Diagnosis and Management of a Unique Iatrogenic Biatrial Gerbode Defect.

Q3 Medicine
Case Reports in Anesthesiology Pub Date : 2022-07-18 eCollection Date: 2022-01-01 DOI:10.1155/2022/6998632
Karim Shuaib, Giacomo Scorsese, Christopher Seiter, Eric Zabirowicz, Jeremy Poppers
{"title":"Diagnosis and Management of a Unique Iatrogenic Biatrial Gerbode Defect.","authors":"Karim Shuaib,&nbsp;Giacomo Scorsese,&nbsp;Christopher Seiter,&nbsp;Eric Zabirowicz,&nbsp;Jeremy Poppers","doi":"10.1155/2022/6998632","DOIUrl":null,"url":null,"abstract":"<p><p>The Gerbode defect was first described in the late 1950s as a congenital peri-membranous ventricular septal defect (VSD), resulting in a left to right ventriculoatrial shunt. We present a case of a patient with restenosis of a prior bioprosthetic aortic valve (AV) who underwent reoperative AV replacement (AVR), which was complicated by a unique iatrogenic Gerbode defect with concurrent LV-LA communication. Our case highlights the unique complications resulting from ventriculoatrial shunts, with consideration paid to the management of ventriculoatrial defects described.</p>","PeriodicalId":36504,"journal":{"name":"Case Reports in Anesthesiology","volume":" ","pages":"6998632"},"PeriodicalIF":0.0000,"publicationDate":"2022-07-18","publicationTypes":"Journal Article","fieldsOfStudy":null,"isOpenAccess":false,"openAccessPdf":"https://www.ncbi.nlm.nih.gov/pmc/articles/PMC9313924/pdf/","citationCount":"0","resultStr":null,"platform":"Semanticscholar","paperid":null,"PeriodicalName":"Case Reports in Anesthesiology","FirstCategoryId":"1085","ListUrlMain":"https://doi.org/10.1155/2022/6998632","RegionNum":0,"RegionCategory":null,"ArticlePicture":[],"TitleCN":null,"AbstractTextCN":null,"PMCID":null,"EPubDate":"2022/1/1 0:00:00","PubModel":"eCollection","JCR":"Q3","JCRName":"Medicine","Score":null,"Total":0}
引用次数: 0

Abstract

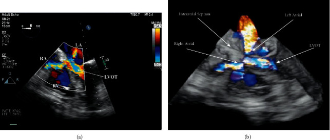
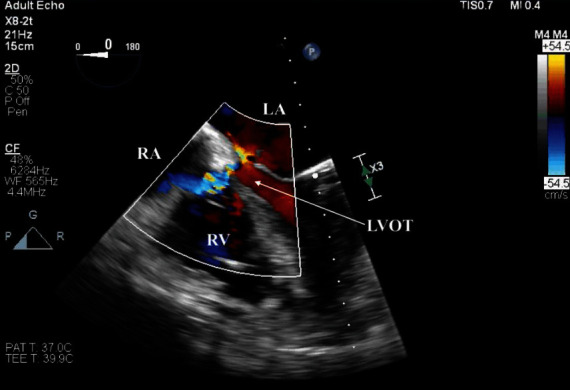
The Gerbode defect was first described in the late 1950s as a congenital peri-membranous ventricular septal defect (VSD), resulting in a left to right ventriculoatrial shunt. We present a case of a patient with restenosis of a prior bioprosthetic aortic valve (AV) who underwent reoperative AV replacement (AVR), which was complicated by a unique iatrogenic Gerbode defect with concurrent LV-LA communication. Our case highlights the unique complications resulting from ventriculoatrial shunts, with consideration paid to the management of ventriculoatrial defects described.

Abstract Image

Abstract Image

Abstract Image

一种独特的医源性双房Gerbode缺陷的诊断和治疗。
Gerbode缺陷在20世纪50年代末首次被描述为先天性膜周围室间隔缺损(VSD),导致左至右心室心房分流。我们报告了一例先前的生物人工主动脉瓣(AV)再狭窄的患者,他接受了再手术的AV置换术(AVR),这是一个独特的医源性Gerbode缺陷,并发LV-LA通讯。我们的病例强调了独特的并发症导致的脑室-房分流,考虑支付的脑室-房缺陷的管理描述。
本文章由计算机程序翻译,如有差异,请以英文原文为准。
求助全文
约1分钟内获得全文 求助全文
来源期刊
Case Reports in Anesthesiology
Case Reports in Anesthesiology Medicine-Anesthesiology and Pain Medicine
CiteScore
1.40
自引率
0.00%
发文量
19
审稿时长
12 weeks
×
引用
GB/T 7714-2015
复制
MLA
复制
APA
复制
导出至
BibTeX EndNote RefMan NoteFirst NoteExpress
×
提示
您的信息不完整,为了账户安全,请先补充。
现在去补充
×
提示
您因"违规操作"
具体请查看互助需知
我知道了
×
提示
确定
请完成安全验证×
copy
已复制链接
快去分享给好友吧!
我知道了
右上角分享
点击右上角分享
0
联系我们:info@booksci.cn Book学术提供免费学术资源搜索服务,方便国内外学者检索中英文文献。致力于提供最便捷和优质的服务体验。 Copyright © 2023 布克学术 All rights reserved.
京ICP备2023020795号-1
ghs 京公网安备 11010802042870号
Book学术文献互助
Book学术文献互助群
群 号:604180095
Book学术官方微信