Oculomotor screening and neuro-visual rehabilitation following pediatric brain tumor resection.

IF 1 Q4 PEDIATRICS
Per Ertzgaard, Per Nyman, Maria Jakobsson, Jan Johansson
{"title":"Oculomotor screening and neuro-visual rehabilitation following pediatric brain tumor resection.","authors":"Per Ertzgaard, Per Nyman, Maria Jakobsson, Jan Johansson","doi":"10.3233/PRM-220127","DOIUrl":null,"url":null,"abstract":"<p><p>Visual difficulties are common after brain tumors, despite a lack of visual complaints at diagnosis. These include difficulties with eye movements, visual coordination, vergence, accommodation, and photophobia, in addition to more obvious problems such as visual field defects. This case report presents the results of a thorough neuro-visual evaluation in a boy with sequelae after a brain tumor including intermittent double vision that was not explained by routine visual examination. Subjective complaints included poor reading perseverance, intermittent blurred and double vision, headache around the eyes when performing near activities, less efficient eye movement behavior in reading tasks, and increased sensitivity to visual motion. The patient participated in a multidisciplinary visual rehabilitation program that included reading glasses with prism compensation and tinted glasses, as well as training with the aim of improving eye teaming, near vision functions, and perseverance in eye movements. The patient responded quickly to the vision therapy program, with positive changes after just four weeks. Repeated neuro-visual evaluations over eight months showed remarkable improvements that were stable over time. This encouraging case report supports the notion that neuro-visual evaluation and rehabilitation should be included in the follow-up of patients after brain tumors.</p>","PeriodicalId":16692,"journal":{"name":"Journal of pediatric rehabilitation medicine","volume":" ","pages":"253-260"},"PeriodicalIF":1.0000,"publicationDate":"2024-01-01","publicationTypes":"Journal Article","fieldsOfStudy":null,"isOpenAccess":false,"openAccessPdf":"https://www.ncbi.nlm.nih.gov/pmc/articles/PMC11307090/pdf/","citationCount":"0","resultStr":null,"platform":"Semanticscholar","paperid":null,"PeriodicalName":"Journal of pediatric rehabilitation medicine","FirstCategoryId":"1085","ListUrlMain":"https://doi.org/10.3233/PRM-220127","RegionNum":0,"RegionCategory":null,"ArticlePicture":[],"TitleCN":null,"AbstractTextCN":null,"PMCID":null,"EPubDate":"","PubModel":"","JCR":"Q4","JCRName":"PEDIATRICS","Score":null,"Total":0}
引用次数: 0

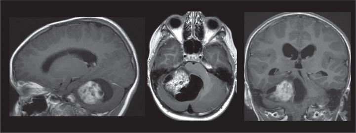
Abstract

Visual difficulties are common after brain tumors, despite a lack of visual complaints at diagnosis. These include difficulties with eye movements, visual coordination, vergence, accommodation, and photophobia, in addition to more obvious problems such as visual field defects. This case report presents the results of a thorough neuro-visual evaluation in a boy with sequelae after a brain tumor including intermittent double vision that was not explained by routine visual examination. Subjective complaints included poor reading perseverance, intermittent blurred and double vision, headache around the eyes when performing near activities, less efficient eye movement behavior in reading tasks, and increased sensitivity to visual motion. The patient participated in a multidisciplinary visual rehabilitation program that included reading glasses with prism compensation and tinted glasses, as well as training with the aim of improving eye teaming, near vision functions, and perseverance in eye movements. The patient responded quickly to the vision therapy program, with positive changes after just four weeks. Repeated neuro-visual evaluations over eight months showed remarkable improvements that were stable over time. This encouraging case report supports the notion that neuro-visual evaluation and rehabilitation should be included in the follow-up of patients after brain tumors.

Abstract Image

Abstract Image

Abstract Image

儿童脑肿瘤切除术后的眼动筛查和神经视觉康复。
尽管在诊断时没有视觉问题,但脑肿瘤后的视觉困难很常见。除了视野缺陷等更明显的问题外,这些问题还包括眼球运动、视觉协调、会聚、调节和畏光方面的困难。本病例报告介绍了一名患有脑瘤后遗症的男孩的全面神经视觉评估结果,包括无法通过常规视觉检查解释的间歇性复视。主观抱怨包括阅读毅力差、间歇性模糊和复视、进行近距离活动时眼睛周围头痛、阅读任务中眼动行为效率较低以及对视觉运动的敏感性增加。患者参加了一项多学科的视觉康复计划,其中包括带棱镜补偿的老花镜和有色眼镜,以及旨在改善眼部协作、近视功能和眼球运动毅力的训练。患者对视力治疗计划反应迅速,仅四周后就出现了积极变化。经过八个月的反复神经视觉评估,显示出显著的改善,并且随着时间的推移是稳定的。这份令人鼓舞的病例报告支持了这样一种观点,即脑肿瘤患者的随访应包括神经视觉评估和康复。
本文章由计算机程序翻译,如有差异,请以英文原文为准。
求助全文
约1分钟内获得全文 求助全文
来源期刊
CiteScore
2.30
自引率
5.30%
发文量
139
×
引用
GB/T 7714-2015
复制
MLA
复制
APA
复制
导出至
BibTeX EndNote RefMan NoteFirst NoteExpress
×
提示
您的信息不完整,为了账户安全,请先补充。
现在去补充
×
提示
您因"违规操作"
具体请查看互助需知
我知道了
×
提示
确定
请完成安全验证×
copy
已复制链接
快去分享给好友吧!
我知道了
右上角分享
点击右上角分享
0
联系我们:info@booksci.cn Book学术提供免费学术资源搜索服务,方便国内外学者检索中英文文献。致力于提供最便捷和优质的服务体验。 Copyright © 2023 布克学术 All rights reserved.
京ICP备2023020795号-1
ghs 京公网安备 11010802042870号
Book学术文献互助
Book学术文献互助群
群 号:604180095
Book学术官方微信