Up-regulation by overexpression of c-MET in fibroblastic foci of usual interstitial pneumonia.

IF 2.9 Q1 PATHOLOGY
PATHOLOGICA Pub Date : 2023-12-01 Epub Date: 2023-10-09 DOI:10.32074/1591-951X-920
Laura Melocchi, Giulia Cervi, Giuliana Sartori, Laura Gandolfi, Genny Jocollé, Alberto Cavazza, Giulio Rossi
{"title":"Up-regulation by overexpression of c-MET in fibroblastic foci of usual interstitial pneumonia.","authors":"Laura Melocchi, Giulia Cervi, Giuliana Sartori, Laura Gandolfi, Genny Jocollé, Alberto Cavazza, Giulio Rossi","doi":"10.32074/1591-951X-920","DOIUrl":null,"url":null,"abstract":"<p><strong>Background: </strong>Usual interstitial pneumonia (UIP) is the radiologic and histologic hallmark of idiopathic pulmonary fibrosis (IPF) and the commonest histologic pattern of other progressive fibrosing interstitial lung diseases (e.g., fibrotic hypersensitivity pneumonia). Analogous to lung cancer, activation of epithelial-to-mesenchymal transition (EMT) is one of the main molecular pathways recently identified by transcriptomic studies in IPF. Fibroblastic foci (FF) are considered the active/trigger component of UIP pattern. The proto-oncogene C-MET is a key gene among molecules promoting EMT against which several inhibitors are currently available or promising in ongoing studies on lung cancer.</p><p><strong>Methods: </strong>Twenty surgical cases of diffuse fibrosing interstitial lung diseases (fILD) with UIP pattern and FF-rich (17 IPF and 3 patients with fibrotic hypersensitivity pneumonia, fHP) were retrospectively selected. FF were manually microdissected and analysed for c-MET gene alterations (FISH amplification and gene hot-spot mutations Sanger sequencing) and tested with a c-MET companion diagnostic antibody (clone SP44 metmab) by immunohistochemistry.</p><p><strong>Results: </strong>FF are characterized by upregulation of c-MET as shown by overexpression of the protein in 80% of cases, while no gene amplification by FISH or mutations were detected. C-MET upregulation of FF was observed either in IPF and fHP, with a tropism for the epithelial cell component only.</p><p><strong>Conclusion: </strong>Upregulation of c-MET in FF of ILD with UIP pattern further confirms the key role of the proto-oncogene c-MET in its pathogenesis, possibly representing an interesting and easily-detectable molecular target for selective therapy using specific inhibitors in future clinical trials, similar to lung cancer. It is reasonable to speculate that molecular alterations in FF can also be detected in FF by transbronchial cryobiopsy.</p>","PeriodicalId":45893,"journal":{"name":"PATHOLOGICA","volume":" ","pages":"308-317"},"PeriodicalIF":2.9000,"publicationDate":"2023-12-01","publicationTypes":"Journal Article","fieldsOfStudy":null,"isOpenAccess":false,"openAccessPdf":"https://www.ncbi.nlm.nih.gov/pmc/articles/PMC10767799/pdf/","citationCount":"0","resultStr":null,"platform":"Semanticscholar","paperid":null,"PeriodicalName":"PATHOLOGICA","FirstCategoryId":"1085","ListUrlMain":"https://doi.org/10.32074/1591-951X-920","RegionNum":0,"RegionCategory":null,"ArticlePicture":[],"TitleCN":null,"AbstractTextCN":null,"PMCID":null,"EPubDate":"2023/10/9 0:00:00","PubModel":"Epub","JCR":"Q1","JCRName":"PATHOLOGY","Score":null,"Total":0}
引用次数: 0

Abstract

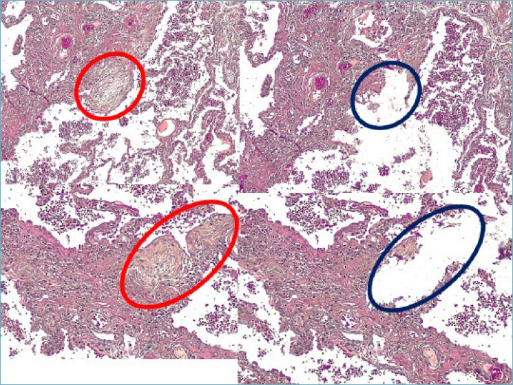
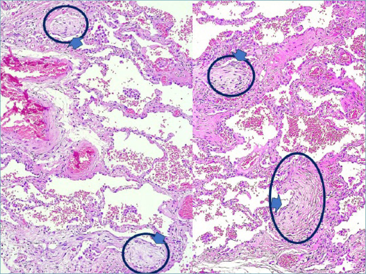
Background: Usual interstitial pneumonia (UIP) is the radiologic and histologic hallmark of idiopathic pulmonary fibrosis (IPF) and the commonest histologic pattern of other progressive fibrosing interstitial lung diseases (e.g., fibrotic hypersensitivity pneumonia). Analogous to lung cancer, activation of epithelial-to-mesenchymal transition (EMT) is one of the main molecular pathways recently identified by transcriptomic studies in IPF. Fibroblastic foci (FF) are considered the active/trigger component of UIP pattern. The proto-oncogene C-MET is a key gene among molecules promoting EMT against which several inhibitors are currently available or promising in ongoing studies on lung cancer.

Methods: Twenty surgical cases of diffuse fibrosing interstitial lung diseases (fILD) with UIP pattern and FF-rich (17 IPF and 3 patients with fibrotic hypersensitivity pneumonia, fHP) were retrospectively selected. FF were manually microdissected and analysed for c-MET gene alterations (FISH amplification and gene hot-spot mutations Sanger sequencing) and tested with a c-MET companion diagnostic antibody (clone SP44 metmab) by immunohistochemistry.

Results: FF are characterized by upregulation of c-MET as shown by overexpression of the protein in 80% of cases, while no gene amplification by FISH or mutations were detected. C-MET upregulation of FF was observed either in IPF and fHP, with a tropism for the epithelial cell component only.

Conclusion: Upregulation of c-MET in FF of ILD with UIP pattern further confirms the key role of the proto-oncogene c-MET in its pathogenesis, possibly representing an interesting and easily-detectable molecular target for selective therapy using specific inhibitors in future clinical trials, similar to lung cancer. It is reasonable to speculate that molecular alterations in FF can also be detected in FF by transbronchial cryobiopsy.

Abstract Image

Abstract Image

Abstract Image

常见间质性肺炎成纤维细胞灶中c-MET过度表达的上调。
背景:常见的间质性肺炎(UIP)是特发性肺纤维化(IPF)的放射学和组织学标志,也是其他进行性纤维化间质性肺部疾病(如纤维超敏性肺炎)最常见的组织学模式。与癌症类似,上皮-间质转化(EMT)的激活是最近通过转录组学研究在IPF中确定的主要分子途径之一。成纤维细胞灶(FF)被认为是UIP模式的主动/触发成分。原癌基因C-MET是促进EMT的分子中的一个关键基因,目前已有几种抑制剂可用于或有望用于正在进行的癌症研究。方法:回顾性选择20例UIP型和富含FF的弥漫性纤维化间质性肺疾病(fILD)的手术病例(17例IPF和3例纤维超敏性肺炎(fHP))。手动显微切割FF并分析c-MET基因改变(FISH扩增和基因热点突变Sanger测序),并通过免疫组织化学用c-MET伴随诊断抗体(克隆SP44 metmab)进行测试。结果:FF的特征是c-MET的上调,如80%的病例中蛋白的过度表达所示,而FISH未检测到基因扩增或突变。在IPF和fHP中观察到C-MET上调FF,仅对上皮细胞成分具有嗜性。结论:c-MET在UIP模式ILD FF中的上调进一步证实了原原代c-MET在其发病机制中的关键作用,可能代表了在未来临床试验中使用特异性抑制剂进行选择性治疗的一个有趣且易于检测的分子靶点,类似于癌症。可以合理地推测,通过经支气管冷冻活检也可以在FF中检测到FF的分子改变。
本文章由计算机程序翻译,如有差异,请以英文原文为准。
求助全文
约1分钟内获得全文 求助全文
来源期刊
PATHOLOGICA
PATHOLOGICA PATHOLOGY-
CiteScore
5.90
自引率
5.70%
发文量
108
×
引用
GB/T 7714-2015
复制
MLA
复制
APA
复制
导出至
BibTeX EndNote RefMan NoteFirst NoteExpress
×
提示
您的信息不完整,为了账户安全,请先补充。
现在去补充
×
提示
您因"违规操作"
具体请查看互助需知
我知道了
×
提示
确定
请完成安全验证×
copy
已复制链接
快去分享给好友吧!
我知道了
右上角分享
点击右上角分享
0
联系我们:info@booksci.cn Book学术提供免费学术资源搜索服务,方便国内外学者检索中英文文献。致力于提供最便捷和优质的服务体验。 Copyright © 2023 布克学术 All rights reserved.
京ICP备2023020795号-1
ghs 京公网安备 11010802042870号
Book学术文献互助
Book学术文献互助群
群 号:604180095
Book学术官方微信