Herniation of uncus and parahippocampal gyrus: an accidental finding on magnetic resonance imaging of cerebrum.

Acta Radiologica Short Reports Pub Date : 2015-01-06 eCollection Date: 2015-01-01 DOI:10.1177/2047981614560077
Yousef Yavarian, Michael Bayat, Jens Brøndum Frøkjær
{"title":"Herniation of uncus and parahippocampal gyrus: an accidental finding on magnetic resonance imaging of cerebrum.","authors":"Yousef Yavarian,&nbsp;Michael Bayat,&nbsp;Jens Brøndum Frøkjær","doi":"10.1177/2047981614560077","DOIUrl":null,"url":null,"abstract":"<p><p>Idiopathic herniation of uncus and parahippocampal gyrus into the ambient cistern is a very rare entity, which could be mistaken for other pathology such as tumor. To the best of our knowledge, two prior cases of this kind of herniation have been described. One of these cases was with associated symptomatology and other abnormalities, and the other was characterized as idiopathic. In this case report, we report a case of accidental finding of a herniation of uncus and parahippocampal gyrus into the ambient cistern, without any other accompanying abnormalities, well depicted by magnetic resonance imaging without further necessity for surgical brain intervention. </p>","PeriodicalId":30445,"journal":{"name":"Acta Radiologica Short Reports","volume":"4 1","pages":"2047981614560077"},"PeriodicalIF":0.0000,"publicationDate":"2015-01-06","publicationTypes":"Journal Article","fieldsOfStudy":null,"isOpenAccess":false,"openAccessPdf":"https://sci-hub-pdf.com/10.1177/2047981614560077","citationCount":"3","resultStr":null,"platform":"Semanticscholar","paperid":null,"PeriodicalName":"Acta Radiologica Short Reports","FirstCategoryId":"1085","ListUrlMain":"https://doi.org/10.1177/2047981614560077","RegionNum":0,"RegionCategory":null,"ArticlePicture":[],"TitleCN":null,"AbstractTextCN":null,"PMCID":null,"EPubDate":"2015/1/1 0:00:00","PubModel":"eCollection","JCR":"","JCRName":"","Score":null,"Total":0}
引用次数: 3

Abstract

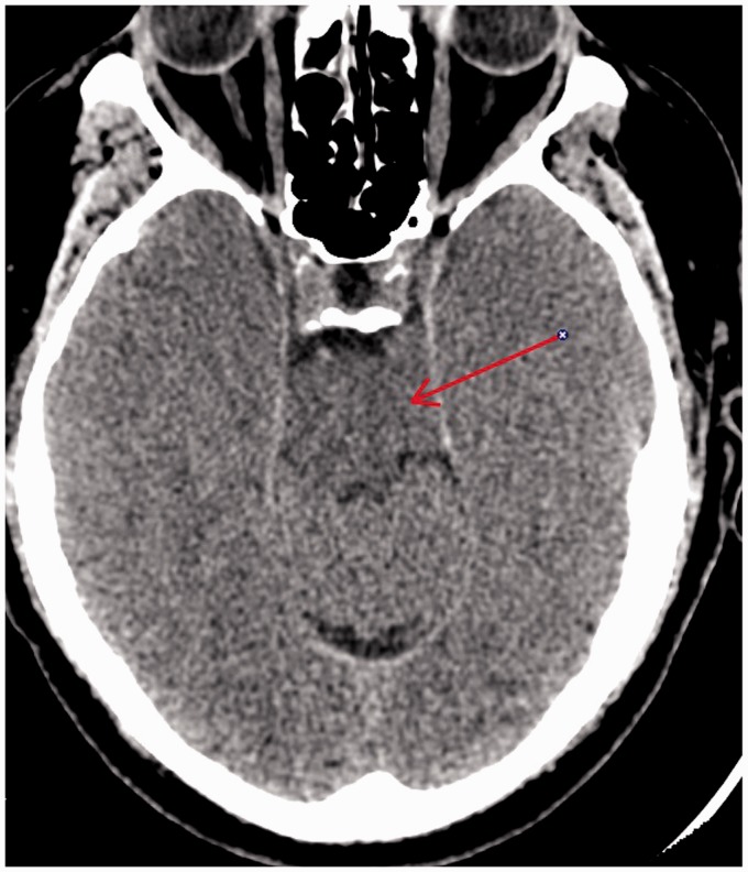
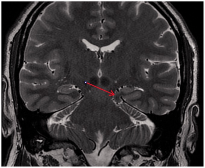
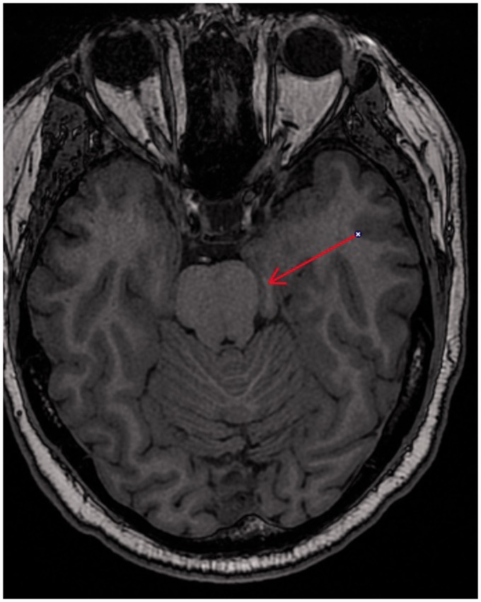
Idiopathic herniation of uncus and parahippocampal gyrus into the ambient cistern is a very rare entity, which could be mistaken for other pathology such as tumor. To the best of our knowledge, two prior cases of this kind of herniation have been described. One of these cases was with associated symptomatology and other abnormalities, and the other was characterized as idiopathic. In this case report, we report a case of accidental finding of a herniation of uncus and parahippocampal gyrus into the ambient cistern, without any other accompanying abnormalities, well depicted by magnetic resonance imaging without further necessity for surgical brain intervention.

Abstract Image

Abstract Image

Abstract Image

胼胝体及海马旁回突出:大脑磁共振成像的意外发现。
特发性海马旁回疝入周围池是一种非常罕见的实体,它可能被误认为其他病理如肿瘤。据我们所知,以前有两个这种疝的病例被描述过。其中一例伴有相关症状和其他异常,另一例为特发性。在这个病例报告中,我们报告了一个意外发现的uncus和海马旁回突出到环境池的病例,没有任何其他伴随的异常,磁共振成像很好地描述了这一点,而无需进一步的手术脑干预。
本文章由计算机程序翻译,如有差异,请以英文原文为准。
求助全文
约1分钟内获得全文 求助全文
来源期刊
自引率
0.00%
发文量
0
审稿时长
12 weeks
期刊介绍: Under the editorial leadership of Professor Arnulf Skjennald MD and a distinguished editorial board, Acta Radiologica Open, formerly Acta Radiologica Short Reports, aims for the prompt publication of original case reports, short reports, review articles, pictorial reviews, research articles on diagnostic and interventional radiology, clinical radiology, experimental investigations in animals, and all other research related to imaging procedures. Acta Radiologica Open provides a complete update on all radiological specialties and technical utilities, as well as physiology and physics related to imaging, including ultrasonography, computed tomography, radionuclide and magnetic resonance imaging. Acta Radiologica Open publishes articles on diagnostic and interventional procedures in radiology based on all medical imaging techniques, as well as works in physiology and physics when related to radiology. The journal is an online-only, peer reviewed, open access journal.
×
引用
GB/T 7714-2015
复制
MLA
复制
APA
复制
导出至
BibTeX EndNote RefMan NoteFirst NoteExpress
×
提示
您的信息不完整,为了账户安全,请先补充。
现在去补充
×
提示
您因"违规操作"
具体请查看互助需知
我知道了
×
提示
确定
请完成安全验证×
copy
已复制链接
快去分享给好友吧!
我知道了
右上角分享
点击右上角分享
0
联系我们:info@booksci.cn Book学术提供免费学术资源搜索服务,方便国内外学者检索中英文文献。致力于提供最便捷和优质的服务体验。 Copyright © 2023 布克学术 All rights reserved.
京ICP备2023020795号-1
ghs 京公网安备 11010802042870号
Book学术文献互助
Book学术文献互助群
群 号:604180095
Book学术官方微信