Non-surgical Treatment of Condylar Fracture in an 11-Year-Old Patient: a Case Report.

Journal of Oral & Maxillofacial Research Pub Date : 2018-06-29 eCollection Date: 2018-04-01 DOI:10.5037/jomr.2018.9205
Angela Pia Cazzolla, Graziano Montaruli, Nunzio Francesco Testa, Gianfranco Favia, Maria Grazia Lacaita, Lorenzo Lo Muzio, Domenico Ciavarella
{"title":"Non-surgical Treatment of Condylar Fracture in an 11-Year-Old Patient: a Case Report.","authors":"Angela Pia Cazzolla,&nbsp;Graziano Montaruli,&nbsp;Nunzio Francesco Testa,&nbsp;Gianfranco Favia,&nbsp;Maria Grazia Lacaita,&nbsp;Lorenzo Lo Muzio,&nbsp;Domenico Ciavarella","doi":"10.5037/jomr.2018.9205","DOIUrl":null,"url":null,"abstract":"<p><strong>Background: </strong>Mandibular condylar fractures commonly occur after trauma and account for 25 to 35% of all mandibular fractures; its appropriate therapy still remains a point of controversy in children. The purpose of this paper is to describe the treatment of an 11-years-old male patient affected by neck-condylar fracture as result of trauma in evolutive age.</p><p><strong>Methods: </strong>No surgical treatment was performed. A functional therapy was applied with a jaw splint. A closed treatment for mandibular condyle fractures was preferred because the amount of condylar displacement wasn't considerable.</p><p><strong>Results: </strong>The early treatment with functional therapy generated a functional adaptation of the condyle in the glenoid fossa and a normal mandibular function. After a 12-month follow-up the fracture resolution and an optimal condylar position were recorded.</p><p><strong>Conclusions: </strong>The current case report and literature review showed that non-surgical therapy of neck-condylar fracture in a child with lower resin splint can restore mandibular movements and aesthetics. Facial growth after one year treatment resulted normal. A conservative treatment may be appropriate for children in selected cases with minimally displaced condyle.</p>","PeriodicalId":230885,"journal":{"name":"Journal of Oral & Maxillofacial Research","volume":"9 2","pages":"e5"},"PeriodicalIF":0.0000,"publicationDate":"2018-06-29","publicationTypes":"Journal Article","fieldsOfStudy":null,"isOpenAccess":false,"openAccessPdf":"https://sci-hub-pdf.com/10.5037/jomr.2018.9205","citationCount":"1","resultStr":null,"platform":"Semanticscholar","paperid":null,"PeriodicalName":"Journal of Oral & Maxillofacial Research","FirstCategoryId":"1085","ListUrlMain":"https://doi.org/10.5037/jomr.2018.9205","RegionNum":0,"RegionCategory":null,"ArticlePicture":[],"TitleCN":null,"AbstractTextCN":null,"PMCID":null,"EPubDate":"2018/4/1 0:00:00","PubModel":"eCollection","JCR":"","JCRName":"","Score":null,"Total":0}
引用次数: 1

Abstract

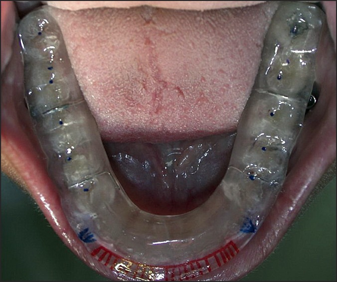
Background: Mandibular condylar fractures commonly occur after trauma and account for 25 to 35% of all mandibular fractures; its appropriate therapy still remains a point of controversy in children. The purpose of this paper is to describe the treatment of an 11-years-old male patient affected by neck-condylar fracture as result of trauma in evolutive age.

Methods: No surgical treatment was performed. A functional therapy was applied with a jaw splint. A closed treatment for mandibular condyle fractures was preferred because the amount of condylar displacement wasn't considerable.

Results: The early treatment with functional therapy generated a functional adaptation of the condyle in the glenoid fossa and a normal mandibular function. After a 12-month follow-up the fracture resolution and an optimal condylar position were recorded.

Conclusions: The current case report and literature review showed that non-surgical therapy of neck-condylar fracture in a child with lower resin splint can restore mandibular movements and aesthetics. Facial growth after one year treatment resulted normal. A conservative treatment may be appropriate for children in selected cases with minimally displaced condyle.

Abstract Image

Abstract Image

Abstract Image

11岁儿童髁突骨折的非手术治疗1例。
背景:下颌髁骨折通常发生在创伤后,占所有下颌骨折的25 - 35%;对儿童的适当治疗仍然是一个有争议的问题。本文的目的是描述一个11岁的男性患者的治疗影响颈髁骨折作为外伤的结果在发展的年龄。方法:不进行手术治疗。使用颌夹板进行功能治疗。下颌髁骨折的闭合治疗是首选的,因为髁移位量不大。结果:功能治疗的早期治疗产生了功能适应的髁突在盂窝和正常的下颌骨功能。随访12个月后,记录骨折愈合情况和最佳髁突位置。结论:目前的病例报告和文献回顾表明,使用下树脂夹板治疗儿童颈髁骨折的非手术治疗可以恢复下颌运动和美观。治疗一年后面部生长正常。保守治疗可能适用于选定的儿童轻微髁移位病例。
本文章由计算机程序翻译,如有差异,请以英文原文为准。
求助全文
约1分钟内获得全文 求助全文
来源期刊
自引率
0.00%
发文量
0
×
引用
GB/T 7714-2015
复制
MLA
复制
APA
复制
导出至
BibTeX EndNote RefMan NoteFirst NoteExpress
×
提示
您的信息不完整,为了账户安全,请先补充。
现在去补充
×
提示
您因"违规操作"
具体请查看互助需知
我知道了
×
提示
确定
请完成安全验证×
copy
已复制链接
快去分享给好友吧!
我知道了
右上角分享
点击右上角分享
0
联系我们:info@booksci.cn Book学术提供免费学术资源搜索服务,方便国内外学者检索中英文文献。致力于提供最便捷和优质的服务体验。 Copyright © 2023 布克学术 All rights reserved.
京ICP备2023020795号-1
ghs 京公网安备 11010802042870号
Book学术文献互助
Book学术文献互助群
群 号:604180095
Book学术官方微信