Imaging findings of Gorlin-Goltz syndrome.

Acta Radiologica Short Reports Pub Date : 2015-01-06 eCollection Date: 2015-01-01 DOI:10.1177/2047981614552294
Parisa Hajalioghli, Ali Ghadirpour, Reza Ataie-Oskuie, Marinos Kontzialis, Nariman Nezami
{"title":"Imaging findings of Gorlin-Goltz syndrome.","authors":"Parisa Hajalioghli,&nbsp;Ali Ghadirpour,&nbsp;Reza Ataie-Oskuie,&nbsp;Marinos Kontzialis,&nbsp;Nariman Nezami","doi":"10.1177/2047981614552294","DOIUrl":null,"url":null,"abstract":"<p><p>A 15-year-old girl was referred to a dentist complaining of parageusia, bad taste in the mouth, which started 9 months ago. Panoramic X-ray and non-enhanced computed tomography scan revealed multiple bilateral unilocular cysts in the mandible and maxilla, along with calcification of anterior part of the falx cerebri. She was eventually diagnosed with Gorlin-Goltz syndrome based on imaging and histopathologic finding of keratocystic odontogenic tumor. </p>","PeriodicalId":30445,"journal":{"name":"Acta Radiologica Short Reports","volume":"4 1","pages":"2047981614552294"},"PeriodicalIF":0.0000,"publicationDate":"2015-01-06","publicationTypes":"Journal Article","fieldsOfStudy":null,"isOpenAccess":false,"openAccessPdf":"https://sci-hub-pdf.com/10.1177/2047981614552294","citationCount":"5","resultStr":null,"platform":"Semanticscholar","paperid":null,"PeriodicalName":"Acta Radiologica Short Reports","FirstCategoryId":"1085","ListUrlMain":"https://doi.org/10.1177/2047981614552294","RegionNum":0,"RegionCategory":null,"ArticlePicture":[],"TitleCN":null,"AbstractTextCN":null,"PMCID":null,"EPubDate":"2015/1/1 0:00:00","PubModel":"eCollection","JCR":"","JCRName":"","Score":null,"Total":0}
引用次数: 5

Abstract

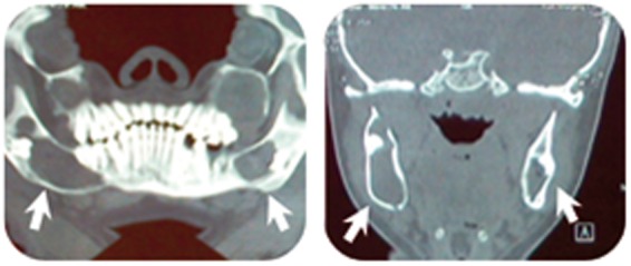
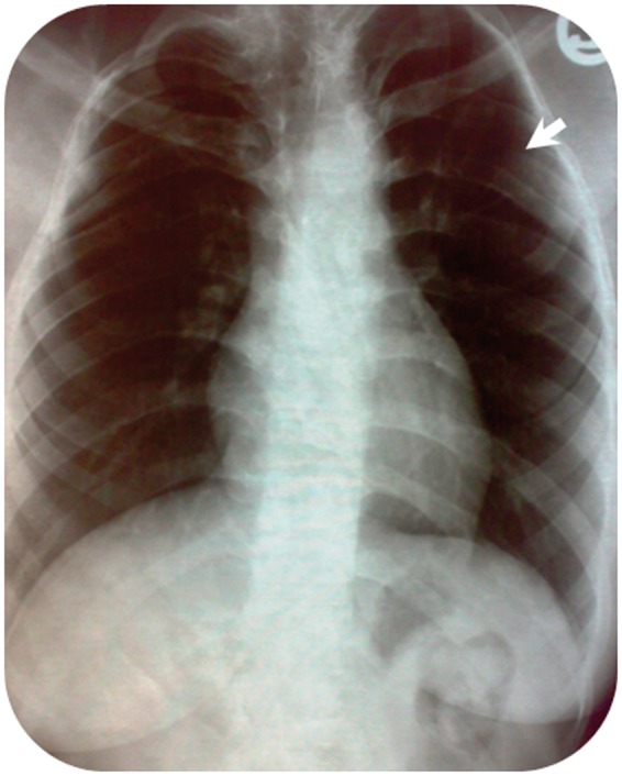
A 15-year-old girl was referred to a dentist complaining of parageusia, bad taste in the mouth, which started 9 months ago. Panoramic X-ray and non-enhanced computed tomography scan revealed multiple bilateral unilocular cysts in the mandible and maxilla, along with calcification of anterior part of the falx cerebri. She was eventually diagnosed with Gorlin-Goltz syndrome based on imaging and histopathologic finding of keratocystic odontogenic tumor.

Abstract Image

Abstract Image

Abstract Image

Gorlin-Goltz综合征的影像学表现。
一位15岁的女孩被介绍给一位牙医,她抱怨9个月前开始患有吸虫病,即口腔异味。全景x线和非增强计算机断层扫描显示下颌骨多个双侧单眼囊肿,伴大脑镰前部钙化。她最终被诊断为Gorlin-Goltz综合征基于影像学和组织病理学发现角化囊性牙源性肿瘤。
本文章由计算机程序翻译,如有差异,请以英文原文为准。
求助全文
约1分钟内获得全文 求助全文
来源期刊
自引率
0.00%
发文量
0
审稿时长
12 weeks
期刊介绍: Under the editorial leadership of Professor Arnulf Skjennald MD and a distinguished editorial board, Acta Radiologica Open, formerly Acta Radiologica Short Reports, aims for the prompt publication of original case reports, short reports, review articles, pictorial reviews, research articles on diagnostic and interventional radiology, clinical radiology, experimental investigations in animals, and all other research related to imaging procedures. Acta Radiologica Open provides a complete update on all radiological specialties and technical utilities, as well as physiology and physics related to imaging, including ultrasonography, computed tomography, radionuclide and magnetic resonance imaging. Acta Radiologica Open publishes articles on diagnostic and interventional procedures in radiology based on all medical imaging techniques, as well as works in physiology and physics when related to radiology. The journal is an online-only, peer reviewed, open access journal.
×
引用
GB/T 7714-2015
复制
MLA
复制
APA
复制
导出至
BibTeX EndNote RefMan NoteFirst NoteExpress
×
提示
您的信息不完整,为了账户安全,请先补充。
现在去补充
×
提示
您因"违规操作"
具体请查看互助需知
我知道了
×
提示
确定
请完成安全验证×
copy
已复制链接
快去分享给好友吧!
我知道了
右上角分享
点击右上角分享
0
联系我们:info@booksci.cn Book学术提供免费学术资源搜索服务,方便国内外学者检索中英文文献。致力于提供最便捷和优质的服务体验。 Copyright © 2023 布克学术 All rights reserved.
京ICP备2023020795号-1
ghs 京公网安备 11010802042870号
Book学术文献互助
Book学术文献互助群
群 号:604180095
Book学术官方微信