Supernumerary Molars and Wisdom Tooth Shape Alterations in Patients with Neurofibromatosis Type 1.

Journal of Oral & Maxillofacial Research Pub Date : 2017-12-31 eCollection Date: 2017-10-01 DOI:10.5037/jomr.2017.8405
Reinhard E Friedrich, Anika Reul
{"title":"Supernumerary Molars and Wisdom Tooth Shape Alterations in Patients with Neurofibromatosis Type 1.","authors":"Reinhard E Friedrich,&nbsp;Anika Reul","doi":"10.5037/jomr.2017.8405","DOIUrl":null,"url":null,"abstract":"<p><strong>Objectives: </strong>The purpose of the present study was the systematic investigation of numerical and morphological aberrations of teeth in the wisdom teeth region in neurofibromatosis type 1 patients.</p><p><strong>Material and methods: </strong>The panoramic radiographs of 179 patients were analysed for supernumerary molars and dysplastic wisdom teeth with special reference to facial tumour type. The results were compared to radiographic findings obtained in panoramic radiographs of age- and sex-matched controls.</p><p><strong>Results: </strong>The total number of dysplastic or supernumerary molars was 21 (17 individuals, 4.75%) and predominantly a finding of the maxilla (maxilla: 15, mandible: 1, maxilla and mandible: 1). Differences of dental findings between neurofibromatosis type 1 (NF1) patients (n = 15) and the control group (n = 2) were statistically significant (P < 0.01). All individuals with supernumerary molars were diagnosed as being affected with NF1. This difference achieved statistical significance when it was considered that the event may occur at least once per quadrant, and thus the individual potentially needs to be considered four times (P = 0.0038).</p><p><strong>Conclusions: </strong>This investigation revealed that supernumerary molars and aberrations in wisdom tooth form are more common in patients than in age- and sex-matched controls. There is no association between these findings and a specific feature of the disease, id est facial manifestation of a trigeminal nerve sheath tumour (plexiform neurofibroma). The cause of this phenomenon is unknown. A review of these dental findings on other neurofibromatosis type 1 study groups should be attempted.</p>","PeriodicalId":230885,"journal":{"name":"Journal of Oral & Maxillofacial Research","volume":"8 4","pages":"e5"},"PeriodicalIF":0.0000,"publicationDate":"2017-12-31","publicationTypes":"Journal Article","fieldsOfStudy":null,"isOpenAccess":false,"openAccessPdf":"https://sci-hub-pdf.com/10.5037/jomr.2017.8405","citationCount":"8","resultStr":null,"platform":"Semanticscholar","paperid":null,"PeriodicalName":"Journal of Oral & Maxillofacial Research","FirstCategoryId":"1085","ListUrlMain":"https://doi.org/10.5037/jomr.2017.8405","RegionNum":0,"RegionCategory":null,"ArticlePicture":[],"TitleCN":null,"AbstractTextCN":null,"PMCID":null,"EPubDate":"2017/10/1 0:00:00","PubModel":"eCollection","JCR":"","JCRName":"","Score":null,"Total":0}
引用次数: 8

Abstract

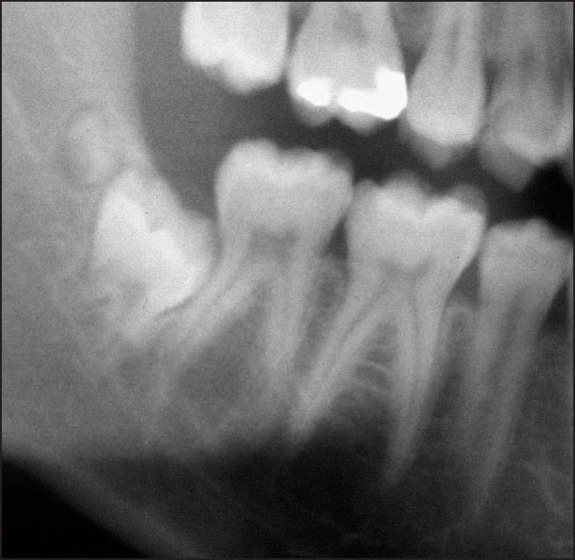
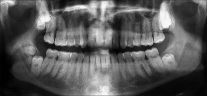
Objectives: The purpose of the present study was the systematic investigation of numerical and morphological aberrations of teeth in the wisdom teeth region in neurofibromatosis type 1 patients.

Material and methods: The panoramic radiographs of 179 patients were analysed for supernumerary molars and dysplastic wisdom teeth with special reference to facial tumour type. The results were compared to radiographic findings obtained in panoramic radiographs of age- and sex-matched controls.

Results: The total number of dysplastic or supernumerary molars was 21 (17 individuals, 4.75%) and predominantly a finding of the maxilla (maxilla: 15, mandible: 1, maxilla and mandible: 1). Differences of dental findings between neurofibromatosis type 1 (NF1) patients (n = 15) and the control group (n = 2) were statistically significant (P < 0.01). All individuals with supernumerary molars were diagnosed as being affected with NF1. This difference achieved statistical significance when it was considered that the event may occur at least once per quadrant, and thus the individual potentially needs to be considered four times (P = 0.0038).

Conclusions: This investigation revealed that supernumerary molars and aberrations in wisdom tooth form are more common in patients than in age- and sex-matched controls. There is no association between these findings and a specific feature of the disease, id est facial manifestation of a trigeminal nerve sheath tumour (plexiform neurofibroma). The cause of this phenomenon is unknown. A review of these dental findings on other neurofibromatosis type 1 study groups should be attempted.

Abstract Image

Abstract Image

1型神经纤维瘤病患者的臼齿和智齿形状改变。
目的:对1型神经纤维瘤病患者智齿区牙齿数量和形态畸变进行系统研究。材料与方法:对179例面部肿瘤类型的患者的多磨牙和发育不良智齿的全景x线片进行分析。将结果与年龄和性别匹配对照的全景x线片所获得的x线片结果进行比较。结果:1型神经纤维瘤病(NF1)患者(n = 15)与对照组(n = 2)的牙学表现差异有统计学意义(P < 0.01),其中上颌发育不良、多生磨牙17例(4.75%),以上颌为主(上颌15例,下颌骨1例,上颌和下颌骨1例)。所有有多余磨牙的个体都被诊断为NF1。当考虑到每个象限至少可能发生一次事件时,这种差异具有统计学意义,因此个体可能需要考虑四次(P = 0.0038)。结论:本研究显示,与年龄和性别匹配的对照组相比,患者多出臼齿和智齿形态畸变更为常见。这些发现与疾病的特定特征之间没有关联,例如三叉神经鞘肿瘤(丛状神经纤维瘤)的面部表现。造成这种现象的原因尚不清楚。对其他1型神经纤维瘤病研究组的这些牙科发现的回顾应该尝试。
本文章由计算机程序翻译,如有差异,请以英文原文为准。
求助全文
约1分钟内获得全文 求助全文
来源期刊
自引率
0.00%
发文量
0
×
引用
GB/T 7714-2015
复制
MLA
复制
APA
复制
导出至
BibTeX EndNote RefMan NoteFirst NoteExpress
×
提示
您的信息不完整,为了账户安全,请先补充。
现在去补充
×
提示
您因"违规操作"
具体请查看互助需知
我知道了
×
提示
确定
请完成安全验证×
copy
已复制链接
快去分享给好友吧!
我知道了
右上角分享
点击右上角分享
0
联系我们:info@booksci.cn Book学术提供免费学术资源搜索服务,方便国内外学者检索中英文文献。致力于提供最便捷和优质的服务体验。 Copyright © 2023 布克学术 All rights reserved.
京ICP备2023020795号-1
ghs 京公网安备 11010802042870号
Book学术文献互助
Book学术文献互助群
群 号:604180095
Book学术官方微信