Image quality, contrast enhancement and radiation dose of electrocardiograph- versus non-electrocardiograph-triggered computed tomography angiography of the aorta.

IF 1.9 4区 医学 Q2 MEDICINE, GENERAL & INTERNAL
Singapore medical journal Pub Date : 2024-02-01 Epub Date: 2021-10-24 DOI:10.11622/smedj.2021166
Ying Mei Wong, Ching Ching Ong, Chong Ri Liang, Choon Ann Tan, Lynette Li San Teo
{"title":"Image quality, contrast enhancement and radiation dose of electrocardiograph- versus non-electrocardiograph-triggered computed tomography angiography of the aorta.","authors":"Ying Mei Wong, Ching Ching Ong, Chong Ri Liang, Choon Ann Tan, Lynette Li San Teo","doi":"10.11622/smedj.2021166","DOIUrl":null,"url":null,"abstract":"<p><strong>Introduction: </strong>Computed tomography angiography of the aorta (CTAA) is the modality of choice for investigating aortic disease. Our aim was to evaluate the image quality, contrast enhancement and radiation dose of electrocardiograph (ECG)-triggered and non-ECG-triggered CTAA on a 256-slice single-source CT scanner. This allows the requesting clinician and the radiologist to balance radiation risk and image quality.</p><p><strong>Methods: </strong>We retrospectively assessed the data of 126 patients who had undergone CTAA on a single-source CT scanner using ECG-triggered (group 1, n = 77) or non-ECG-triggered (group 2, n = 49) protocols. Radiation doses were compared. Qualitative (4-point scale) and quantitative image quality assessments were performed.</p><p><strong>Results: </strong>The mean volume CT dose index, dose length product and effective dose in group 1 were 12.4 ± 1.9 mGy, 765.8 ± 112.4 mGy cm and 13.0 ± 1.9 mSv, respectively. These were significantly higher compared to group 2 values (9.1 ± 2.6 mGy, 624.1 ± 174.8 mGy cm and 10.6 ± 3.0 mSv, respectively) ( P < 0.001). Qualitative assessment showed the image quality at the aortic root-proximal ascending aorta was significantly higher in group 1 (median 3) than in group 2 (median 2, P < 0.001). Quantitative assessment showed significantly better mean arterial attenuation, signal-to-noise ratio and contrast-to-noise ratio in ECG-triggered CTAA compared to non-ECG-triggered CTAA.</p><p><strong>Conclusion: </strong>ECG-triggered CTAA in a single-source scanner has superior image quality and vessel attenuation of aortic root/ascending aorta, but a higher radiation dose of approximately 23%. Its use should be considered specifically when assessing aortic root/ascending aorta pathology.</p>","PeriodicalId":21752,"journal":{"name":"Singapore medical journal","volume":" ","pages":"84-90"},"PeriodicalIF":1.9000,"publicationDate":"2024-02-01","publicationTypes":"Journal Article","fieldsOfStudy":null,"isOpenAccess":false,"openAccessPdf":"https://www.ncbi.nlm.nih.gov/pmc/articles/PMC10942131/pdf/","citationCount":"0","resultStr":null,"platform":"Semanticscholar","paperid":null,"PeriodicalName":"Singapore medical journal","FirstCategoryId":"3","ListUrlMain":"https://doi.org/10.11622/smedj.2021166","RegionNum":4,"RegionCategory":"医学","ArticlePicture":[],"TitleCN":null,"AbstractTextCN":null,"PMCID":null,"EPubDate":"2021/10/24 0:00:00","PubModel":"Epub","JCR":"Q2","JCRName":"MEDICINE, GENERAL & INTERNAL","Score":null,"Total":0}
引用次数: 0

Abstract

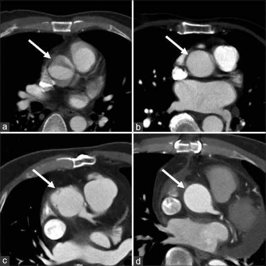
Introduction: Computed tomography angiography of the aorta (CTAA) is the modality of choice for investigating aortic disease. Our aim was to evaluate the image quality, contrast enhancement and radiation dose of electrocardiograph (ECG)-triggered and non-ECG-triggered CTAA on a 256-slice single-source CT scanner. This allows the requesting clinician and the radiologist to balance radiation risk and image quality.

Methods: We retrospectively assessed the data of 126 patients who had undergone CTAA on a single-source CT scanner using ECG-triggered (group 1, n = 77) or non-ECG-triggered (group 2, n = 49) protocols. Radiation doses were compared. Qualitative (4-point scale) and quantitative image quality assessments were performed.

Results: The mean volume CT dose index, dose length product and effective dose in group 1 were 12.4 ± 1.9 mGy, 765.8 ± 112.4 mGy cm and 13.0 ± 1.9 mSv, respectively. These were significantly higher compared to group 2 values (9.1 ± 2.6 mGy, 624.1 ± 174.8 mGy cm and 10.6 ± 3.0 mSv, respectively) ( P < 0.001). Qualitative assessment showed the image quality at the aortic root-proximal ascending aorta was significantly higher in group 1 (median 3) than in group 2 (median 2, P < 0.001). Quantitative assessment showed significantly better mean arterial attenuation, signal-to-noise ratio and contrast-to-noise ratio in ECG-triggered CTAA compared to non-ECG-triggered CTAA.

Conclusion: ECG-triggered CTAA in a single-source scanner has superior image quality and vessel attenuation of aortic root/ascending aorta, but a higher radiation dose of approximately 23%. Its use should be considered specifically when assessing aortic root/ascending aorta pathology.

Abstract Image

心电图与非心电图触发的主动脉计算机断层扫描血管造影的图像质量、对比度增强和辐射剂量。
简介主动脉计算机断层扫描血管造影术(CTAA)是检查主动脉疾病的首选方法。我们的目的是在 256 排单源 CT 扫描仪上评估心电图(ECG)触发和非 ECG 触发 CTAA 的图像质量、对比度增强和辐射剂量。这样,临床医生和放射科医生就能在辐射风险和图像质量之间取得平衡:我们回顾性地评估了 126 名在单源 CT 扫描仪上使用心电图触发(第 1 组,n = 77)或非心电图触发(第 2 组,n = 49)方案进行 CTAA 的患者的数据。对辐射剂量进行了比较。对图像质量进行定性(4 分制)和定量评估:第 1 组的平均容积 CT 剂量指数、剂量长度乘积和有效剂量分别为 12.4 ± 1.9 mGy、765.8 ± 112.4 mGy cm 和 13.0 ± 1.9 mSv。这些数值明显高于第 2 组(分别为 9.1 ± 2.6 mGy、624.1 ± 174.8 mGy cm 和 10.6 ± 3.0 mSv)(P < 0.001)。定性评估显示,主动脉根部-近端升主动脉的图像质量在第一组(中位数 3)明显高于第二组(中位数 2,P < 0.001)。定量评估显示,与非ECG触发的CTAA相比,ECG触发的CTAA的平均动脉衰减、信噪比和对比度-噪声比明显更好:结论:单源扫描仪的心电图触发 CTAA 在主动脉根部/升主动脉的图像质量和血管衰减方面更胜一筹,但辐射剂量要高出约 23%。在评估主动脉根部/升主动脉病变时,应特别考虑使用该方法。
本文章由计算机程序翻译,如有差异,请以英文原文为准。
求助全文
约1分钟内获得全文 求助全文
来源期刊
Singapore medical journal
Singapore medical journal MEDICINE, GENERAL & INTERNAL-
CiteScore
3.40
自引率
3.70%
发文量
149
审稿时长
3-6 weeks
期刊介绍: The Singapore Medical Journal (SMJ) is the monthly publication of Singapore Medical Association (SMA). The Journal aims to advance medical practice and clinical research by publishing high-quality articles that add to the clinical knowledge of physicians in Singapore and worldwide. SMJ is a general medical journal that focuses on all aspects of human health. The Journal publishes commissioned reviews, commentaries and editorials, original research, a small number of outstanding case reports, continuing medical education articles (ECG Series, Clinics in Diagnostic Imaging, Pictorial Essays, Practice Integration & Life-long Learning [PILL] Series), and short communications in the form of letters to the editor.
×
引用
GB/T 7714-2015
复制
MLA
复制
APA
复制
导出至
BibTeX EndNote RefMan NoteFirst NoteExpress
×
提示
您的信息不完整,为了账户安全,请先补充。
现在去补充
×
提示
您因"违规操作"
具体请查看互助需知
我知道了
×
提示
确定
请完成安全验证×
copy
已复制链接
快去分享给好友吧!
我知道了
右上角分享
点击右上角分享
0
联系我们:info@booksci.cn Book学术提供免费学术资源搜索服务,方便国内外学者检索中英文文献。致力于提供最便捷和优质的服务体验。 Copyright © 2023 布克学术 All rights reserved.
京ICP备2023020795号-1
ghs 京公网安备 11010802042870号
Book学术文献互助
Book学术文献互助群
群 号:604180095
Book学术官方微信