Fungal Virus, FgHV1-Encoded p20 Suppresses RNA Silencing through Single-Strand Small RNA Binding.

Shuangchao Wang, Jingze Zhang, Clement Nzabanita, Mingming Zhang, Jianhua Nie, Lihua Guo
{"title":"Fungal Virus, FgHV1-Encoded p20 Suppresses RNA Silencing through Single-Strand Small RNA Binding.","authors":"Shuangchao Wang,&nbsp;Jingze Zhang,&nbsp;Clement Nzabanita,&nbsp;Mingming Zhang,&nbsp;Jianhua Nie,&nbsp;Lihua Guo","doi":"10.3390/jof8111171","DOIUrl":null,"url":null,"abstract":"<p><p>Fungal viruses are widespread in fungi infecting plants, insects and animals. High-throughput sequencing has rapidly led to the discovery of fungal viruses. However, the interactive exploration between fungi and viruses is relatively limited. RNA silencing is the fundamental antivirus pathway in fungi. <i>Fusarium graminearum</i> small RNA (sRNA) pattern was regulated by Fusarium graminearum hypovirus 1 (FgHV1) infection, indicating the activation of RNA silencing in virus defense. In this study, we focused on the function of an uncharacterized protein sized at 20 kD (p20) encoded by FgHV1. In the agro-infiltration assay, p20 was identified as a novel fungal RNA silencing suppressor. p20 can block systemic RNA silencing signals besides local RNA silencing suppression. We further elucidated the RNA silencing suppression mechanism of p20. The single-strand sRNA, instead of double-strand sRNA, can be incorporated by p20 in electrophoretic mobility shift assay. p20 binds sRNA originating from virus and non-virus sources in a non-sequence-specific manner. In addition, The <i>F. graminearum</i> 22 and 23-nt sRNA abundance and pathways related to RNA processing and redox regulation were regulated by p20. Our study revealed the first fungal virus-encoded RNA silencing suppressor with sRNA binding capability.</p>","PeriodicalId":520671,"journal":{"name":"Journal of fungi (Basel, Switzerland)","volume":" ","pages":""},"PeriodicalIF":0.0000,"publicationDate":"2022-11-07","publicationTypes":"Journal Article","fieldsOfStudy":null,"isOpenAccess":false,"openAccessPdf":"https://www.ncbi.nlm.nih.gov/pmc/articles/PMC9693516/pdf/","citationCount":"4","resultStr":null,"platform":"Semanticscholar","paperid":null,"PeriodicalName":"Journal of fungi (Basel, Switzerland)","FirstCategoryId":"99","ListUrlMain":"https://doi.org/10.3390/jof8111171","RegionNum":0,"RegionCategory":null,"ArticlePicture":[],"TitleCN":null,"AbstractTextCN":null,"PMCID":null,"EPubDate":"","PubModel":"","JCR":"","JCRName":"","Score":null,"Total":0}
引用次数: 4

Abstract

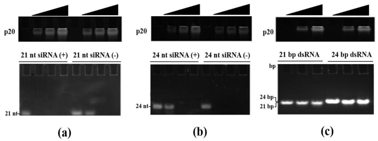
Fungal viruses are widespread in fungi infecting plants, insects and animals. High-throughput sequencing has rapidly led to the discovery of fungal viruses. However, the interactive exploration between fungi and viruses is relatively limited. RNA silencing is the fundamental antivirus pathway in fungi. Fusarium graminearum small RNA (sRNA) pattern was regulated by Fusarium graminearum hypovirus 1 (FgHV1) infection, indicating the activation of RNA silencing in virus defense. In this study, we focused on the function of an uncharacterized protein sized at 20 kD (p20) encoded by FgHV1. In the agro-infiltration assay, p20 was identified as a novel fungal RNA silencing suppressor. p20 can block systemic RNA silencing signals besides local RNA silencing suppression. We further elucidated the RNA silencing suppression mechanism of p20. The single-strand sRNA, instead of double-strand sRNA, can be incorporated by p20 in electrophoretic mobility shift assay. p20 binds sRNA originating from virus and non-virus sources in a non-sequence-specific manner. In addition, The F. graminearum 22 and 23-nt sRNA abundance and pathways related to RNA processing and redox regulation were regulated by p20. Our study revealed the first fungal virus-encoded RNA silencing suppressor with sRNA binding capability.

Abstract Image

Abstract Image

Abstract Image

真菌病毒fghv1编码p20通过单链小RNA结合抑制RNA沉默。
真菌病毒广泛存在于感染植物、昆虫和动物的真菌中。高通量测序已迅速导致真菌病毒的发现。然而,真菌与病毒之间相互作用的探索相对有限。RNA沉默是真菌的基本抗病毒途径。禾谷镰刀菌低病毒1型(FgHV1)感染可调控禾谷镰刀菌小RNA (sRNA)模式,提示RNA沉默在病毒防御中激活。在这项研究中,我们重点研究了FgHV1编码的一个大小为20kd (p20)的未知蛋白的功能。在农业渗透试验中,p20被鉴定为一种新的真菌RNA沉默抑制因子。p20除抑制局部RNA沉默外,还能阻断全身性RNA沉默信号。我们进一步阐明了p20的RNA沉默抑制机制。在电泳迁移率转移试验中,p20可以将单链sRNA而非双链sRNA纳入。p20以非序列特异性的方式结合来自病毒和非病毒源的sRNA。此外,f22和23-nt sRNA丰度以及与RNA加工和氧化还原调控相关的途径均受p20的调控。我们的研究揭示了第一个真菌病毒编码的具有sRNA结合能力的RNA沉默抑制因子。
本文章由计算机程序翻译,如有差异,请以英文原文为准。
求助全文
约1分钟内获得全文 求助全文
来源期刊
自引率
0.00%
发文量
0
×
引用
GB/T 7714-2015
复制
MLA
复制
APA
复制
导出至
BibTeX EndNote RefMan NoteFirst NoteExpress
×
提示
您的信息不完整,为了账户安全,请先补充。
现在去补充
×
提示
您因"违规操作"
具体请查看互助需知
我知道了
×
提示
确定
请完成安全验证×
copy
已复制链接
快去分享给好友吧!
我知道了
右上角分享
点击右上角分享
0
联系我们:info@booksci.cn Book学术提供免费学术资源搜索服务,方便国内外学者检索中英文文献。致力于提供最便捷和优质的服务体验。 Copyright © 2023 布克学术 All rights reserved.
京ICP备2023020795号-1
ghs 京公网安备 11010802042870号
Book学术文献互助
Book学术文献互助群
群 号:604180095
Book学术官方微信