Fibroblastic Connective Tissue Nevus Mimicking Lipoma on Ultrasound: Case Report and Brief Review.

IF 1.7 Q3 DERMATOLOGY
Paola Lara-Valencia, Anna Ybo, Anna Coter
{"title":"Fibroblastic Connective Tissue Nevus Mimicking Lipoma on Ultrasound: Case Report and Brief Review.","authors":"Paola Lara-Valencia,&nbsp;Anna Ybo,&nbsp;Anna Coter","doi":"10.3390/dermatopathology9010005","DOIUrl":null,"url":null,"abstract":"<p><p>Fibroblastic connective tissue nevus (FCTN) is a rare, benign, and recently described dermal mesenchymal lesion characterized by CD34-positive spindle cells. We present a case of FCTN on the upper back of a 9-month-old boy who was diagnosed with a benign lipoma by ultrasound.</p>","PeriodicalId":42885,"journal":{"name":"Dermatopathology","volume":"9 1","pages":"32-34"},"PeriodicalIF":1.7000,"publicationDate":"2022-01-17","publicationTypes":"Journal Article","fieldsOfStudy":null,"isOpenAccess":false,"openAccessPdf":"https://www.ncbi.nlm.nih.gov/pmc/articles/PMC8788548/pdf/","citationCount":"0","resultStr":null,"platform":"Semanticscholar","paperid":null,"PeriodicalName":"Dermatopathology","FirstCategoryId":"1085","ListUrlMain":"https://doi.org/10.3390/dermatopathology9010005","RegionNum":0,"RegionCategory":null,"ArticlePicture":[],"TitleCN":null,"AbstractTextCN":null,"PMCID":null,"EPubDate":"","PubModel":"","JCR":"Q3","JCRName":"DERMATOLOGY","Score":null,"Total":0}
引用次数: 0

Abstract

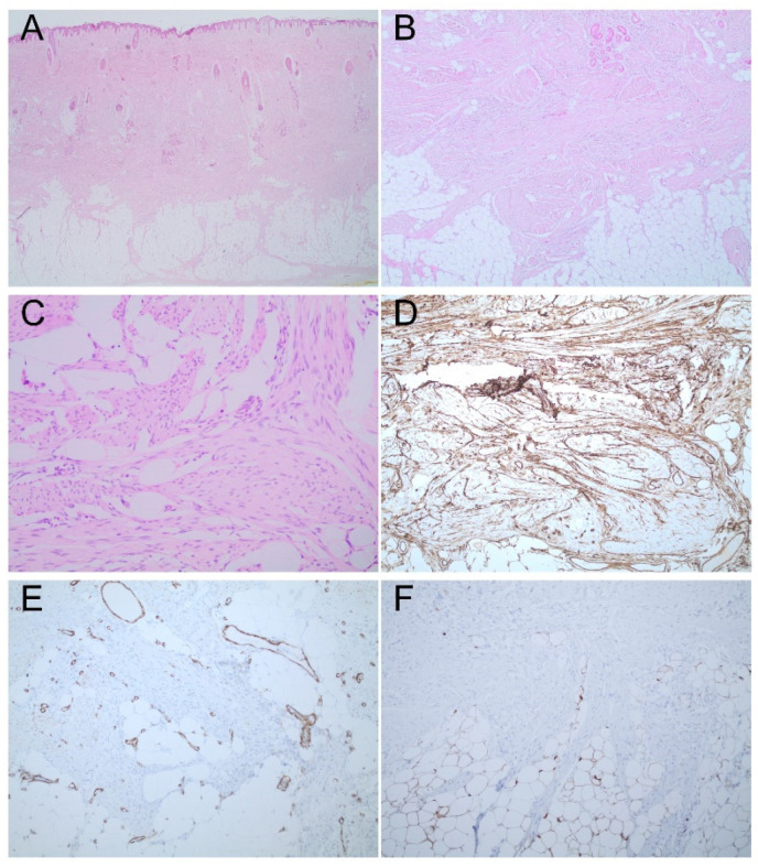
Fibroblastic connective tissue nevus (FCTN) is a rare, benign, and recently described dermal mesenchymal lesion characterized by CD34-positive spindle cells. We present a case of FCTN on the upper back of a 9-month-old boy who was diagnosed with a benign lipoma by ultrasound.

Abstract Image

纤维母细胞结缔组织痣的超声模拟脂肪瘤:1例报告及简要回顾。
纤维母细胞结缔组织痣(FCTN)是一种罕见的良性真皮间充质病变,以cd34阳性梭形细胞为特征。我们提出一个病例FCTN上背部的9个月大的男孩谁被诊断为良性脂肪瘤超声。
本文章由计算机程序翻译,如有差异,请以英文原文为准。
求助全文
约1分钟内获得全文 求助全文
来源期刊
Dermatopathology
Dermatopathology DERMATOLOGY-
自引率
5.30%
发文量
39
审稿时长
11 weeks
×
引用
GB/T 7714-2015
复制
MLA
复制
APA
复制
导出至
BibTeX EndNote RefMan NoteFirst NoteExpress
×
提示
您的信息不完整,为了账户安全,请先补充。
现在去补充
×
提示
您因"违规操作"
具体请查看互助需知
我知道了
×
提示
确定
请完成安全验证×
copy
已复制链接
快去分享给好友吧!
我知道了
右上角分享
点击右上角分享
0
联系我们:info@booksci.cn Book学术提供免费学术资源搜索服务,方便国内外学者检索中英文文献。致力于提供最便捷和优质的服务体验。 Copyright © 2023 布克学术 All rights reserved.
京ICP备2023020795号-1
ghs 京公网安备 11010802042870号
Book学术文献互助
Book学术文献互助群
群 号:604180095
Book学术官方微信