A Rare Case of MRSA Pericarditis with Expanding, Purulent Pericardial Effusion Leading to Uremic Kidney Failure from a Right, Necrotic Toe.

IF 0.5 Q4 CARDIAC & CARDIOVASCULAR SYSTEMS
Case Reports in Cardiology Pub Date : 2022-10-29 eCollection Date: 2022-01-01 DOI:10.1155/2022/7041740
Justin Brilliant, Diep Edwards, Ritu Yadav, Jana Lovell, Lena Mathews
{"title":"A Rare Case of MRSA Pericarditis with Expanding, Purulent Pericardial Effusion Leading to Uremic Kidney Failure from a Right, Necrotic Toe.","authors":"Justin Brilliant,&nbsp;Diep Edwards,&nbsp;Ritu Yadav,&nbsp;Jana Lovell,&nbsp;Lena Mathews","doi":"10.1155/2022/7041740","DOIUrl":null,"url":null,"abstract":"<p><p>Purulent pericarditis is an extremely rare entity with only a few reported cases so far. This condition deserves prompt diagnosis because of its significant mortality rate if left untreated. A 76-year-old man with a past medical history of coronary artery disease (CAD) with percutaneous coronary intervention (PCI) to the left anterior descending artery (LAD) and right circumflex artery (RCA), ischemic cardiomyopathy with moderately reduced ejection fraction (EF 45-50%), peripheral artery disease (PAD), COVID-19 pneumonia complicated by fibrotic lung disease (on 3 liters of home oxygen), type-2 diabetes mellitus (T2DM), hypertension (HTN), hyperlipidemia (HLD), and chronic kidney disease (CKD) stage III presented with complaints of pleuritic chest pain and shortness of breath. On hospital day 1, he was afebrile and hemodynamically stable with physical exam remarkable for bibasilar crackles and dry gangrene of his right first toe. He developed progressive altered mental status, hypotension, oliguric renal failure, and respiratory distress on hospital day 6. On exam at this time, he had an elevated jugular venous distension (JVD) of 12-14 cm water, pericardial friction rub with decreased heart sounds, and orthopnea; all were consistent with cardiac tamponade clinically. An electrocardiogram (EKG) showed new ST elevations in leads I, II, and aVL with ST depression in aVR and V1 with only mild elevation in troponin I to 0.07 ng/mL. A transthoracic echocardiogram (TTE) was done on hospital day 7 and showed a moderate sized pericardial effusion with inferior vena cava (IVC) enlargement but no atrial collapse, ventricular collapse, IVC collapse, or respiratory variation in the mitral and tricuspid inflow velocities. Blood cultures grew methicillin-resistant <i>Staphylococcus aureus</i> (MRSA) on hospital day 6, and he was started on intravenous (IV) vancomycin. The differential diagnosis for his enlarging pericardial effusion included purulent pericarditis, uremic pericarditis, or hemorrhagic effusion. He had urgent diagnostic and therapeutic pericardiocentesis with removal of 350 milliliters of fluid. The pericardial fluid was cloudy, tan-brown with a gram stain showing gram-positive cocci in clusters and cultures growing MRSA, which confirmed the diagnosis of purulent pericarditis secondary to MRSA infection. After the pericardiocentesis, his blood pressure, respiratory distress, and renal failure improved. The source of the bacteremia was from osteomyelitis of his gangrenous, right toe with bone biopsy growing both MRSA and <i>Streptococcus anginosus</i>. He underwent toe amputation for definitive source control. He was discharged on hospital day 24 with a plan to complete 6 weeks of IV vancomycin.</p>","PeriodicalId":51760,"journal":{"name":"Case Reports in Cardiology","volume":" ","pages":"7041740"},"PeriodicalIF":0.5000,"publicationDate":"2022-10-29","publicationTypes":"Journal Article","fieldsOfStudy":null,"isOpenAccess":false,"openAccessPdf":"https://www.ncbi.nlm.nih.gov/pmc/articles/PMC9637036/pdf/","citationCount":"1","resultStr":null,"platform":"Semanticscholar","paperid":null,"PeriodicalName":"Case Reports in Cardiology","FirstCategoryId":"1085","ListUrlMain":"https://doi.org/10.1155/2022/7041740","RegionNum":0,"RegionCategory":null,"ArticlePicture":[],"TitleCN":null,"AbstractTextCN":null,"PMCID":null,"EPubDate":"2022/1/1 0:00:00","PubModel":"eCollection","JCR":"Q4","JCRName":"CARDIAC & CARDIOVASCULAR SYSTEMS","Score":null,"Total":0}
引用次数: 1

Abstract

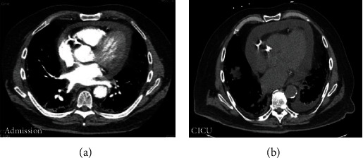
Purulent pericarditis is an extremely rare entity with only a few reported cases so far. This condition deserves prompt diagnosis because of its significant mortality rate if left untreated. A 76-year-old man with a past medical history of coronary artery disease (CAD) with percutaneous coronary intervention (PCI) to the left anterior descending artery (LAD) and right circumflex artery (RCA), ischemic cardiomyopathy with moderately reduced ejection fraction (EF 45-50%), peripheral artery disease (PAD), COVID-19 pneumonia complicated by fibrotic lung disease (on 3 liters of home oxygen), type-2 diabetes mellitus (T2DM), hypertension (HTN), hyperlipidemia (HLD), and chronic kidney disease (CKD) stage III presented with complaints of pleuritic chest pain and shortness of breath. On hospital day 1, he was afebrile and hemodynamically stable with physical exam remarkable for bibasilar crackles and dry gangrene of his right first toe. He developed progressive altered mental status, hypotension, oliguric renal failure, and respiratory distress on hospital day 6. On exam at this time, he had an elevated jugular venous distension (JVD) of 12-14 cm water, pericardial friction rub with decreased heart sounds, and orthopnea; all were consistent with cardiac tamponade clinically. An electrocardiogram (EKG) showed new ST elevations in leads I, II, and aVL with ST depression in aVR and V1 with only mild elevation in troponin I to 0.07 ng/mL. A transthoracic echocardiogram (TTE) was done on hospital day 7 and showed a moderate sized pericardial effusion with inferior vena cava (IVC) enlargement but no atrial collapse, ventricular collapse, IVC collapse, or respiratory variation in the mitral and tricuspid inflow velocities. Blood cultures grew methicillin-resistant Staphylococcus aureus (MRSA) on hospital day 6, and he was started on intravenous (IV) vancomycin. The differential diagnosis for his enlarging pericardial effusion included purulent pericarditis, uremic pericarditis, or hemorrhagic effusion. He had urgent diagnostic and therapeutic pericardiocentesis with removal of 350 milliliters of fluid. The pericardial fluid was cloudy, tan-brown with a gram stain showing gram-positive cocci in clusters and cultures growing MRSA, which confirmed the diagnosis of purulent pericarditis secondary to MRSA infection. After the pericardiocentesis, his blood pressure, respiratory distress, and renal failure improved. The source of the bacteremia was from osteomyelitis of his gangrenous, right toe with bone biopsy growing both MRSA and Streptococcus anginosus. He underwent toe amputation for definitive source control. He was discharged on hospital day 24 with a plan to complete 6 weeks of IV vancomycin.

Abstract Image

Abstract Image

Abstract Image

一例罕见MRSA心包炎伴扩张化脓性心包积液导致右侧坏死脚趾尿毒症性肾衰竭。
化脓性心包炎是一种极为罕见的疾病,目前仅有少数病例报道。这种情况应得到及时诊断,因为如果不加以治疗,其死亡率很高。76岁男性,既往有冠状动脉疾病(CAD)合并左前降支(LAD)和右旋支(RCA)经皮冠状动脉介入治疗(PCI),缺血性心肌病伴射血分数中度降低(EF 45-50%),外周动脉疾病(PAD), COVID-19肺炎合并纤维化肺病(3升家庭氧气),2型糖尿病(T2DM),高血压(HTN),高脂血症(HLD),慢性肾脏疾病(CKD) III期表现为胸膜性胸痛和呼吸短促。入院第一天,患者发热,血流动力学稳定,体格检查发现双基底裂和右第一脚趾干性坏疽。住院第6天出现进行性精神状态改变、低血压、少尿性肾功能衰竭和呼吸窘迫。此时检查时颈静脉扩张(JVD)升高12-14 cm水,心包摩擦摩擦伴心音减弱,直通气;临床均符合心包填塞。心电图显示I、II和aVL导联新的ST升高,aVR和V1导联ST降低,肌钙蛋白I仅轻度升高至0.07 ng/mL。住院第7天经胸超声心动图(TTE)显示中度心包积液伴下腔静脉(IVC)增大,但未见心房塌陷、心室塌陷、下腔静脉塌陷或二尖瓣和三尖瓣流入速度的呼吸变化。住院第6天,血液培养培养出耐甲氧西林金黄色葡萄球菌(MRSA),患者开始静脉注射万古霉素。心包积液扩大的鉴别诊断包括化脓性心包炎、尿毒性心包炎或出血性心包炎。他接受了紧急诊断和治疗性心包穿刺,并取出了350毫升液体。心包液混浊,棕褐色,革兰氏染色显示革兰氏阳性球菌聚集,培养物生长MRSA,证实继发于MRSA感染的化脓性心包炎的诊断。经心包穿刺后,患者血压、呼吸窘迫及肾功能衰竭均有改善。细菌血症的来源是坏疽性右脚骨髓炎,骨活检中发现MRSA和血管性链球菌。为了控制病源,他接受了脚趾截肢手术。患者于住院第24天出院,计划完成6周静脉注射万古霉素。
本文章由计算机程序翻译,如有差异,请以英文原文为准。
求助全文
约1分钟内获得全文 求助全文
来源期刊
Case Reports in Cardiology
Case Reports in Cardiology CARDIAC & CARDIOVASCULAR SYSTEMS-
自引率
0.00%
发文量
63
审稿时长
13 weeks
期刊介绍: Case Reports in Cardiology is a peer-reviewed, Open Access journal that publishes case reports and case series related to hypertension, arrhythmia, congestive heart failure, valvular heart disease, vascular disease, congenital heart disease and cardiomyopathy.
×
引用
GB/T 7714-2015
复制
MLA
复制
APA
复制
导出至
BibTeX EndNote RefMan NoteFirst NoteExpress
×
提示
您的信息不完整,为了账户安全,请先补充。
现在去补充
×
提示
您因"违规操作"
具体请查看互助需知
我知道了
×
提示
确定
请完成安全验证×
copy
已复制链接
快去分享给好友吧!
我知道了
右上角分享
点击右上角分享
0
联系我们:info@booksci.cn Book学术提供免费学术资源搜索服务,方便国内外学者检索中英文文献。致力于提供最便捷和优质的服务体验。 Copyright © 2023 布克学术 All rights reserved.
京ICP备2023020795号-1
ghs 京公网安备 11010802042870号
Book学术文献互助
Book学术文献互助群
群 号:604180095
Book学术官方微信