CT diagnosis of a post-embolization ischemic diverticulitis of Meckel.

Acta Radiologica Short Reports Pub Date : 2014-10-07 eCollection Date: 2014-10-01 DOI:10.1177/2047981614531954
Tom De Beule, Katya Op de Beeck, Gert De Hertogh, Gregory Sergeant, Geert Maleux
{"title":"CT diagnosis of a post-embolization ischemic diverticulitis of Meckel.","authors":"Tom De Beule,&nbsp;Katya Op de Beeck,&nbsp;Gert De Hertogh,&nbsp;Gregory Sergeant,&nbsp;Geert Maleux","doi":"10.1177/2047981614531954","DOIUrl":null,"url":null,"abstract":"<p><p>A 23-year-old man presented with hypovolemic shock due to a lower gastrointestinal bleeding. Radiological and endoscopic investigation did not reveal the bleeding site. Emergency visceral angiography showed contrast extravasation at a right-sided branch of the superior mesenteric artery (SMA). Embolization of the bleeding point was performed, resulting in bleeding cessation. One week later, the patient presented with a new episode of moderate anal blood loss associated with diffuse abdominal pain. Computed tomography (CT) revealed an ischemic small bowel diverticulum that was treated by a laparoscopically-assisted segmental small bowel resection. Intraoperative and pathologic analysis confirmed a post-embolization ischemic diverticulitis of Meckel. </p>","PeriodicalId":30445,"journal":{"name":"Acta Radiologica Short Reports","volume":"3 9","pages":"2047981614531954"},"PeriodicalIF":0.0000,"publicationDate":"2014-10-07","publicationTypes":"Journal Article","fieldsOfStudy":null,"isOpenAccess":false,"openAccessPdf":"https://sci-hub-pdf.com/10.1177/2047981614531954","citationCount":"4","resultStr":null,"platform":"Semanticscholar","paperid":null,"PeriodicalName":"Acta Radiologica Short Reports","FirstCategoryId":"1085","ListUrlMain":"https://doi.org/10.1177/2047981614531954","RegionNum":0,"RegionCategory":null,"ArticlePicture":[],"TitleCN":null,"AbstractTextCN":null,"PMCID":null,"EPubDate":"2014/10/1 0:00:00","PubModel":"eCollection","JCR":"","JCRName":"","Score":null,"Total":0}
引用次数: 4

Abstract

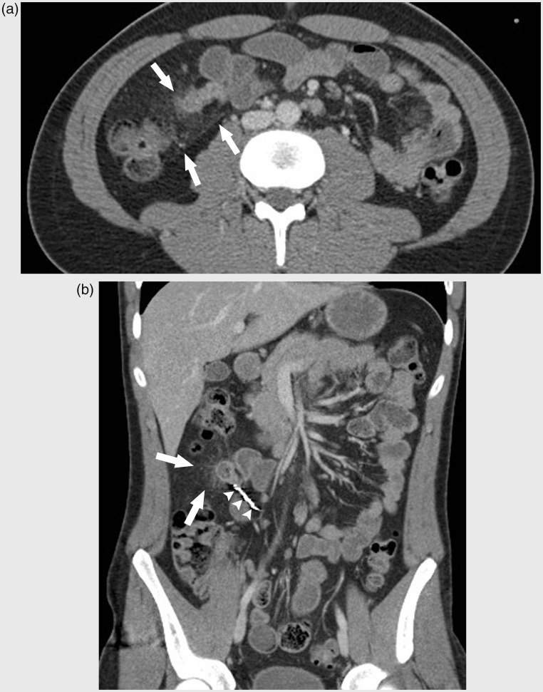
A 23-year-old man presented with hypovolemic shock due to a lower gastrointestinal bleeding. Radiological and endoscopic investigation did not reveal the bleeding site. Emergency visceral angiography showed contrast extravasation at a right-sided branch of the superior mesenteric artery (SMA). Embolization of the bleeding point was performed, resulting in bleeding cessation. One week later, the patient presented with a new episode of moderate anal blood loss associated with diffuse abdominal pain. Computed tomography (CT) revealed an ischemic small bowel diverticulum that was treated by a laparoscopically-assisted segmental small bowel resection. Intraoperative and pathologic analysis confirmed a post-embolization ischemic diverticulitis of Meckel.

Abstract Image

Abstract Image

栓塞后缺血性梅克尔憩室炎的CT诊断。
一名23岁男子因下消化道出血而出现低血容量性休克。放射和内镜检查未发现出血部位。急诊内脏血管造影显示造影剂外渗在肠系膜上动脉(SMA)右侧分支。对出血点进行栓塞,止血。一周后,患者再次出现中度肛门出血伴弥漫性腹痛。计算机断层扫描(CT)显示缺血性小肠憩室,腹腔镜辅助节段性小肠切除术治疗。术中及病理分析证实栓塞后缺血性梅克尔憩室炎。
本文章由计算机程序翻译,如有差异,请以英文原文为准。
求助全文
约1分钟内获得全文 求助全文
来源期刊
自引率
0.00%
发文量
0
审稿时长
12 weeks
期刊介绍: Under the editorial leadership of Professor Arnulf Skjennald MD and a distinguished editorial board, Acta Radiologica Open, formerly Acta Radiologica Short Reports, aims for the prompt publication of original case reports, short reports, review articles, pictorial reviews, research articles on diagnostic and interventional radiology, clinical radiology, experimental investigations in animals, and all other research related to imaging procedures. Acta Radiologica Open provides a complete update on all radiological specialties and technical utilities, as well as physiology and physics related to imaging, including ultrasonography, computed tomography, radionuclide and magnetic resonance imaging. Acta Radiologica Open publishes articles on diagnostic and interventional procedures in radiology based on all medical imaging techniques, as well as works in physiology and physics when related to radiology. The journal is an online-only, peer reviewed, open access journal.
×
引用
GB/T 7714-2015
复制
MLA
复制
APA
复制
导出至
BibTeX EndNote RefMan NoteFirst NoteExpress
×
提示
您的信息不完整,为了账户安全,请先补充。
现在去补充
×
提示
您因"违规操作"
具体请查看互助需知
我知道了
×
提示
确定
请完成安全验证×
copy
已复制链接
快去分享给好友吧!
我知道了
右上角分享
点击右上角分享
0
联系我们:info@booksci.cn Book学术提供免费学术资源搜索服务,方便国内外学者检索中英文文献。致力于提供最便捷和优质的服务体验。 Copyright © 2023 布克学术 All rights reserved.
京ICP备2023020795号-1
ghs 京公网安备 11010802042870号
Book学术文献互助
Book学术文献互助群
群 号:604180095
Book学术官方微信