Hodgkin Lymphoma Presenting With Spinal Cord Compression: Challenges for Diagnosis and Initial Management.

IF 1.3
Nicola Bloxham, Justin Cross, Matthew Garnett, Jessica Bewick, Kate Armon, C Elizabeth Hook, Matthew J Murray
{"title":"Hodgkin Lymphoma Presenting With Spinal Cord Compression: Challenges for Diagnosis and Initial Management.","authors":"Nicola Bloxham,&nbsp;Justin Cross,&nbsp;Matthew Garnett,&nbsp;Jessica Bewick,&nbsp;Kate Armon,&nbsp;C Elizabeth Hook,&nbsp;Matthew J Murray","doi":"10.1177/10935266211033269","DOIUrl":null,"url":null,"abstract":"<p><p>Hodgkin lymphoma (HL) can present with extra-nodal disease, but spinal cord compression is exceptionally rare. We describe a 15-year-old presenting with hip/back pain with normal initial examination. Persistent pain and raised inflammatory markers prompted further investigation with MRI, which revealed an epidural mass causing spinal cord compression. On examination, there was no palpable lymphadenopathy or cauda equina syndrome, but absent lower limb reflexes were noted. Following multidisciplinary discussion, it was determined that cauda equina syndrome was imminent and therefore surgical debulking was undertaken, both to prevent this complication and establish a diagnosis. At surgery, the tumor was highly vascular. Frozen section confirmed lesional material. Following surgery, and given the frozen section findings, a short course of steroids was commenced to reduce any peri-surgical edema. Unfortunately, histopathology was ultimately non-diagnostic, due to failure of immunohistochemistry on technically challenging material. Consequently, ultrasound-guided excision biopsy of a (non-palpable) cervical lymph node was performed five days later; histopathology showed typical effacement of the normal architecture and a conspicuous population of CD15/CD30-positive larger pale cells present, confirming nodular sclerosis classic HL, despite recent steroids. We review the available literature for HL presenting with spinal cord compression and describe the challenges for diagnosis and initial management in such cases.</p>","PeriodicalId":520743,"journal":{"name":"Pediatric and developmental pathology : the official journal of the Society for Pediatric Pathology and the Paediatric Pathology Society","volume":" ","pages":"168-173"},"PeriodicalIF":1.3000,"publicationDate":"2022-03-01","publicationTypes":"Journal Article","fieldsOfStudy":null,"isOpenAccess":false,"openAccessPdf":"https://www.ncbi.nlm.nih.gov/pmc/articles/PMC9109237/pdf/","citationCount":"2","resultStr":null,"platform":"Semanticscholar","paperid":null,"PeriodicalName":"Pediatric and developmental pathology : the official journal of the Society for Pediatric Pathology and the Paediatric Pathology Society","FirstCategoryId":"3","ListUrlMain":"https://doi.org/10.1177/10935266211033269","RegionNum":0,"RegionCategory":null,"ArticlePicture":[],"TitleCN":null,"AbstractTextCN":null,"PMCID":null,"EPubDate":"2021/8/24 0:00:00","PubModel":"Epub","JCR":"","JCRName":"","Score":null,"Total":0}
引用次数: 2

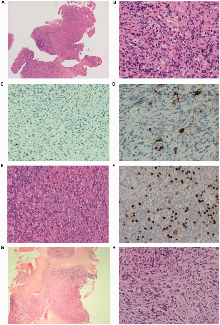
Abstract

Hodgkin lymphoma (HL) can present with extra-nodal disease, but spinal cord compression is exceptionally rare. We describe a 15-year-old presenting with hip/back pain with normal initial examination. Persistent pain and raised inflammatory markers prompted further investigation with MRI, which revealed an epidural mass causing spinal cord compression. On examination, there was no palpable lymphadenopathy or cauda equina syndrome, but absent lower limb reflexes were noted. Following multidisciplinary discussion, it was determined that cauda equina syndrome was imminent and therefore surgical debulking was undertaken, both to prevent this complication and establish a diagnosis. At surgery, the tumor was highly vascular. Frozen section confirmed lesional material. Following surgery, and given the frozen section findings, a short course of steroids was commenced to reduce any peri-surgical edema. Unfortunately, histopathology was ultimately non-diagnostic, due to failure of immunohistochemistry on technically challenging material. Consequently, ultrasound-guided excision biopsy of a (non-palpable) cervical lymph node was performed five days later; histopathology showed typical effacement of the normal architecture and a conspicuous population of CD15/CD30-positive larger pale cells present, confirming nodular sclerosis classic HL, despite recent steroids. We review the available literature for HL presenting with spinal cord compression and describe the challenges for diagnosis and initial management in such cases.

Abstract Image

Abstract Image

霍奇金淋巴瘤表现为脊髓压迫:诊断和初始管理的挑战。
霍奇金淋巴瘤(HL)可表现为淋巴结外病变,但脊髓压迫异常罕见。我们描述了一个15岁的表现为髋关节/背部疼痛与正常的初步检查。持续的疼痛和升高的炎症标志物促使进一步的MRI检查,发现硬膜外肿块导致脊髓压迫。检查未见明显淋巴结病变或马尾综合征,但未见下肢反射。经过多学科的讨论,确定马尾综合征是迫在眉睫的,因此进行手术切除,既可以预防这种并发症,也可以确定诊断。手术时,肿瘤是高度血管化的。冰冻切片证实病变材料。手术后,考虑到冰冻切片的结果,我们开始了一个短期的类固醇疗程,以减少手术周围的水肿。不幸的是,由于免疫组织化学在技术上具有挑战性的材料上失败,组织病理学最终无法诊断。因此,超声引导下的宫颈淋巴结活检(不可触及)在5天后进行;组织病理学显示典型的正常结构消失,存在明显的CD15/ cd30阳性大苍白细胞群,证实结节性硬化症(典型HL),尽管最近使用类固醇。我们回顾了以脊髓压迫为表现的HL的现有文献,并描述了在这种情况下诊断和初始管理的挑战。
本文章由计算机程序翻译,如有差异,请以英文原文为准。
求助全文
约1分钟内获得全文 求助全文
来源期刊
自引率
0.00%
发文量
0
×
引用
GB/T 7714-2015
复制
MLA
复制
APA
复制
导出至
BibTeX EndNote RefMan NoteFirst NoteExpress
×
提示
您的信息不完整,为了账户安全,请先补充。
现在去补充
×
提示
您因"违规操作"
具体请查看互助需知
我知道了
×
提示
确定
请完成安全验证×
copy
已复制链接
快去分享给好友吧!
我知道了
右上角分享
点击右上角分享
0
联系我们:info@booksci.cn Book学术提供免费学术资源搜索服务,方便国内外学者检索中英文文献。致力于提供最便捷和优质的服务体验。 Copyright © 2023 布克学术 All rights reserved.
京ICP备2023020795号-1
ghs 京公网安备 11010802042870号
Book学术文献互助
Book学术文献互助群
群 号:604180095
Book学术官方微信