Imaging pitfalls, normal anatomy, and anatomical variants that can simulate disease on cardiac imaging as demonstrated on multidetector computed tomography.

Acta Radiologica Short Reports Pub Date : 2015-01-09 eCollection Date: 2015-01-01 DOI:10.1177/2047981614562443
Silanath Terpenning, Charles S White
{"title":"Imaging pitfalls, normal anatomy, and anatomical variants that can simulate disease on cardiac imaging as demonstrated on multidetector computed tomography.","authors":"Silanath Terpenning,&nbsp;Charles S White","doi":"10.1177/2047981614562443","DOIUrl":null,"url":null,"abstract":"<p><p>Advances in computed tomography have led to continuous improvement in cardiac imaging. Dedicated postprocessing capabilities, faster scan times, and cardiac gating methods reveal details of normal cardiac anatomy and anatomic variants that can mimic pathologic conditions. This article will review normal cardiac anatomy and variants that can mimic disease. Radiologists should be familiar with normal cardiac anatomy and anatomic variants to avoid misinterpretation of normal findings for pathologic processes. </p>","PeriodicalId":30445,"journal":{"name":"Acta Radiologica Short Reports","volume":"4 1","pages":"2047981614562443"},"PeriodicalIF":0.0000,"publicationDate":"2015-01-09","publicationTypes":"Journal Article","fieldsOfStudy":null,"isOpenAccess":false,"openAccessPdf":"https://sci-hub-pdf.com/10.1177/2047981614562443","citationCount":"19","resultStr":null,"platform":"Semanticscholar","paperid":null,"PeriodicalName":"Acta Radiologica Short Reports","FirstCategoryId":"1085","ListUrlMain":"https://doi.org/10.1177/2047981614562443","RegionNum":0,"RegionCategory":null,"ArticlePicture":[],"TitleCN":null,"AbstractTextCN":null,"PMCID":null,"EPubDate":"2015/1/1 0:00:00","PubModel":"eCollection","JCR":"","JCRName":"","Score":null,"Total":0}
引用次数: 19

Abstract

Advances in computed tomography have led to continuous improvement in cardiac imaging. Dedicated postprocessing capabilities, faster scan times, and cardiac gating methods reveal details of normal cardiac anatomy and anatomic variants that can mimic pathologic conditions. This article will review normal cardiac anatomy and variants that can mimic disease. Radiologists should be familiar with normal cardiac anatomy and anatomic variants to avoid misinterpretation of normal findings for pathologic processes.

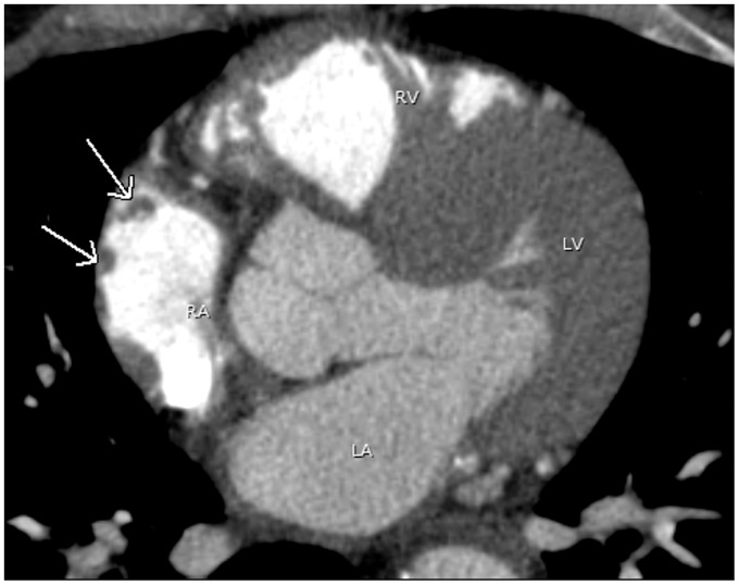
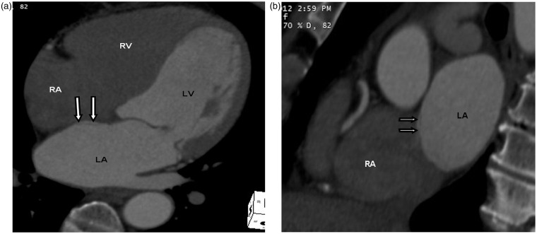
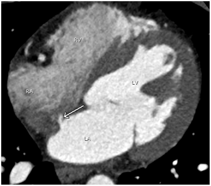
Abstract Image

Abstract Image

Abstract Image

成像缺陷、正常解剖和解剖变异可以模拟多探测器计算机断层扫描显示的心脏成像疾病。
计算机断层扫描技术的进步使心脏成像技术不断提高。专用的后处理能力,更快的扫描时间和心脏门控方法揭示了正常心脏解剖和可以模拟病理条件的解剖变异的细节。这篇文章将回顾正常的心脏解剖和变异可以模仿疾病。放射科医师应熟悉正常心脏解剖和解剖变异,以避免将正常发现误解为病理过程。
本文章由计算机程序翻译,如有差异,请以英文原文为准。
求助全文
约1分钟内获得全文 求助全文
来源期刊
自引率
0.00%
发文量
0
审稿时长
12 weeks
期刊介绍: Under the editorial leadership of Professor Arnulf Skjennald MD and a distinguished editorial board, Acta Radiologica Open, formerly Acta Radiologica Short Reports, aims for the prompt publication of original case reports, short reports, review articles, pictorial reviews, research articles on diagnostic and interventional radiology, clinical radiology, experimental investigations in animals, and all other research related to imaging procedures. Acta Radiologica Open provides a complete update on all radiological specialties and technical utilities, as well as physiology and physics related to imaging, including ultrasonography, computed tomography, radionuclide and magnetic resonance imaging. Acta Radiologica Open publishes articles on diagnostic and interventional procedures in radiology based on all medical imaging techniques, as well as works in physiology and physics when related to radiology. The journal is an online-only, peer reviewed, open access journal.
×
引用
GB/T 7714-2015
复制
MLA
复制
APA
复制
导出至
BibTeX EndNote RefMan NoteFirst NoteExpress
×
提示
您的信息不完整,为了账户安全,请先补充。
现在去补充
×
提示
您因"违规操作"
具体请查看互助需知
我知道了
×
提示
确定
请完成安全验证×
copy
已复制链接
快去分享给好友吧!
我知道了
右上角分享
点击右上角分享
0
联系我们:info@booksci.cn Book学术提供免费学术资源搜索服务,方便国内外学者检索中英文文献。致力于提供最便捷和优质的服务体验。 Copyright © 2023 布克学术 All rights reserved.
京ICP备2023020795号-1
ghs 京公网安备 11010802042870号
Book学术文献互助
Book学术文献互助群
群 号:604180095
Book学术官方微信