Proton density fat fraction: magnetic resonance imaging applications beyond the liver.

IF 1.7 4区 医学 Q2 Medicine
Ilkay S Idilman, A Elcin Yildiz, Ali Devrim Karaosmanoglu, Mustafa N Ozmen, Deniz Akata, Musturay Karcaaltincaba
{"title":"Proton density fat fraction: magnetic resonance imaging applications beyond the liver.","authors":"Ilkay S Idilman, A Elcin Yildiz, Ali Devrim Karaosmanoglu, Mustafa N Ozmen, Deniz Akata, Musturay Karcaaltincaba","doi":"10.5152/dir.2021.21845","DOIUrl":null,"url":null,"abstract":"<p><p>Magnetic resonance imaging-proton density fat fraction (MRI-PDFF) is an emerging quantitative imaging biomarker that accurately measures the fat fraction of tissue by correcting factors influencing magnetic resonance signal intensity. Beyond fat quantification, it also measures R2* which is a direct measure of iron concentration. The utilization of MRI-PDFF in liver diseases is well established. In the present review, we focused on applications of MRI-PDFF in different body areas including pancreas, bone, muscle, spleen, testis, visceral, and subcutaneous adipose tissue. Future studies can enable tracking of quantitative fat fraction changes in different organs simultaneously, which can be critical in understanding fat metabolism.</p>","PeriodicalId":50582,"journal":{"name":"Diagnostic and Interventional Radiology","volume":" ","pages":"83-91"},"PeriodicalIF":1.7000,"publicationDate":"2022-01-01","publicationTypes":"Journal Article","fieldsOfStudy":null,"isOpenAccess":false,"openAccessPdf":"https://www.ncbi.nlm.nih.gov/pmc/articles/PMC12278933/pdf/","citationCount":"0","resultStr":null,"platform":"Semanticscholar","paperid":null,"PeriodicalName":"Diagnostic and Interventional Radiology","FirstCategoryId":"3","ListUrlMain":"https://doi.org/10.5152/dir.2021.21845","RegionNum":4,"RegionCategory":"医学","ArticlePicture":[],"TitleCN":null,"AbstractTextCN":null,"PMCID":null,"EPubDate":"","PubModel":"","JCR":"Q2","JCRName":"Medicine","Score":null,"Total":0}
引用次数: 0

Abstract

Magnetic resonance imaging-proton density fat fraction (MRI-PDFF) is an emerging quantitative imaging biomarker that accurately measures the fat fraction of tissue by correcting factors influencing magnetic resonance signal intensity. Beyond fat quantification, it also measures R2* which is a direct measure of iron concentration. The utilization of MRI-PDFF in liver diseases is well established. In the present review, we focused on applications of MRI-PDFF in different body areas including pancreas, bone, muscle, spleen, testis, visceral, and subcutaneous adipose tissue. Future studies can enable tracking of quantitative fat fraction changes in different organs simultaneously, which can be critical in understanding fat metabolism.

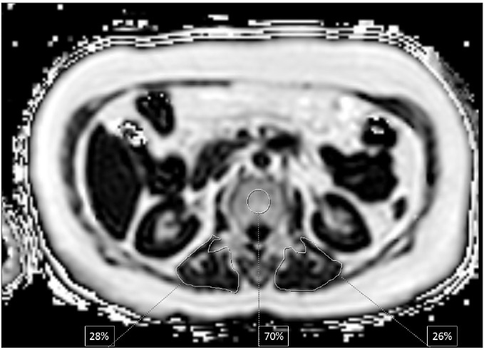
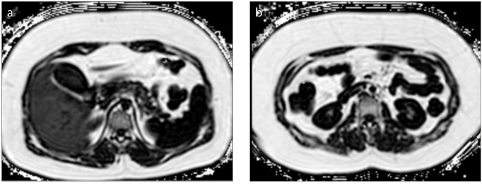
Abstract Image

Abstract Image

Abstract Image

质子密度脂肪分数:磁共振成像在肝脏以外的应用。
磁共振成像质子密度脂肪分数(MRI-PDFF)是一种新兴的定量成像生物标志物,通过校正影响磁共振信号强度的因素来准确测量组织的脂肪分数。除了脂肪量化,它还测量R2*,这是铁浓度的直接测量。MRI-PDFF在肝脏疾病中的应用已经得到了很好的证实。本文综述了MRI-PDFF在胰腺、骨骼、肌肉、脾脏、睾丸、内脏和皮下脂肪组织等不同身体部位的应用。未来的研究可以同时跟踪不同器官中脂肪含量的变化,这对理解脂肪代谢至关重要。
本文章由计算机程序翻译,如有差异,请以英文原文为准。
求助全文
约1分钟内获得全文 求助全文
来源期刊
CiteScore
3.50
自引率
4.80%
发文量
69
审稿时长
6-12 weeks
期刊介绍: Diagnostic and Interventional Radiology (Diagn Interv Radiol) is the open access, online-only official publication of Turkish Society of Radiology. It is published bimonthly and the journal’s publication language is English. The journal is a medium for original articles, reviews, pictorial essays, technical notes related to all fields of diagnostic and interventional radiology.
×
引用
GB/T 7714-2015
复制
MLA
复制
APA
复制
导出至
BibTeX EndNote RefMan NoteFirst NoteExpress
×
提示
您的信息不完整,为了账户安全,请先补充。
现在去补充
×
提示
您因"违规操作"
具体请查看互助需知
我知道了
×
提示
确定
请完成安全验证×
copy
已复制链接
快去分享给好友吧!
我知道了
右上角分享
点击右上角分享
0
联系我们:info@booksci.cn Book学术提供免费学术资源搜索服务,方便国内外学者检索中英文文献。致力于提供最便捷和优质的服务体验。 Copyright © 2023 布克学术 All rights reserved.
京ICP备2023020795号-1
ghs 京公网安备 11010802042870号
Book学术文献互助
Book学术文献互助群
群 号:604180095
Book学术官方微信