Colovesical Fistula: An Uncommon Cause of Hematuria and Rectal Bleeding.

IF 0.5 Q4 GASTROENTEROLOGY & HEPATOLOGY
Case Reports in Gastrointestinal Medicine Pub Date : 2022-11-02 eCollection Date: 2022-01-01 DOI:10.1155/2022/1419250
Jeffrey K Than, Greg S Cohen
{"title":"Colovesical Fistula: An Uncommon Cause of Hematuria and Rectal Bleeding.","authors":"Jeffrey K Than,&nbsp;Greg S Cohen","doi":"10.1155/2022/1419250","DOIUrl":null,"url":null,"abstract":"<p><p>Colovesical fistula is an infrequent complication of diverticular disease that presents with pneumaturia, fecaluria, dysuria and, rarely, hematuria or hematochezia. Here we present a case of concurrent hematuria and rectal bleeding arising from a diverticular bleed traversing a previously undiagnosed colovesical fistula. Other causes of colovesical fistula include Crohn's disease, radiation, and malignancy, though it is most commonly caused by complicated diverticulitis as in this case. Computed tomography (CT) imaging, cystoscopy, and gastrograffin enema have been described as high-yield diagnostic tests. Interestingly, colonoscopy is only successful in diagnosing colovesical fistula in approximately 55% of cases. Management often requires surgical intervention, as in this case, given limited success with conservative management. Colovesical fistula should be considered in patients presenting with fecaluria, pneumaturia, and dysuria as well as in cases of hematuria.</p>","PeriodicalId":45645,"journal":{"name":"Case Reports in Gastrointestinal Medicine","volume":" ","pages":"1419250"},"PeriodicalIF":0.5000,"publicationDate":"2022-11-02","publicationTypes":"Journal Article","fieldsOfStudy":null,"isOpenAccess":false,"openAccessPdf":"https://www.ncbi.nlm.nih.gov/pmc/articles/PMC9646317/pdf/","citationCount":"0","resultStr":null,"platform":"Semanticscholar","paperid":null,"PeriodicalName":"Case Reports in Gastrointestinal Medicine","FirstCategoryId":"1085","ListUrlMain":"https://doi.org/10.1155/2022/1419250","RegionNum":0,"RegionCategory":null,"ArticlePicture":[],"TitleCN":null,"AbstractTextCN":null,"PMCID":null,"EPubDate":"2022/1/1 0:00:00","PubModel":"eCollection","JCR":"Q4","JCRName":"GASTROENTEROLOGY & HEPATOLOGY","Score":null,"Total":0}
引用次数: 0

Abstract

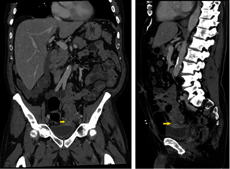
Colovesical fistula is an infrequent complication of diverticular disease that presents with pneumaturia, fecaluria, dysuria and, rarely, hematuria or hematochezia. Here we present a case of concurrent hematuria and rectal bleeding arising from a diverticular bleed traversing a previously undiagnosed colovesical fistula. Other causes of colovesical fistula include Crohn's disease, radiation, and malignancy, though it is most commonly caused by complicated diverticulitis as in this case. Computed tomography (CT) imaging, cystoscopy, and gastrograffin enema have been described as high-yield diagnostic tests. Interestingly, colonoscopy is only successful in diagnosing colovesical fistula in approximately 55% of cases. Management often requires surgical intervention, as in this case, given limited success with conservative management. Colovesical fistula should be considered in patients presenting with fecaluria, pneumaturia, and dysuria as well as in cases of hematuria.

Abstract Image

Abstract Image

膀胱瘘:血尿和直肠出血的罕见原因。
膀胱瘘是憩室疾病的罕见并发症,表现为肺炎、粪尿、排尿困难,很少出现血尿或便血。我们在此报告一例由憩室出血经先前未确诊的结肠瘘引起的并发血尿和直肠出血。膀胱瘘的其他原因包括克罗恩病、放射线和恶性肿瘤,但最常见的原因是复杂的憩室炎,如本例。计算机断层扫描(CT)成像,膀胱镜检查和胃涂鸦灌肠已被描述为高产诊断试验。有趣的是,结肠镜检查仅在大约55%的病例中成功诊断结肠瘘。治疗通常需要手术干预,在这种情况下,保守治疗成功有限。在出现粪尿、肺炎、排尿困难以及血尿的患者中,应考虑膀胱瘘。
本文章由计算机程序翻译,如有差异,请以英文原文为准。
求助全文
约1分钟内获得全文 求助全文
来源期刊
Case Reports in Gastrointestinal Medicine
Case Reports in Gastrointestinal Medicine GASTROENTEROLOGY & HEPATOLOGY-
自引率
0.00%
发文量
33
审稿时长
14 weeks
×
引用
GB/T 7714-2015
复制
MLA
复制
APA
复制
导出至
BibTeX EndNote RefMan NoteFirst NoteExpress
×
提示
您的信息不完整,为了账户安全,请先补充。
现在去补充
×
提示
您因"违规操作"
具体请查看互助需知
我知道了
×
提示
确定
请完成安全验证×
copy
已复制链接
快去分享给好友吧!
我知道了
右上角分享
点击右上角分享
0
联系我们:info@booksci.cn Book学术提供免费学术资源搜索服务,方便国内外学者检索中英文文献。致力于提供最便捷和优质的服务体验。 Copyright © 2023 布克学术 All rights reserved.
京ICP备2023020795号-1
ghs 京公网安备 11010802042870号
Book学术文献互助
Book学术文献互助群
群 号:604180095
Book学术官方微信