Noninvasive Evaluation of EGFR Expression of Digestive Tumors Using 99mTc-MAG3-Cet-F(ab')2-Based SPECT/CT Imaging.

IF 2.4 4区 医学 Q3 BIOCHEMICAL RESEARCH METHODS
Molecular Imaging Pub Date : 2022-06-24 eCollection Date: 2022-01-01 DOI:10.1155/2022/3748315
Dai Shi, Yiqiu Zhang, Zhan Xu, Zhan Si, Yuan Cheng, Dengfeng Cheng, Guobing Liu
{"title":"Noninvasive Evaluation of EGFR Expression of Digestive Tumors Using <sup>99m</sup>Tc-MAG<sub>3</sub>-Cet-F(ab')<sub>2</sub>-Based SPECT/CT Imaging.","authors":"Dai Shi,&nbsp;Yiqiu Zhang,&nbsp;Zhan Xu,&nbsp;Zhan Si,&nbsp;Yuan Cheng,&nbsp;Dengfeng Cheng,&nbsp;Guobing Liu","doi":"10.1155/2022/3748315","DOIUrl":null,"url":null,"abstract":"<p><strong>Purpose: </strong>This study is aimed at investigating the feasibility of cetuximab (Cet) F(ab')<sub>2</sub> fragment- (Cet-F(ab')<sub>2</sub>-) based single photon emission tomography/computed tomography (SPECT/CT) for assessing the epidermal growth factor receptor (EGFR) expression in digestive tumor mouse models.</p><p><strong>Methods: </strong>Cet-F(ab')<sub>2</sub> was synthesized using immunoglobulin G-degrading enzyme of <i>Streptococcus pyogenes</i> (IdeS) protease and purified with protein A beads. The product and its in vitro stability in normal saline and 1% bovine serum albumin were analyzed with sodium dodecyl sulfate-polyacrylamide gel electrophoresis. The EGFR expression in the human colon tumor cell line HT29 and the human stomach tumor cell line MGC803 were verified using western blotting and immunocytochemistry. Cet-F(ab')<sub>2</sub> was conjugated with 5(6)-carboxytetramethylrhodamine succinimidyl ester to demonstrate its binding ability to the MGC803 and HT29 cells. Cet-F(ab')<sub>2</sub> was conjugated with NHS-MAG<sub>3</sub> for <sup>99m</sup>Tc radiolabeling. The best imaging time was determined using a biodistribution assay at 1, 4, 16, and 24 h after injection of the <sup>99m</sup>Tc-MAG<sub>3</sub>-Cet-F(ab')<sub>2</sub> tracer. Furthermore, <sup>99m</sup>Tc-MAG<sub>3</sub>-Cet-F(ab')<sub>2</sub> SPECT/CT was performed on MGC803 and HT29 tumor-bearing nude mice.</p><p><strong>Results: </strong>HT29 cells had low EGFR expression while MGC803 cell exhibited the high EGFR expression. Cet-F(ab')<sub>2</sub> and intact cetuximab showed similar high binding ability to MGC803 cells but not to HT29 cells. Cet-F(ab')<sub>2</sub> and <sup>99m</sup>Tc-MAG<sub>3</sub>-Cet-F(ab')<sub>2</sub> showed excellent in vitro stability. The biodistribution assay showed that the target to nontarget ratio was the highest at 16 h (17.29 ± 5.72, <i>n</i> = 4) after tracer injection. The <sup>99m</sup>Tc-MAG<sub>3</sub>-Cet-F(ab')<sub>2</sub>-based SPECT/CT imaging revealed rapid and sustained tracer uptake in MGC803 tumors rather than in HT29 tumors with high image contrast, which was consistent with the results in vitro.</p><p><strong>Conclusion: </strong>SPECT/CT imaging using <sup>99m</sup>Tc-MAG<sub>3</sub>-Cet-F(ab')<sub>2</sub> enables the evaluation of the EGFR expression in murine EGFR-positive tumors, indicating the potential utility for noninvasive evaluation of the EGFR expression in tumors.</p>","PeriodicalId":18855,"journal":{"name":"Molecular Imaging","volume":" ","pages":"3748315"},"PeriodicalIF":2.4000,"publicationDate":"2022-06-24","publicationTypes":"Journal Article","fieldsOfStudy":null,"isOpenAccess":false,"openAccessPdf":"https://www.ncbi.nlm.nih.gov/pmc/articles/PMC9281432/pdf/","citationCount":"1","resultStr":null,"platform":"Semanticscholar","paperid":null,"PeriodicalName":"Molecular Imaging","FirstCategoryId":"3","ListUrlMain":"https://doi.org/10.1155/2022/3748315","RegionNum":4,"RegionCategory":"医学","ArticlePicture":[],"TitleCN":null,"AbstractTextCN":null,"PMCID":null,"EPubDate":"2022/1/1 0:00:00","PubModel":"eCollection","JCR":"Q3","JCRName":"BIOCHEMICAL RESEARCH METHODS","Score":null,"Total":0}
引用次数: 1

Abstract

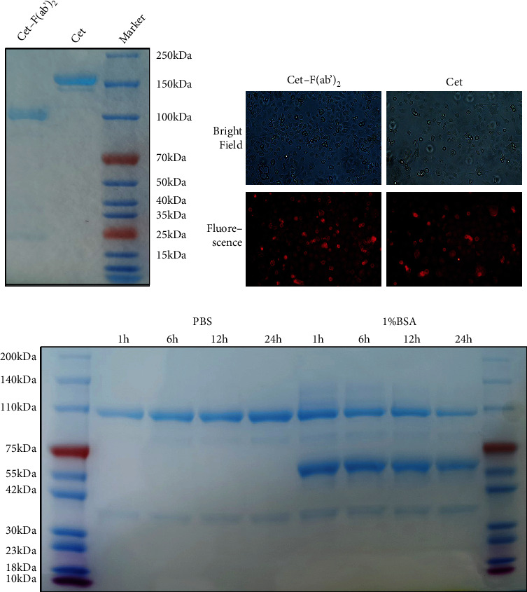
Purpose: This study is aimed at investigating the feasibility of cetuximab (Cet) F(ab')2 fragment- (Cet-F(ab')2-) based single photon emission tomography/computed tomography (SPECT/CT) for assessing the epidermal growth factor receptor (EGFR) expression in digestive tumor mouse models.

Methods: Cet-F(ab')2 was synthesized using immunoglobulin G-degrading enzyme of Streptococcus pyogenes (IdeS) protease and purified with protein A beads. The product and its in vitro stability in normal saline and 1% bovine serum albumin were analyzed with sodium dodecyl sulfate-polyacrylamide gel electrophoresis. The EGFR expression in the human colon tumor cell line HT29 and the human stomach tumor cell line MGC803 were verified using western blotting and immunocytochemistry. Cet-F(ab')2 was conjugated with 5(6)-carboxytetramethylrhodamine succinimidyl ester to demonstrate its binding ability to the MGC803 and HT29 cells. Cet-F(ab')2 was conjugated with NHS-MAG3 for 99mTc radiolabeling. The best imaging time was determined using a biodistribution assay at 1, 4, 16, and 24 h after injection of the 99mTc-MAG3-Cet-F(ab')2 tracer. Furthermore, 99mTc-MAG3-Cet-F(ab')2 SPECT/CT was performed on MGC803 and HT29 tumor-bearing nude mice.

Results: HT29 cells had low EGFR expression while MGC803 cell exhibited the high EGFR expression. Cet-F(ab')2 and intact cetuximab showed similar high binding ability to MGC803 cells but not to HT29 cells. Cet-F(ab')2 and 99mTc-MAG3-Cet-F(ab')2 showed excellent in vitro stability. The biodistribution assay showed that the target to nontarget ratio was the highest at 16 h (17.29 ± 5.72, n = 4) after tracer injection. The 99mTc-MAG3-Cet-F(ab')2-based SPECT/CT imaging revealed rapid and sustained tracer uptake in MGC803 tumors rather than in HT29 tumors with high image contrast, which was consistent with the results in vitro.

Conclusion: SPECT/CT imaging using 99mTc-MAG3-Cet-F(ab')2 enables the evaluation of the EGFR expression in murine EGFR-positive tumors, indicating the potential utility for noninvasive evaluation of the EGFR expression in tumors.

Abstract Image

Abstract Image

Abstract Image

使用基于99mTc-MAG3-Cet-F(ab')2的SPECT/CT成像无创评估消化道肿瘤EGFR表达
目的:本研究旨在探讨西妥昔单抗(Cet) F(ab’)2片段- (Cet-F(ab’)2-)为基础的单光子发射断层扫描/计算机断层扫描(SPECT/CT)评估消化道肿瘤小鼠模型中表皮生长因子受体(EGFR)表达的可行性。方法:利用化脓性链球菌(IdeS)蛋白酶免疫球蛋白g降解酶合成Cet-F(ab’)2,并用蛋白A珠纯化。采用十二烷基硫酸钠-聚丙烯酰胺凝胶电泳法分析产物在生理盐水和1%牛血清白蛋白中的体外稳定性。采用western blotting和免疫细胞化学检测EGFR在人结肠肿瘤细胞系HT29和人胃肿瘤细胞系MGC803中的表达。将Cet-F(ab')2与5(6)-羧基四甲基罗丹明琥珀酰酰酯偶联,验证其与MGC803和HT29细胞的结合能力。Cet-F(ab')2与NHS-MAG3偶联,用于99mTc放射性标记。在注射99mTc-MAG3-Cet-F(ab')2示踪剂后1、4、16和24 h,通过生物分布试验确定最佳成像时间。并对MGC803和HT29荷瘤裸鼠进行99mTc-MAG3-Cet-F(ab’)2 SPECT/CT检测。结果:HT29细胞EGFR低表达,MGC803细胞EGFR高表达。Cet-F(ab’)2和完整的西妥昔单抗对MGC803细胞具有相似的高结合能力,而对HT29细胞则没有。Cet-F(ab’)2和99mTc-MAG3-Cet-F(ab’)2具有良好的体外稳定性。生物分布试验显示,注射示踪剂后16 h靶非靶比最高(17.29±5.72,n = 4)。基于99mtc - mag3 - et- f (ab')2的SPECT/CT成像显示,在MGC803肿瘤中,而在HT29肿瘤中,示踪剂摄取快速且持续,具有高图像对比度,这与体外实验结果一致。结论:使用99mTc-MAG3-Cet-F(ab')2进行SPECT/CT成像可以评估小鼠EGFR阳性肿瘤中EGFR的表达,表明无创评估肿瘤中EGFR表达的潜在用途。
本文章由计算机程序翻译,如有差异,请以英文原文为准。
求助全文
约1分钟内获得全文 求助全文
来源期刊
Molecular Imaging
Molecular Imaging Biochemistry, Genetics and Molecular Biology-Biotechnology
自引率
3.60%
发文量
21
期刊介绍: Molecular Imaging is a peer-reviewed, open access journal highlighting the breadth of molecular imaging research from basic science to preclinical studies to human applications. This serves both the scientific and clinical communities by disseminating novel results and concepts relevant to the biological study of normal and disease processes in both basic and translational studies ranging from mice to humans.
×
引用
GB/T 7714-2015
复制
MLA
复制
APA
复制
导出至
BibTeX EndNote RefMan NoteFirst NoteExpress
×
提示
您的信息不完整,为了账户安全,请先补充。
现在去补充
×
提示
您因"违规操作"
具体请查看互助需知
我知道了
×
提示
确定
请完成安全验证×
copy
已复制链接
快去分享给好友吧!
我知道了
右上角分享
点击右上角分享
0
联系我们:info@booksci.cn Book学术提供免费学术资源搜索服务,方便国内外学者检索中英文文献。致力于提供最便捷和优质的服务体验。 Copyright © 2023 布克学术 All rights reserved.
京ICP备2023020795号-1
ghs 京公网安备 11010802042870号
Book学术文献互助
Book学术文献互助群
群 号:604180095
Book学术官方微信