Malignant Mesothelioma With EWSR1-ATF1 Fusion in Two Adolescent Male Patients.

IF 1.3
Hezhen Ren, S Rod Rassekh, Atilano Lacson, Cheng-Han Lee, Brendan C Dickson, Catherine T Chung, Anna F Lee
{"title":"Malignant Mesothelioma With <i>EWSR1-ATF1</i> Fusion in Two Adolescent Male Patients.","authors":"Hezhen Ren,&nbsp;S Rod Rassekh,&nbsp;Atilano Lacson,&nbsp;Cheng-Han Lee,&nbsp;Brendan C Dickson,&nbsp;Catherine T Chung,&nbsp;Anna F Lee","doi":"10.1177/10935266211021222","DOIUrl":null,"url":null,"abstract":"<p><p>Malignant mesothelioma is a neoplasm of serosal surfaces, most commonly affecting the pleura. The peritoneum, pericardium, and tunica vaginalis are less frequently involved. Malignant mesothelioma with <i>EWSR1-ATF1</i> fusion in young adults was recently reported in the literature. Here, we present two pediatric cases of <i>EWSR1-ATF1</i> translocation-associated malignant mesothelioma in the peritoneum and pericardium respectively. Both cases lacked a known exposure history. Microscopy in both cases showed predominantly epithelioid morphology with ample eosinophilic cytoplasm, and immunohistochemistry was positive for pan-keratin, calretinin, and WT1. Both cases showed <i>EWSR1-ATF1</i> gene rearrangement by RNA sequencing, which was instrumental in confirming the diagnosis of malignant mesothelioma and to exclude more common pediatric sarcomas, especially in the context of limited sampling.</p>","PeriodicalId":520743,"journal":{"name":"Pediatric and developmental pathology : the official journal of the Society for Pediatric Pathology and the Paediatric Pathology Society","volume":" ","pages":"570-574"},"PeriodicalIF":1.3000,"publicationDate":"2021-11-01","publicationTypes":"Journal Article","fieldsOfStudy":null,"isOpenAccess":false,"openAccessPdf":"https://sci-hub-pdf.com/10.1177/10935266211021222","citationCount":"11","resultStr":null,"platform":"Semanticscholar","paperid":null,"PeriodicalName":"Pediatric and developmental pathology : the official journal of the Society for Pediatric Pathology and the Paediatric Pathology Society","FirstCategoryId":"3","ListUrlMain":"https://doi.org/10.1177/10935266211021222","RegionNum":0,"RegionCategory":null,"ArticlePicture":[],"TitleCN":null,"AbstractTextCN":null,"PMCID":null,"EPubDate":"2021/6/12 0:00:00","PubModel":"Epub","JCR":"","JCRName":"","Score":null,"Total":0}
引用次数: 11

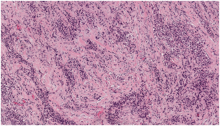
Abstract

Malignant mesothelioma is a neoplasm of serosal surfaces, most commonly affecting the pleura. The peritoneum, pericardium, and tunica vaginalis are less frequently involved. Malignant mesothelioma with EWSR1-ATF1 fusion in young adults was recently reported in the literature. Here, we present two pediatric cases of EWSR1-ATF1 translocation-associated malignant mesothelioma in the peritoneum and pericardium respectively. Both cases lacked a known exposure history. Microscopy in both cases showed predominantly epithelioid morphology with ample eosinophilic cytoplasm, and immunohistochemistry was positive for pan-keratin, calretinin, and WT1. Both cases showed EWSR1-ATF1 gene rearrangement by RNA sequencing, which was instrumental in confirming the diagnosis of malignant mesothelioma and to exclude more common pediatric sarcomas, especially in the context of limited sampling.

Abstract Image

Abstract Image

2例青少年男性恶性间皮瘤伴EWSR1-ATF1融合。
恶性间皮瘤是一种浆膜表面的肿瘤,最常累及胸膜。腹膜、心包和阴道膜较少受累。恶性间皮瘤合并EWSR1-ATF1融合在年轻人最近的文献报道。在此,我们报告两例分别发生在腹膜和心包膜的EWSR1-ATF1易位相关的儿童恶性间皮瘤。两例均无已知暴露史。显微镜下两例均显示上皮样形态为主,嗜酸性细胞质丰富,免疫组化pan-keratin, calretinin和WT1阳性。通过RNA测序,这两例病例均显示EWSR1-ATF1基因重排,这有助于确认恶性间皮瘤的诊断,并排除更常见的儿童肉瘤,特别是在样本有限的情况下。
本文章由计算机程序翻译,如有差异,请以英文原文为准。
求助全文
约1分钟内获得全文 求助全文
来源期刊
自引率
0.00%
发文量
0
×
引用
GB/T 7714-2015
复制
MLA
复制
APA
复制
导出至
BibTeX EndNote RefMan NoteFirst NoteExpress
×
提示
您的信息不完整,为了账户安全,请先补充。
现在去补充
×
提示
您因"违规操作"
具体请查看互助需知
我知道了
×
提示
确定
请完成安全验证×
copy
已复制链接
快去分享给好友吧!
我知道了
右上角分享
点击右上角分享
0
联系我们:info@booksci.cn Book学术提供免费学术资源搜索服务,方便国内外学者检索中英文文献。致力于提供最便捷和优质的服务体验。 Copyright © 2023 布克学术 All rights reserved.
京ICP备2023020795号-1
ghs 京公网安备 11010802042870号
Book学术文献互助
Book学术文献互助群
群 号:604180095
Book学术官方微信