Morphea Profunda with Tertiary Lymphoid Follicles: Description of Two Cases and Review of the Literature.

IF 1.7 Q3 DERMATOLOGY
Angelo Cassisa, Margherita Vannucchi
{"title":"Morphea Profunda with Tertiary Lymphoid Follicles: Description of Two Cases and Review of the Literature.","authors":"Angelo Cassisa,&nbsp;Margherita Vannucchi","doi":"10.3390/dermatopathology9010003","DOIUrl":null,"url":null,"abstract":"<p><p>Morphea profunda or subcutaneous (deep) morphea is a variant of localized morphea, characterized by one or more ill-defined, deep sclerotic plaque. Preferential sites are the abdomen, trunk, sacral area, or extremities. The presence of hyperplastic lymphoid follicles in the context of the sclerotic bands of morphea is rarely described. Localized scleroderma is sustained by a profibrotic inflammatory profile. Transforming growth factor-β (TGF-β), an imbalance between functional subclasses of T-lymphocytes (innate immune cells) has a role in activate collagen deposition. In this case report, we present two cases of morphea profunda with lymphoid follicular hyperplasia. A systematic review of the literature on the pathophysiology of localized scleroderma is also presented, with particular reference to the presence of lymphoid structures.</p>","PeriodicalId":42885,"journal":{"name":"Dermatopathology","volume":"9 1","pages":"17-22"},"PeriodicalIF":1.7000,"publicationDate":"2022-01-10","publicationTypes":"Journal Article","fieldsOfStudy":null,"isOpenAccess":false,"openAccessPdf":"https://www.ncbi.nlm.nih.gov/pmc/articles/PMC8788542/pdf/","citationCount":"0","resultStr":null,"platform":"Semanticscholar","paperid":null,"PeriodicalName":"Dermatopathology","FirstCategoryId":"1085","ListUrlMain":"https://doi.org/10.3390/dermatopathology9010003","RegionNum":0,"RegionCategory":null,"ArticlePicture":[],"TitleCN":null,"AbstractTextCN":null,"PMCID":null,"EPubDate":"","PubModel":"","JCR":"Q3","JCRName":"DERMATOLOGY","Score":null,"Total":0}
引用次数: 0

Abstract

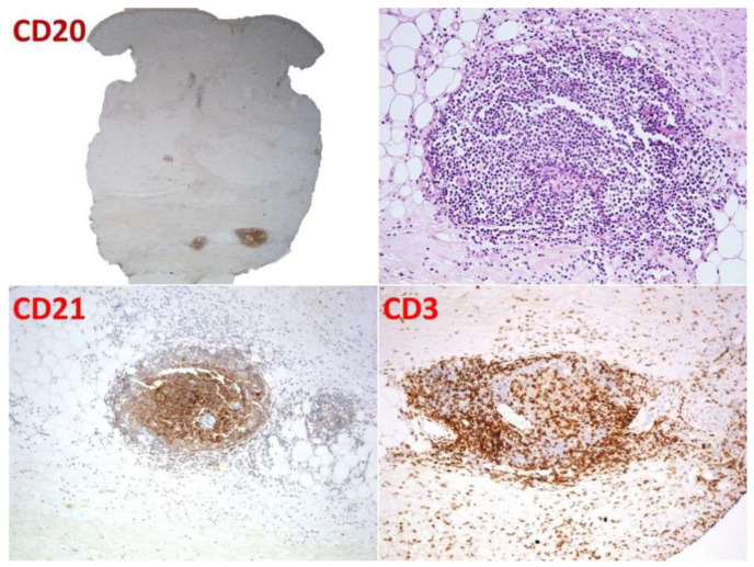
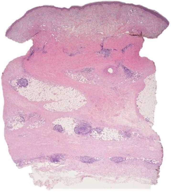
Morphea profunda or subcutaneous (deep) morphea is a variant of localized morphea, characterized by one or more ill-defined, deep sclerotic plaque. Preferential sites are the abdomen, trunk, sacral area, or extremities. The presence of hyperplastic lymphoid follicles in the context of the sclerotic bands of morphea is rarely described. Localized scleroderma is sustained by a profibrotic inflammatory profile. Transforming growth factor-β (TGF-β), an imbalance between functional subclasses of T-lymphocytes (innate immune cells) has a role in activate collagen deposition. In this case report, we present two cases of morphea profunda with lymphoid follicular hyperplasia. A systematic review of the literature on the pathophysiology of localized scleroderma is also presented, with particular reference to the presence of lymphoid structures.

Abstract Image

Abstract Image

Abstract Image

深睡眠伴三级淋巴滤泡:两例报告及文献复习。
深部或皮下(深部)睡眠减退是局部睡眠减退的一种变体,其特征是一个或多个界限不清的深部硬化斑块。首选部位为腹部、躯干、骶部或四肢。在morphea硬化带的背景下,增生淋巴样卵泡的存在很少被描述。局部硬皮病是由纤维化性炎症维持的。转化生长因子-β (TGF-β)是t淋巴细胞(先天免疫细胞)功能亚类之间的不平衡,在激活胶原沉积中起作用。在这个病例报告中,我们提出了两例深脑脊液伴淋巴滤泡增生的病例。对局限性硬皮病的病理生理学文献进行了系统的回顾,特别提到了淋巴样结构的存在。
本文章由计算机程序翻译,如有差异,请以英文原文为准。
求助全文
约1分钟内获得全文 求助全文
来源期刊
Dermatopathology
Dermatopathology DERMATOLOGY-
自引率
5.30%
发文量
39
审稿时长
11 weeks
×
引用
GB/T 7714-2015
复制
MLA
复制
APA
复制
导出至
BibTeX EndNote RefMan NoteFirst NoteExpress
×
提示
您的信息不完整,为了账户安全,请先补充。
现在去补充
×
提示
您因"违规操作"
具体请查看互助需知
我知道了
×
提示
确定
请完成安全验证×
copy
已复制链接
快去分享给好友吧!
我知道了
右上角分享
点击右上角分享
0
联系我们:info@booksci.cn Book学术提供免费学术资源搜索服务,方便国内外学者检索中英文文献。致力于提供最便捷和优质的服务体验。 Copyright © 2023 布克学术 All rights reserved.
京ICP备2023020795号-1
ghs 京公网安备 11010802042870号
Book学术文献互助
Book学术文献互助群
群 号:604180095
Book学术官方微信