Wilkie's Syndrome following Chemotherapy: A Case Report and a Review of Literature.

IF 0.5 Q4 GASTROENTEROLOGY & HEPATOLOGY
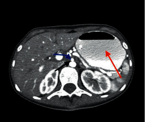
Case Reports in Gastrointestinal Medicine Pub Date : 2022-07-22 eCollection Date: 2022-01-01 DOI:10.1155/2022/7783074
Nicholas J Corsi, Ahmad A Abu-Heija, Anand Kumar Ravi, Matthew P Corsi, Murray N Ehrinpreis
{"title":"Wilkie's Syndrome following Chemotherapy: A Case Report and a Review of Literature.","authors":"Nicholas J Corsi,&nbsp;Ahmad A Abu-Heija,&nbsp;Anand Kumar Ravi,&nbsp;Matthew P Corsi,&nbsp;Murray N Ehrinpreis","doi":"10.1155/2022/7783074","DOIUrl":null,"url":null,"abstract":"<p><p>Superior mesenteric artery (SMA) syndrome is a rare etiology of upper gastrointestinal obstruction. The measured angle between the SMA and the aorta is typically between 38 and 65° and maintained by mesenteric fat. Excessive fat loss can lead to intestinal obstruction due to an exaggerated acute angularity of the SMA, compressing the third part of the duodenum. We present a 22-year-old female with a history of aplastic anemia, status post bone-marrow transplant, who presented with intractable nausea and had confirmed SMA syndrome on CT angiography. Subsequently, the patient underwent nasogastric decompression and successful laparoscopic duodenojejunostomy.</p>","PeriodicalId":45645,"journal":{"name":"Case Reports in Gastrointestinal Medicine","volume":" ","pages":"7783074"},"PeriodicalIF":0.5000,"publicationDate":"2022-07-22","publicationTypes":"Journal Article","fieldsOfStudy":null,"isOpenAccess":false,"openAccessPdf":"https://www.ncbi.nlm.nih.gov/pmc/articles/PMC9337918/pdf/","citationCount":"0","resultStr":null,"platform":"Semanticscholar","paperid":null,"PeriodicalName":"Case Reports in Gastrointestinal Medicine","FirstCategoryId":"1085","ListUrlMain":"https://doi.org/10.1155/2022/7783074","RegionNum":0,"RegionCategory":null,"ArticlePicture":[],"TitleCN":null,"AbstractTextCN":null,"PMCID":null,"EPubDate":"2022/1/1 0:00:00","PubModel":"eCollection","JCR":"Q4","JCRName":"GASTROENTEROLOGY & HEPATOLOGY","Score":null,"Total":0}
引用次数: 0

Abstract

Superior mesenteric artery (SMA) syndrome is a rare etiology of upper gastrointestinal obstruction. The measured angle between the SMA and the aorta is typically between 38 and 65° and maintained by mesenteric fat. Excessive fat loss can lead to intestinal obstruction due to an exaggerated acute angularity of the SMA, compressing the third part of the duodenum. We present a 22-year-old female with a history of aplastic anemia, status post bone-marrow transplant, who presented with intractable nausea and had confirmed SMA syndrome on CT angiography. Subsequently, the patient underwent nasogastric decompression and successful laparoscopic duodenojejunostomy.

Abstract Image

Abstract Image

Abstract Image

化疗后的威尔基综合征:1例报告及文献回顾。
摘要肠系膜上动脉症候群是一种罕见的上消化道梗阻病因。SMA与主动脉之间的测量角度通常在38°至65°之间,由肠系膜脂肪维持。由于SMA的急性角度过大,压迫十二指肠的第三部分,脂肪的过度减少可导致肠梗阻。我们报告一位22岁的女性,有再生障碍性贫血史,骨髓移植后的状态,她表现为顽固性恶心,CT血管造影证实为SMA综合征。随后,患者接受了鼻胃减压术和成功的腹腔镜十二指肠空肠吻合术。
本文章由计算机程序翻译,如有差异,请以英文原文为准。
求助全文
约1分钟内获得全文 求助全文
来源期刊
Case Reports in Gastrointestinal Medicine
Case Reports in Gastrointestinal Medicine GASTROENTEROLOGY & HEPATOLOGY-
自引率
0.00%
发文量
33
审稿时长
14 weeks
×
引用
GB/T 7714-2015
复制
MLA
复制
APA
复制
导出至
BibTeX EndNote RefMan NoteFirst NoteExpress
×
提示
您的信息不完整,为了账户安全,请先补充。
现在去补充
×
提示
您因"违规操作"
具体请查看互助需知
我知道了
×
提示
确定
请完成安全验证×
copy
已复制链接
快去分享给好友吧!
我知道了
右上角分享
点击右上角分享
0
联系我们:info@booksci.cn Book学术提供免费学术资源搜索服务,方便国内外学者检索中英文文献。致力于提供最便捷和优质的服务体验。 Copyright © 2023 布克学术 All rights reserved.
京ICP备2023020795号-1
ghs 京公网安备 11010802042870号
Book学术文献互助
Book学术文献互助群
群 号:604180095
Book学术官方微信