Maternal septic shock due to Acinetobacter lwoffii infection:a case report.

IF 0.9 Q3 MEDICINE, GENERAL & INTERNAL
Fukushima Journal of Medical Science Pub Date : 2023-11-15 Epub Date: 2023-09-28 DOI:10.5387/fms.2022-43
Hirotaka Isogami, Misa Sugeno, Karin Imaizumi, Toma Fukuda, Norihito Kamo, Shun Yasuda, Akiko Yamaguchi, Keiya Fujimori
{"title":"Maternal septic shock due to Acinetobacter lwoffii infection:a case report.","authors":"Hirotaka Isogami, Misa Sugeno, Karin Imaizumi, Toma Fukuda, Norihito Kamo, Shun Yasuda, Akiko Yamaguchi, Keiya Fujimori","doi":"10.5387/fms.2022-43","DOIUrl":null,"url":null,"abstract":"<p><p>The incidence of Acinetobacter infections has increased in recent years. Acinetobacter infections are resistant to most antibiotics and can be found in hospitalized patients. Pregnancies complicated by severe sepsis or septic shock are associated with a higher rate of preterm labor and delivery, fetal infection, and operative delivery. This case report describes septic shock due to Acinetobacter lwoffii infection in the 31st week of gestation. A 47-year-old woman, with a gestation of 31 weeks and one day, presented with a fever, and signs of bacterial infection on laboratory tests. Although the patient was started on tazobactam/piperacillin, she went into septic shock, and was transferred to our hospital. Cesarean section was performed at a gestation of 31 weeks and 4 days because of severe maternal pneumonia and non-reassuring fetal status. A. lwoffii was detected in blood cultures collected at the previous hospital, and susceptibility to piperacillin and meropenem to A. lwoffii was confirmed. The pneumonia responded to antibiotic treatment and there were no findings of infection in the neonate. Maternal sepsis is an infrequent but important complication, causing significant maternal and fetal morbidity and fetal and neonatal mortality; therefore, early antibiotic therapy is required to improve the clinical outcome.</p>","PeriodicalId":44831,"journal":{"name":"Fukushima Journal of Medical Science","volume":" ","pages":"191-196"},"PeriodicalIF":0.9000,"publicationDate":"2023-11-15","publicationTypes":"Journal Article","fieldsOfStudy":null,"isOpenAccess":false,"openAccessPdf":"https://www.ncbi.nlm.nih.gov/pmc/articles/PMC10694513/pdf/","citationCount":"0","resultStr":null,"platform":"Semanticscholar","paperid":null,"PeriodicalName":"Fukushima Journal of Medical Science","FirstCategoryId":"1085","ListUrlMain":"https://doi.org/10.5387/fms.2022-43","RegionNum":0,"RegionCategory":null,"ArticlePicture":[],"TitleCN":null,"AbstractTextCN":null,"PMCID":null,"EPubDate":"2023/9/28 0:00:00","PubModel":"Epub","JCR":"Q3","JCRName":"MEDICINE, GENERAL & INTERNAL","Score":null,"Total":0}
引用次数: 0

Abstract

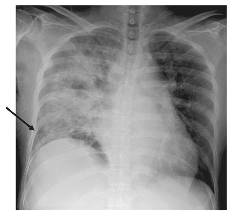
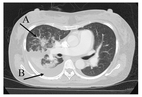
The incidence of Acinetobacter infections has increased in recent years. Acinetobacter infections are resistant to most antibiotics and can be found in hospitalized patients. Pregnancies complicated by severe sepsis or septic shock are associated with a higher rate of preterm labor and delivery, fetal infection, and operative delivery. This case report describes septic shock due to Acinetobacter lwoffii infection in the 31st week of gestation. A 47-year-old woman, with a gestation of 31 weeks and one day, presented with a fever, and signs of bacterial infection on laboratory tests. Although the patient was started on tazobactam/piperacillin, she went into septic shock, and was transferred to our hospital. Cesarean section was performed at a gestation of 31 weeks and 4 days because of severe maternal pneumonia and non-reassuring fetal status. A. lwoffii was detected in blood cultures collected at the previous hospital, and susceptibility to piperacillin and meropenem to A. lwoffii was confirmed. The pneumonia responded to antibiotic treatment and there were no findings of infection in the neonate. Maternal sepsis is an infrequent but important complication, causing significant maternal and fetal morbidity and fetal and neonatal mortality; therefore, early antibiotic therapy is required to improve the clinical outcome.

Abstract Image

Abstract Image

Abstract Image

lwoffii不动杆菌感染致产妇感染性休克一例报告。
近年来,不动杆菌感染的发病率有所上升。不动杆菌感染对大多数抗生素具有耐药性,在住院患者中也能发现。妊娠合并严重败血症或感染性休克与早产和分娩、胎儿感染和手术分娩的发生率较高有关。本病例报告描述了妊娠第31周因lwoffii不动杆菌感染引起的感染性休克。一名47岁女性,妊娠31周零1天,在实验室测试中出现发烧和细菌感染迹象。尽管患者开始服用他唑巴坦/哌拉西林,但她出现了感染性休克,并被转移到我们医院。由于母亲严重肺炎和胎儿状况不稳定,在妊娠31周零4天时进行了剖腹产。在之前的医院采集的血液培养物中检测到A.lwoffii,并证实了对A.lwoffi对哌拉西林和美罗培南的敏感性。肺炎对抗生素治疗有反应,新生儿未发现感染。母亲败血症是一种罕见但重要的并发症,会导致严重的母亲和胎儿发病率以及胎儿和新生儿死亡率;因此,需要早期的抗生素治疗来提高临床疗效。
本文章由计算机程序翻译,如有差异,请以英文原文为准。
求助全文
约1分钟内获得全文 求助全文
来源期刊
Fukushima Journal of Medical Science
Fukushima Journal of Medical Science MEDICINE, GENERAL & INTERNAL-
CiteScore
1.70
自引率
12.50%
发文量
24
×
引用
GB/T 7714-2015
复制
MLA
复制
APA
复制
导出至
BibTeX EndNote RefMan NoteFirst NoteExpress
×
提示
您的信息不完整,为了账户安全,请先补充。
现在去补充
×
提示
您因"违规操作"
具体请查看互助需知
我知道了
×
提示
确定
请完成安全验证×
copy
已复制链接
快去分享给好友吧!
我知道了
右上角分享
点击右上角分享
0
联系我们:info@booksci.cn Book学术提供免费学术资源搜索服务,方便国内外学者检索中英文文献。致力于提供最便捷和优质的服务体验。 Copyright © 2023 布克学术 All rights reserved.
京ICP备2023020795号-1
ghs 京公网安备 11010802042870号
Book学术文献互助
Book学术文献互助群
群 号:604180095
Book学术官方微信