠者时,一名医学生发现了一个肿块。这位医学生利用人体解剖实验室的教员和资源,将肿块确定为脂肪瘤。脂肪瘤压迫了臂丛外侧索和肩胛上神经,但在供体的生命中没有诊断出NTOS或臂丛病,也没有任何手术干预。脂肪瘤的切除立即缓解了神经压力。组织化学分析证实了脂肪瘤的诊断,并显示几乎只有成熟的脂肪细胞。结论:作者得出结论,尽管超声显示患者尸体中的脂肪瘤轮廓呈高回声,但计算机断层扫描成像模式无法识别该患者的脂肪瘤。很可能由于肿瘤的非典型位置,这种脂肪瘤以前没有被诊断出来。同样,由于脂肪瘤的侧位和低位,与臂丛神经病变或NTOS治疗相关的典型手术方法将是困难的或更复杂的。治疗胸廓出口综合征型症状但未解决的医生应考虑位于胸廓出口外、朝向四肢的潜在非恶性梗阻。在诊断确定之前,应考虑深度触诊方法和物理治疗,因为超声检查很困难,典型的腋下手术方法也没有帮助。医学生、早期职业住院医师和医生应了解通过校园人体解剖实验室向他们提供的资源,他们可以利用这些资源来进一步了解和了解特定的病理学。
本文章由计算机程序翻译,如有差异,请以英文原文为准。
求助全文
约1分钟内获得全文 求助全文
来源期刊
自引率
0.00%
发文量
0
×
引用
GB/T 7714-2015
复制
MLA
复制
APA
复制
导出至
BibTeX EndNote RefMan NoteFirst NoteExpress
×
提示
您的信息不完整,为了账户安全,请先补充。
现在去补充
×
提示
您因"违规操作"
具体请查看互助需知
我知道了
×
提示
确定
请完成安全验证×
copy
已复制链接
快去分享给好友吧!
我知道了
右上角分享
点击右上角分享
0
联系我们:info@booksci.cn Book学术提供免费学术资源搜索服务,方便国内外学者检索中英文文献。致力于提供最便捷和优质的服务体验。 Copyright © 2023 布克学术 All rights reserved.
京ICP备2023020795号-1
ghs 京公网安备 11010802042870号
Book学术文献互助
Book学术文献互助群
群 号:604180095
Book学术官方微信