A Rare Case of Cardiac Recovery after Acute Myocarditis from West Nile Virus Infection: A Review of the Current Literature.

IF 0.5 Q4 CARDIAC & CARDIOVASCULAR SYSTEMS
Case Reports in Cardiology Pub Date : 2022-09-28 eCollection Date: 2022-01-01 DOI:10.1155/2022/8517728
KaChon Lei, Wilbur Ji, Bhavana Bhaya, Chowdhury Ahsan
{"title":"A Rare Case of Cardiac Recovery after Acute Myocarditis from West Nile Virus Infection: A Review of the Current Literature.","authors":"KaChon Lei,&nbsp;Wilbur Ji,&nbsp;Bhavana Bhaya,&nbsp;Chowdhury Ahsan","doi":"10.1155/2022/8517728","DOIUrl":null,"url":null,"abstract":"<p><p>West Nile Virus (WNV) myocarditis is nearly fatal, according to the current medical literature. We report a previously healthy 37-year-old Caucasian male who presented to our facility with two days of progressive lower extremity weakness, fever, edema, and shortness of breath found to have left ventricular global hypokinesis with an ejection fraction of less than 25%, consistent with acute viral myocarditis. He also has concomitant WNV meningoencephalitis due to his altered mentation. He was found to have a positive serum WNV IgM suggestive of a diagnosis of WNV myocarditis. He was intubated and was placed on vasoactive pressors for supportive care due to evidence of mixed cardiogenic and septic shock. After two weeks of hemodynamic support, we discovered a near-complete cardiac recovery, as shown on a repeat transthoracic echocardiography (TTE) and a normalized mean arterial blood pressure. This is a unique case report because near fatality is often associated with WNV myocarditis secondary to tachyarrhythmia, and there are currently no documented cases that are suggestive of cardiac recovery from the current literature.</p>","PeriodicalId":51760,"journal":{"name":"Case Reports in Cardiology","volume":" ","pages":"8517728"},"PeriodicalIF":0.5000,"publicationDate":"2022-09-28","publicationTypes":"Journal Article","fieldsOfStudy":null,"isOpenAccess":false,"openAccessPdf":"https://www.ncbi.nlm.nih.gov/pmc/articles/PMC9534694/pdf/","citationCount":"2","resultStr":null,"platform":"Semanticscholar","paperid":null,"PeriodicalName":"Case Reports in Cardiology","FirstCategoryId":"1085","ListUrlMain":"https://doi.org/10.1155/2022/8517728","RegionNum":0,"RegionCategory":null,"ArticlePicture":[],"TitleCN":null,"AbstractTextCN":null,"PMCID":null,"EPubDate":"2022/1/1 0:00:00","PubModel":"eCollection","JCR":"Q4","JCRName":"CARDIAC & CARDIOVASCULAR SYSTEMS","Score":null,"Total":0}
引用次数: 2

Abstract

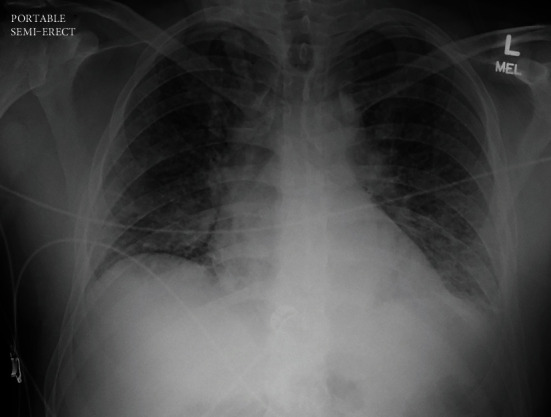
West Nile Virus (WNV) myocarditis is nearly fatal, according to the current medical literature. We report a previously healthy 37-year-old Caucasian male who presented to our facility with two days of progressive lower extremity weakness, fever, edema, and shortness of breath found to have left ventricular global hypokinesis with an ejection fraction of less than 25%, consistent with acute viral myocarditis. He also has concomitant WNV meningoencephalitis due to his altered mentation. He was found to have a positive serum WNV IgM suggestive of a diagnosis of WNV myocarditis. He was intubated and was placed on vasoactive pressors for supportive care due to evidence of mixed cardiogenic and septic shock. After two weeks of hemodynamic support, we discovered a near-complete cardiac recovery, as shown on a repeat transthoracic echocardiography (TTE) and a normalized mean arterial blood pressure. This is a unique case report because near fatality is often associated with WNV myocarditis secondary to tachyarrhythmia, and there are currently no documented cases that are suggestive of cardiac recovery from the current literature.

Abstract Image

Abstract Image

Abstract Image

西尼罗病毒感染急性心肌炎后心脏恢复的罕见病例:文献综述。
根据目前的医学文献,西尼罗河病毒(WNV)心肌炎几乎是致命的。我们报告一名先前健康的37岁白人男性患者,他以进行性下肢无力、发热、水肿和呼吸短促的症状向我们就诊,发现左心室整体运动不足,射血分数小于25%,符合急性病毒性心肌炎。由于他的精神状态改变,他还伴有西尼罗河病毒脑膜脑炎。血清WNV IgM阳性提示WNV心肌炎的诊断。由于有心源性和感染性休克混合的证据,他被插管并使用血管活性加压药物进行支持治疗。经过两周的血流动力学支持,我们发现心脏几乎完全恢复,如重复经胸超声心动图(TTE)和标准化平均动脉血压所示。这是一个独特的病例报告,因为继发于心律失常的西尼罗河病毒心肌炎通常与接近死亡有关,目前尚无文献记载的病例提示心脏恢复。
本文章由计算机程序翻译,如有差异,请以英文原文为准。
求助全文
约1分钟内获得全文 求助全文
来源期刊
Case Reports in Cardiology
Case Reports in Cardiology CARDIAC & CARDIOVASCULAR SYSTEMS-
自引率
0.00%
发文量
63
审稿时长
13 weeks
期刊介绍: Case Reports in Cardiology is a peer-reviewed, Open Access journal that publishes case reports and case series related to hypertension, arrhythmia, congestive heart failure, valvular heart disease, vascular disease, congenital heart disease and cardiomyopathy.
×
引用
GB/T 7714-2015
复制
MLA
复制
APA
复制
导出至
BibTeX EndNote RefMan NoteFirst NoteExpress
×
提示
您的信息不完整,为了账户安全,请先补充。
现在去补充
×
提示
您因"违规操作"
具体请查看互助需知
我知道了
×
提示
确定
请完成安全验证×
copy
已复制链接
快去分享给好友吧!
我知道了
右上角分享
点击右上角分享
0
联系我们:info@booksci.cn Book学术提供免费学术资源搜索服务,方便国内外学者检索中英文文献。致力于提供最便捷和优质的服务体验。 Copyright © 2023 布克学术 All rights reserved.
京ICP备2023020795号-1
ghs 京公网安备 11010802042870号
Book学术文献互助
Book学术文献互助群
群 号:604180095
Book学术官方微信