Cytological Diagnosis of Castleman Disease by Endoscopic Ultrasound Guided Fine Needle Aspiration.

IF 1 4区 医学 Q4 MEDICAL LABORATORY TECHNOLOGY
Journal of Cytology Pub Date : 2023-07-01 Epub Date: 2023-08-14 DOI:10.4103/joc.joc_63_23
Vikram Bhatia, Satender Pal Singh, Ajay Kumar Mishra, Indira Rath, Meghana Prabhu, Chhagan Bihari
{"title":"Cytological Diagnosis of Castleman Disease by Endoscopic Ultrasound Guided Fine Needle Aspiration.","authors":"Vikram Bhatia,&nbsp;Satender Pal Singh,&nbsp;Ajay Kumar Mishra,&nbsp;Indira Rath,&nbsp;Meghana Prabhu,&nbsp;Chhagan Bihari","doi":"10.4103/joc.joc_63_23","DOIUrl":null,"url":null,"abstract":"<p><p>Castleman disease is a nonmalignant, lymphoproliferative disorder. Unicentric disease type involves a single enlarged lymph node or nodal regions, and multicentric disease involves multiple lymph node site involvement. We present a case of 26-year-old young female presented to outpatient with complaint of generalized weakness and abdominal pain for last 2 months. Her imaging included positron emission computed tomography which showed soft-tissue mass along the body of pancreas. Endoscopic ultrasound done showed nodal mass with extensive calcification and doppler endoscopic ultrasound showing arborising vessels. Fine needle aspiration cytology (FNAC) and biopsy taken showed lymphoid cells and diffuse hyaline material. After suboptimal response to chemotherapy regimen, she underwent open laparotomy and excision of the retroperitoneal mass.</p>","PeriodicalId":50217,"journal":{"name":"Journal of Cytology","volume":"40 3","pages":"145-147"},"PeriodicalIF":1.0000,"publicationDate":"2023-07-01","publicationTypes":"Journal Article","fieldsOfStudy":null,"isOpenAccess":false,"openAccessPdf":"https://www.ncbi.nlm.nih.gov/pmc/articles/PMC10516151/pdf/","citationCount":"0","resultStr":null,"platform":"Semanticscholar","paperid":null,"PeriodicalName":"Journal of Cytology","FirstCategoryId":"3","ListUrlMain":"https://doi.org/10.4103/joc.joc_63_23","RegionNum":4,"RegionCategory":"医学","ArticlePicture":[],"TitleCN":null,"AbstractTextCN":null,"PMCID":null,"EPubDate":"2023/8/14 0:00:00","PubModel":"Epub","JCR":"Q4","JCRName":"MEDICAL LABORATORY TECHNOLOGY","Score":null,"Total":0}
引用次数: 0

Abstract

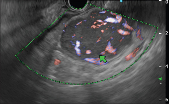
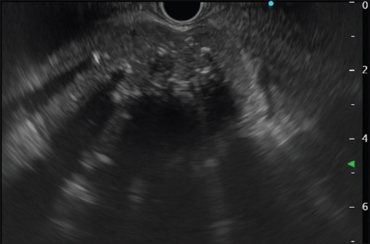
Castleman disease is a nonmalignant, lymphoproliferative disorder. Unicentric disease type involves a single enlarged lymph node or nodal regions, and multicentric disease involves multiple lymph node site involvement. We present a case of 26-year-old young female presented to outpatient with complaint of generalized weakness and abdominal pain for last 2 months. Her imaging included positron emission computed tomography which showed soft-tissue mass along the body of pancreas. Endoscopic ultrasound done showed nodal mass with extensive calcification and doppler endoscopic ultrasound showing arborising vessels. Fine needle aspiration cytology (FNAC) and biopsy taken showed lymphoid cells and diffuse hyaline material. After suboptimal response to chemotherapy regimen, she underwent open laparotomy and excision of the retroperitoneal mass.

Abstract Image

Abstract Image

Abstract Image

内镜下超声引导细针抽吸对Castleman病的细胞学诊断。
Castleman病是一种非恶性淋巴增生性疾病。单中心性疾病类型涉及单个肿大的淋巴结或淋巴结区域,多中心性疾病涉及多个淋巴结部位。我们报告了一例26岁的年轻女性,在过去的两个月里,因全身无力和腹痛而门诊就诊。她的成像包括正电子发射计算机断层扫描,显示胰腺体部的软组织肿块。内窥镜超声检查显示结节性肿块伴广泛钙化,多普勒内窥镜超声波检查显示树枝状血管。细针抽吸细胞学检查(FNAC)和活检显示淋巴细胞和弥漫性透明质。在对化疗方案反应不佳后,她接受了剖腹手术和腹膜后肿块切除术。
本文章由计算机程序翻译,如有差异,请以英文原文为准。
求助全文
约1分钟内获得全文 求助全文
来源期刊
Journal of Cytology
Journal of Cytology MEDICAL LABORATORY TECHNOLOGY-
CiteScore
1.80
自引率
7.70%
发文量
34
审稿时长
46 weeks
期刊介绍: The Journal of Cytology is the official Quarterly publication of the Indian Academy of Cytologists. It is in the 25th year of publication in the year 2008. The journal covers all aspects of diagnostic cytology, including fine needle aspiration cytology, gynecological and non-gynecological cytology. Articles on ancillary techniques, like cytochemistry, immunocytochemistry, electron microscopy, molecular cytopathology, as applied to cytological material are also welcome. The journal gives preference to clinically oriented studies over experimental and animal studies. The Journal would publish peer-reviewed original research papers, case reports, systematic reviews, meta-analysis, and debates.
×
引用
GB/T 7714-2015
复制
MLA
复制
APA
复制
导出至
BibTeX EndNote RefMan NoteFirst NoteExpress
×
提示
您的信息不完整,为了账户安全,请先补充。
现在去补充
×
提示
您因"违规操作"
具体请查看互助需知
我知道了
×
提示
确定
请完成安全验证×
copy
已复制链接
快去分享给好友吧!
我知道了
右上角分享
点击右上角分享
0
联系我们:info@booksci.cn Book学术提供免费学术资源搜索服务,方便国内外学者检索中英文文献。致力于提供最便捷和优质的服务体验。 Copyright © 2023 布克学术 All rights reserved.
京ICP备2023020795号-1
ghs 京公网安备 11010802042870号
Book学术文献互助
Book学术文献互助群
群 号:604180095
Book学术官方微信