Osmotic demyelination syndrome caused by rapid correction of hyperammonemia and continuous hyperbilirubinemia: a case report and review of the literature.

Encephalitis (Seoul, Korea) Pub Date : 2023-10-01 Epub Date: 2023-10-06 DOI:10.47936/encephalitis.2023.00108
Kunwoo Park, Sang Beom Kim, Sung Sang Yoon, Ho Geol Woo
{"title":"Osmotic demyelination syndrome caused by rapid correction of hyperammonemia and continuous hyperbilirubinemia: a case report and review of the literature.","authors":"Kunwoo Park,&nbsp;Sang Beom Kim,&nbsp;Sung Sang Yoon,&nbsp;Ho Geol Woo","doi":"10.47936/encephalitis.2023.00108","DOIUrl":null,"url":null,"abstract":"<p><p>Osmotic demyelination syndrome (ODS) is an acute demyelinating disorder characterized by the loss of myelin in the center of the basis pons, defined as central pontine myelinolysis (CPM), and demyelination in locations outside the pons, defined as extrapontine myelinolysis (EPM). ODS including CPM and EPM is mainly caused by rapid correction of hyponatremia. However, there are several reports of ODS in medical conditions such as malnutrition; alcoholism; liver transplantation; malignancy; sepsis; and electrolyte imbalance including hypernatremia, hypokalemia, hypophosphatemia, and chronic illness. ODS caused by rapid correction of hyperammonemia or continuous hyperbilirubinemia without sodium fluctuations has rarely been reported. Because ODS may be irreversible, prevention is crucial. Herein, we report a case of ODS secondary to rapid correction of hyperammonemia and continuous hyperbilirubinemia.</p>","PeriodicalId":72904,"journal":{"name":"Encephalitis (Seoul, Korea)","volume":" ","pages":"119-124"},"PeriodicalIF":0.0000,"publicationDate":"2023-10-01","publicationTypes":"Journal Article","fieldsOfStudy":null,"isOpenAccess":false,"openAccessPdf":"https://ftp.ncbi.nlm.nih.gov/pub/pmc/oa_pdf/73/22/encephalitis-2023-00108.PMC10598282.pdf","citationCount":"0","resultStr":null,"platform":"Semanticscholar","paperid":null,"PeriodicalName":"Encephalitis (Seoul, Korea)","FirstCategoryId":"1085","ListUrlMain":"https://doi.org/10.47936/encephalitis.2023.00108","RegionNum":0,"RegionCategory":null,"ArticlePicture":[],"TitleCN":null,"AbstractTextCN":null,"PMCID":null,"EPubDate":"2023/10/6 0:00:00","PubModel":"Epub","JCR":"","JCRName":"","Score":null,"Total":0}
引用次数: 0

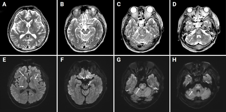
Abstract

Osmotic demyelination syndrome (ODS) is an acute demyelinating disorder characterized by the loss of myelin in the center of the basis pons, defined as central pontine myelinolysis (CPM), and demyelination in locations outside the pons, defined as extrapontine myelinolysis (EPM). ODS including CPM and EPM is mainly caused by rapid correction of hyponatremia. However, there are several reports of ODS in medical conditions such as malnutrition; alcoholism; liver transplantation; malignancy; sepsis; and electrolyte imbalance including hypernatremia, hypokalemia, hypophosphatemia, and chronic illness. ODS caused by rapid correction of hyperammonemia or continuous hyperbilirubinemia without sodium fluctuations has rarely been reported. Because ODS may be irreversible, prevention is crucial. Herein, we report a case of ODS secondary to rapid correction of hyperammonemia and continuous hyperbilirubinemia.

Abstract Image

Abstract Image

高氨血症和持续高胆红素血症快速纠正引起的渗透性脱髓鞘综合征:一例报告和文献复习。
渗透性脱髓鞘综合征(ODS)是一种急性脱髓鞘疾病,其特征是脑桥基底中央髓鞘丢失,被定义为中央脑桥髓鞘溶解症(CPM),而脑桥外部位的脱髓鞘被定义为桥外髓鞘溶解症。ODS主要由低钠血症的快速纠正引起,包括CPM和EPM。然而,有几份关于消耗臭氧层物质在营养不良等医疗条件下的报告;酗酒;肝移植;恶性;败血症;电解质失衡,包括高钠血症、低钾血症、低磷血症和慢性病。由高氨血症或持续高胆红素血症快速纠正而无钠波动引起的ODS很少报道。由于消耗臭氧层物质可能是不可逆转的,因此预防至关重要。在此,我们报告一例ODS继发于高氨血症和持续高胆红素血症的快速纠正。
本文章由计算机程序翻译,如有差异,请以英文原文为准。
求助全文
约1分钟内获得全文 求助全文
来源期刊
自引率
0.00%
发文量
0
×
引用
GB/T 7714-2015
复制
MLA
复制
APA
复制
导出至
BibTeX EndNote RefMan NoteFirst NoteExpress
×
提示
您的信息不完整,为了账户安全,请先补充。
现在去补充
×
提示
您因"违规操作"
具体请查看互助需知
我知道了
×
提示
确定
请完成安全验证×
copy
已复制链接
快去分享给好友吧!
我知道了
右上角分享
点击右上角分享
0
联系我们:info@booksci.cn Book学术提供免费学术资源搜索服务,方便国内外学者检索中英文文献。致力于提供最便捷和优质的服务体验。 Copyright © 2023 布克学术 All rights reserved.
京ICP备2023020795号-1
ghs 京公网安备 11010802042870号
Book学术文献互助
Book学术文献互助群
群 号:604180095
Book学术官方微信