Post cholecystectomy gossypiboma mimicking a liver hydatid cyst: comprehensive literature review.

IF 0.2 4区 医学
Iranian Red Crescent Medical Journal Pub Date : 2015-04-25 eCollection Date: 2015-04-01 DOI:10.5812/ircmj.17(4)2015.22001
Yusuf Yagmur, Sami Akbulut, Serdar Gumus
{"title":"Post cholecystectomy gossypiboma mimicking a liver hydatid cyst: comprehensive literature review.","authors":"Yusuf Yagmur,&nbsp;Sami Akbulut,&nbsp;Serdar Gumus","doi":"10.5812/ircmj.17(4)2015.22001","DOIUrl":null,"url":null,"abstract":"<p><strong>Background: </strong>Gossypiboma is the term for forgotten textile products such as a surgical sponge and compress in the body cavity after a surgical procedure.</p><p><strong>Objectives: </strong>The aim of this study was to evaluate previously published articles related to post cholecystectomy gossypiboma.</p><p><strong>Materials and methods: </strong>We conducted a systematic search using PubMed, Medline, Google and Google Scholar on post cholecystectomy gossypiboma. The keywords used were: gossypiboma and cholecystectomy, textiloma and cholecystectomy and post cholecystectomy gossypiboma. Furthermore, we also present a new case of post cholecystectomy gossypiboma.</p><p><strong>Results: </strong>A total of 32 articles concerning 38 patients with post cholecystectomy gossypiboma that met the aforementioned criteria were included. Detailed intraoperative findings and surgical management were provided. The patients were aged from 26 to 79 years (Mean ± SD: 47 ± 13.6 years); 32 were female and six were male. The time from the causative operation to presentation with a retained surgical sponge ranged from one to 480 months (Mean ± SD: 56.5 ± 93.5 months).</p><p><strong>Conclusions: </strong>Gossypiboma may not be symptomatic for many years or could be symptomatic for a short duration of time. Besides being a rare surgical complication, gossypiboma can lead to serious morbidity and mortality that may cause medico-legal problems. Diagnosis with imaging methods is difficult.</p>","PeriodicalId":14628,"journal":{"name":"Iranian Red Crescent Medical Journal","volume":" ","pages":"e22001"},"PeriodicalIF":0.2000,"publicationDate":"2015-04-25","publicationTypes":"Journal Article","fieldsOfStudy":null,"isOpenAccess":false,"openAccessPdf":"https://sci-hub-pdf.com/10.5812/ircmj.17(4)2015.22001","citationCount":"7","resultStr":null,"platform":"Semanticscholar","paperid":null,"PeriodicalName":"Iranian Red Crescent Medical Journal","FirstCategoryId":"3","ListUrlMain":"https://doi.org/10.5812/ircmj.17(4)2015.22001","RegionNum":4,"RegionCategory":"医学","ArticlePicture":[],"TitleCN":null,"AbstractTextCN":null,"PMCID":null,"EPubDate":"2015/4/1 0:00:00","PubModel":"eCollection","JCR":"","JCRName":"","Score":null,"Total":0}
引用次数: 7

Abstract

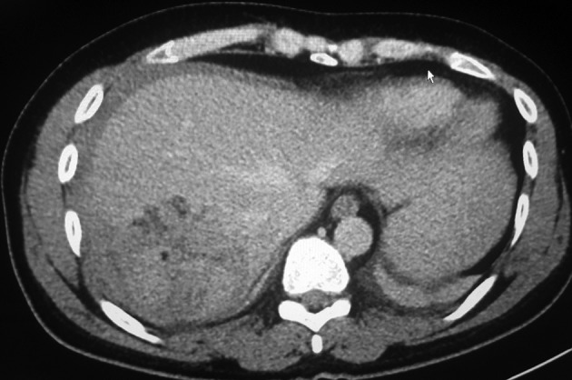
Background: Gossypiboma is the term for forgotten textile products such as a surgical sponge and compress in the body cavity after a surgical procedure.

Objectives: The aim of this study was to evaluate previously published articles related to post cholecystectomy gossypiboma.

Materials and methods: We conducted a systematic search using PubMed, Medline, Google and Google Scholar on post cholecystectomy gossypiboma. The keywords used were: gossypiboma and cholecystectomy, textiloma and cholecystectomy and post cholecystectomy gossypiboma. Furthermore, we also present a new case of post cholecystectomy gossypiboma.

Results: A total of 32 articles concerning 38 patients with post cholecystectomy gossypiboma that met the aforementioned criteria were included. Detailed intraoperative findings and surgical management were provided. The patients were aged from 26 to 79 years (Mean ± SD: 47 ± 13.6 years); 32 were female and six were male. The time from the causative operation to presentation with a retained surgical sponge ranged from one to 480 months (Mean ± SD: 56.5 ± 93.5 months).

Conclusions: Gossypiboma may not be symptomatic for many years or could be symptomatic for a short duration of time. Besides being a rare surgical complication, gossypiboma can lead to serious morbidity and mortality that may cause medico-legal problems. Diagnosis with imaging methods is difficult.

Abstract Image

Abstract Image

胆囊切除术后模仿肝包虫囊肿的棉鞘瘤:综合文献综述。
背景:Gossypiboma是指外科手术后被遗忘的纺织产品,如手术海绵和体腔内的压布。目的:本研究的目的是评估先前发表的有关胆囊切除术后棉脑瘤的文章。材料和方法:我们通过PubMed、Medline、Google和Google Scholar对胆囊切除术后的棉性脑瘤进行了系统的检索。关键词:棉鞘瘤与胆囊切除术、肌瘤与胆囊切除术、胆囊切除术后棉鞘瘤。此外,我们也提出一个新的病例后胆囊切除术棉脑瘤。结果:共纳入38例符合上述标准的胆囊切除术后棉叶瘤患者32篇文章。详细的术中发现和手术处理提供。患者年龄26 ~ 79岁(Mean±SD: 47±13.6岁);其中女性32人,男性6人。术后1 ~ 480个月(平均±标准差:56.5±93.5个月)。结论:棉棉瘤可能多年无症状,也可能在短时间内出现症状。除了是一种罕见的手术并发症外,棉鞘瘤可导致严重的发病率和死亡率,并可能引起医学法律问题。影像学诊断是困难的。
本文章由计算机程序翻译,如有差异,请以英文原文为准。
求助全文
约1分钟内获得全文 求助全文
来源期刊
Iranian Red Crescent Medical Journal
Iranian Red Crescent Medical Journal 医学-医学:内科
自引率
0.00%
发文量
0
期刊介绍: The IRANIAN RED CRESCENT MEDICAL JOURNAL is an international, English language, peer-reviewed journal dealing with general Medicine and Surgery, Disaster Medicine and Health Policy. It is an official Journal of the Iranian Hospital Dubai and is published monthly. The Iranian Red Crescent Medical Journal aims at publishing the high quality materials, both clinical and scientific, on all aspects of Medicine and Surgery
×
引用
GB/T 7714-2015
复制
MLA
复制
APA
复制
导出至
BibTeX EndNote RefMan NoteFirst NoteExpress
×
提示
您的信息不完整,为了账户安全,请先补充。
现在去补充
×
提示
您因"违规操作"
具体请查看互助需知
我知道了
×
提示
确定
请完成安全验证×
copy
已复制链接
快去分享给好友吧!
我知道了
右上角分享
点击右上角分享
0
联系我们:info@booksci.cn Book学术提供免费学术资源搜索服务,方便国内外学者检索中英文文献。致力于提供最便捷和优质的服务体验。 Copyright © 2023 布克学术 All rights reserved.
京ICP备2023020795号-1
ghs 京公网安备 11010802042870号
Book学术文献互助
Book学术文献互助群
群 号:604180095
Book学术官方微信