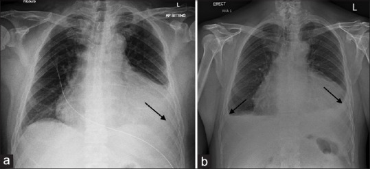
Acute pericarditis and cardiac tamponade after COVID-19 vaccination.

IF 1.9 4区 医学 Q2 MEDICINE, GENERAL & INTERNAL
Singapore medical journal Pub Date : 2024-03-01 Epub Date: 2021-11-08 DOI:10.11622/smedj.2021195
Xiayan Shen, Michelle Siew Hui Koh, Benji Yaozong Lim, Marjurie Demo-Os, Jaime Mei Fong Chien, Anindita Santosa, Aza Abdulmawjood Taha
{"title":"Acute pericarditis and cardiac tamponade after COVID-19 vaccination.","authors":"Xiayan Shen, Michelle Siew Hui Koh, Benji Yaozong Lim, Marjurie Demo-Os, Jaime Mei Fong Chien, Anindita Santosa, Aza Abdulmawjood Taha","doi":"10.11622/smedj.2021195","DOIUrl":null,"url":null,"abstract":"","PeriodicalId":21752,"journal":{"name":"Singapore medical journal","volume":" ","pages":"S20-S23"},"PeriodicalIF":1.9000,"publicationDate":"2024-03-01","publicationTypes":"Journal Article","fieldsOfStudy":null,"isOpenAccess":false,"openAccessPdf":"https://www.ncbi.nlm.nih.gov/pmc/articles/PMC11073657/pdf/","citationCount":"0","resultStr":null,"platform":"Semanticscholar","paperid":null,"PeriodicalName":"Singapore medical journal","FirstCategoryId":"3","ListUrlMain":"https://doi.org/10.11622/smedj.2021195","RegionNum":4,"RegionCategory":"医学","ArticlePicture":[],"TitleCN":null,"AbstractTextCN":null,"PMCID":null,"EPubDate":"2021/11/8 0:00:00","PubModel":"Epub","JCR":"Q2","JCRName":"MEDICINE, GENERAL & INTERNAL","Score":null,"Total":0}
引用次数: 0

Abstract Image

Abstract Image

Abstract Image

接种 Covid-19 疫苗后出现急性心包炎和心脏填塞。
本文章由计算机程序翻译,如有差异,请以英文原文为准。
求助全文
约1分钟内获得全文 求助全文
来源期刊
Singapore medical journal
Singapore medical journal MEDICINE, GENERAL & INTERNAL-
CiteScore
3.40
自引率
3.70%
发文量
149
审稿时长
3-6 weeks
期刊介绍: The Singapore Medical Journal (SMJ) is the monthly publication of Singapore Medical Association (SMA). The Journal aims to advance medical practice and clinical research by publishing high-quality articles that add to the clinical knowledge of physicians in Singapore and worldwide. SMJ is a general medical journal that focuses on all aspects of human health. The Journal publishes commissioned reviews, commentaries and editorials, original research, a small number of outstanding case reports, continuing medical education articles (ECG Series, Clinics in Diagnostic Imaging, Pictorial Essays, Practice Integration & Life-long Learning [PILL] Series), and short communications in the form of letters to the editor.
×
引用
GB/T 7714-2015
复制
MLA
复制
APA
复制
导出至
BibTeX EndNote RefMan NoteFirst NoteExpress
×
提示
您的信息不完整,为了账户安全,请先补充。
现在去补充
×
提示
您因"违规操作"
具体请查看互助需知
我知道了
×
提示
确定
请完成安全验证×
copy
已复制链接
快去分享给好友吧!
我知道了
右上角分享
点击右上角分享
0
联系我们:info@booksci.cn Book学术提供免费学术资源搜索服务,方便国内外学者检索中英文文献。致力于提供最便捷和优质的服务体验。 Copyright © 2023 布克学术 All rights reserved.
京ICP备2023020795号-1
ghs 京公网安备 11010802042870号
Book学术文献互助
Book学术文献互助群
群 号:604180095
Book学术官方微信