Use of Digital Panoramic Radiographs in the Study of Styloid Process Elongation.

Anatomy research international Pub Date : 2015-01-01 Epub Date: 2015-07-28 DOI:10.1155/2015/474615
Carla Cabral Dos Santos Accioly Lins, Renan Macêdo Cutrim Tavares, Camila Caroline da Silva
{"title":"Use of Digital Panoramic Radiographs in the Study of Styloid Process Elongation.","authors":"Carla Cabral Dos Santos Accioly Lins,&nbsp;Renan Macêdo Cutrim Tavares,&nbsp;Camila Caroline da Silva","doi":"10.1155/2015/474615","DOIUrl":null,"url":null,"abstract":"<p><p>This work aimed to evaluate the occurrence of suggestive images of styloid process elongation in panoramic radiographs, noting their frequency according to sex, age, and location, as well as measure and classify the types and patterns of calcification of elongated styloid processes. 2,500 panoramic radiographs were evaluated in a Radiology Clinic in Recife, PE, Brazil, performed between 2008 and 2010, with the age ranging from 25 to 80 years old. 560 of the radiographs analyzed fulfilled the inclusion criteria. Of this total, 216 (38.57%) presented suggestive images of the styloid process elongation, 45 (20.8%) belonging to male and 171 (79.2%) to female, and 84.7% were bilateral. After all measurements, mean values of 35.5 mm (left side) and 37.6 mm (right side) were obtained and these differences were statistically significant (p < 0.001). The most common type of stretching found was elongated (type I) with 73.1%, and the pattern of calcification was partially calcified (62.5%). It was found that the elongation of the styloid process is an anatomical variation, which must be taken into account by dentists, and because panoramic radiography is a technique of easy approach and low cost and routine, it can be used to aid in the diagnosis of elongated styloid process. </p>","PeriodicalId":89526,"journal":{"name":"Anatomy research international","volume":"2015 ","pages":"474615"},"PeriodicalIF":0.0000,"publicationDate":"2015-01-01","publicationTypes":"Journal Article","fieldsOfStudy":null,"isOpenAccess":false,"openAccessPdf":"https://sci-hub-pdf.com/10.1155/2015/474615","citationCount":"27","resultStr":null,"platform":"Semanticscholar","paperid":null,"PeriodicalName":"Anatomy research international","FirstCategoryId":"1085","ListUrlMain":"https://doi.org/10.1155/2015/474615","RegionNum":0,"RegionCategory":null,"ArticlePicture":[],"TitleCN":null,"AbstractTextCN":null,"PMCID":null,"EPubDate":"2015/7/28 0:00:00","PubModel":"Epub","JCR":"","JCRName":"","Score":null,"Total":0}
引用次数: 27

Abstract

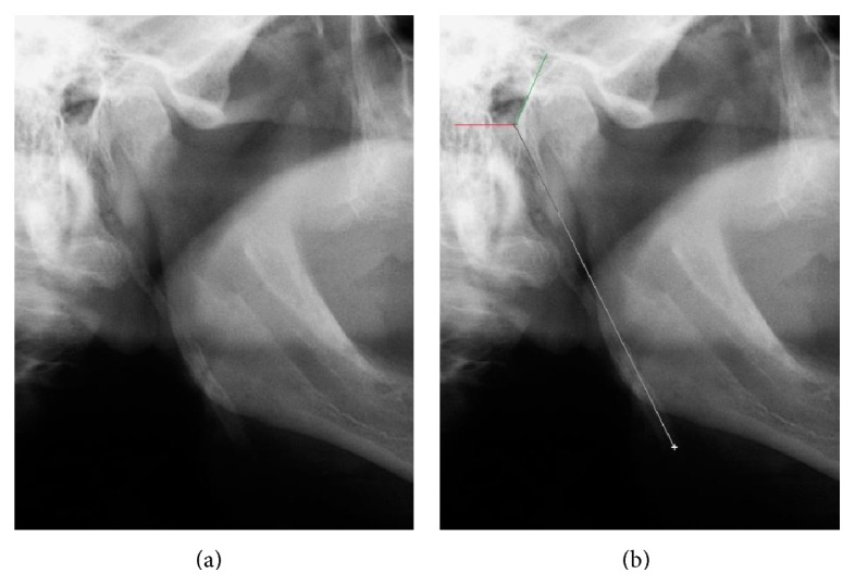
This work aimed to evaluate the occurrence of suggestive images of styloid process elongation in panoramic radiographs, noting their frequency according to sex, age, and location, as well as measure and classify the types and patterns of calcification of elongated styloid processes. 2,500 panoramic radiographs were evaluated in a Radiology Clinic in Recife, PE, Brazil, performed between 2008 and 2010, with the age ranging from 25 to 80 years old. 560 of the radiographs analyzed fulfilled the inclusion criteria. Of this total, 216 (38.57%) presented suggestive images of the styloid process elongation, 45 (20.8%) belonging to male and 171 (79.2%) to female, and 84.7% were bilateral. After all measurements, mean values of 35.5 mm (left side) and 37.6 mm (right side) were obtained and these differences were statistically significant (p < 0.001). The most common type of stretching found was elongated (type I) with 73.1%, and the pattern of calcification was partially calcified (62.5%). It was found that the elongation of the styloid process is an anatomical variation, which must be taken into account by dentists, and because panoramic radiography is a technique of easy approach and low cost and routine, it can be used to aid in the diagnosis of elongated styloid process.

Abstract Image

利用数字全景射线照相技术研究茎突伸长。
本研究旨在评估全景x线片中茎突延伸的提示图像的出现,根据性别、年龄和位置记录其频率,并测量和分类茎突延长的钙化类型和模式。在2008年至2010年期间,在巴西累西腓的一家放射诊所评估了2500张全景x线片,年龄从25岁到80岁不等。所分析的560张x线片符合纳入标准。其中,216例(38.57%)出现茎突伸长提示影像,男性45例(20.8%),女性171例(79.2%),双侧84.7%。所有测量后,左侧平均值为35.5 mm,右侧平均值为37.6 mm,差异有统计学意义(p < 0.001)。最常见的拉伸类型是拉长型(I型),占73.1%,钙化模式为部分钙化(62.5%)。我们发现茎突伸长是一种解剖变异,这是牙医必须考虑到的,因为全景x线摄影是一种方法简单,成本低,常规的技术,它可以用来帮助茎突伸长的诊断。
本文章由计算机程序翻译,如有差异,请以英文原文为准。
求助全文
约1分钟内获得全文 求助全文
来源期刊
自引率
0.00%
发文量
0
×
引用
GB/T 7714-2015
复制
MLA
复制
APA
复制
导出至
BibTeX EndNote RefMan NoteFirst NoteExpress
×
提示
您的信息不完整,为了账户安全,请先补充。
现在去补充
×
提示
您因"违规操作"
具体请查看互助需知
我知道了
×
提示
确定
请完成安全验证×
copy
已复制链接
快去分享给好友吧!
我知道了
右上角分享
点击右上角分享
0
联系我们:info@booksci.cn Book学术提供免费学术资源搜索服务,方便国内外学者检索中英文文献。致力于提供最便捷和优质的服务体验。 Copyright © 2023 布克学术 All rights reserved.
京ICP备2023020795号-1
ghs 京公网安备 11010802042870号
Book学术文献互助
Book学术文献互助群
群 号:604180095
Book学术官方微信